硬膜静脈洞血栓症 (DVST) は、まれな種類の脳卒中です。これは、硬膜静脈洞の 1 つにおける血流を減少または遮断する血栓によって引き起こされます。これにより、脳への血液循環が妨げられる可能性があります。
硬膜静脈洞血栓症 (DVST) は、血栓が硬膜静脈洞の 1 つに影響を与える場合です。これらの副鼻腔は、酸素が枯渇した血液を脳から排出します。迅速に治療しないと、重大な健康影響を引き起こす可能性があります。
DVST は、脳静脈血栓症と呼ばれることの方が一般的です。これは厳密に言えばまれなタイプの脳卒中であり、脳卒中入院患者の約 0.5% ~ 1% を占めます。
この記事は、DVST の原因、危険因子と症状、およびその診断と治療方法について説明します。

硬膜静脈洞血栓症の原因は何ですか?
DVST は、硬膜静脈洞の 1 つにおける血流を減少または遮断する血栓によって引き起こされます。
硬膜静脈洞に血栓が存在すると、脳内を血液が循環するシステムが混乱します。これは、脳組織が必要な量の酸素を受け取っていないことを意味します。
DVST の影響により、脳組織に浮腫と呼ばれる腫れが生じることがあります。 DVST は、脳と脊髄を取り囲んで衝撃を和らげる液体である脳脊髄液 (CSF)の排出にも影響します。
脳組織の腫れと体液の排出の変化により、脳周囲の圧力が上昇する可能性があります。これは頭蓋内圧亢進と呼ばれ、生命を脅かす合併症を引き起こす可能性がある重篤な状態です。
硬膜静脈洞血栓症になるのは誰ですか?
DVST は誰にでも起こる可能性がありますが、他の人よりもリスクが高い人もいます。一般に、血栓のリスクが高い人は、DVST のリスクも高くなります。リスク要因には次のようなものがあります。
DVST のその他の潜在的な原因には次のものがあります。
DVST患者のほとんどは、
さらに、
硬膜静脈洞血栓症の症状は何ですか?
の
DVST のその他の潜在的な症状には次のものがあります。

硬膜静脈洞血栓症はどのように診断されますか?
DVST の診断は困難な場合があります。 DVST はまれであるだけでなく、症状は個人差がある場合や、より一般的な症状に似ている場合があります。
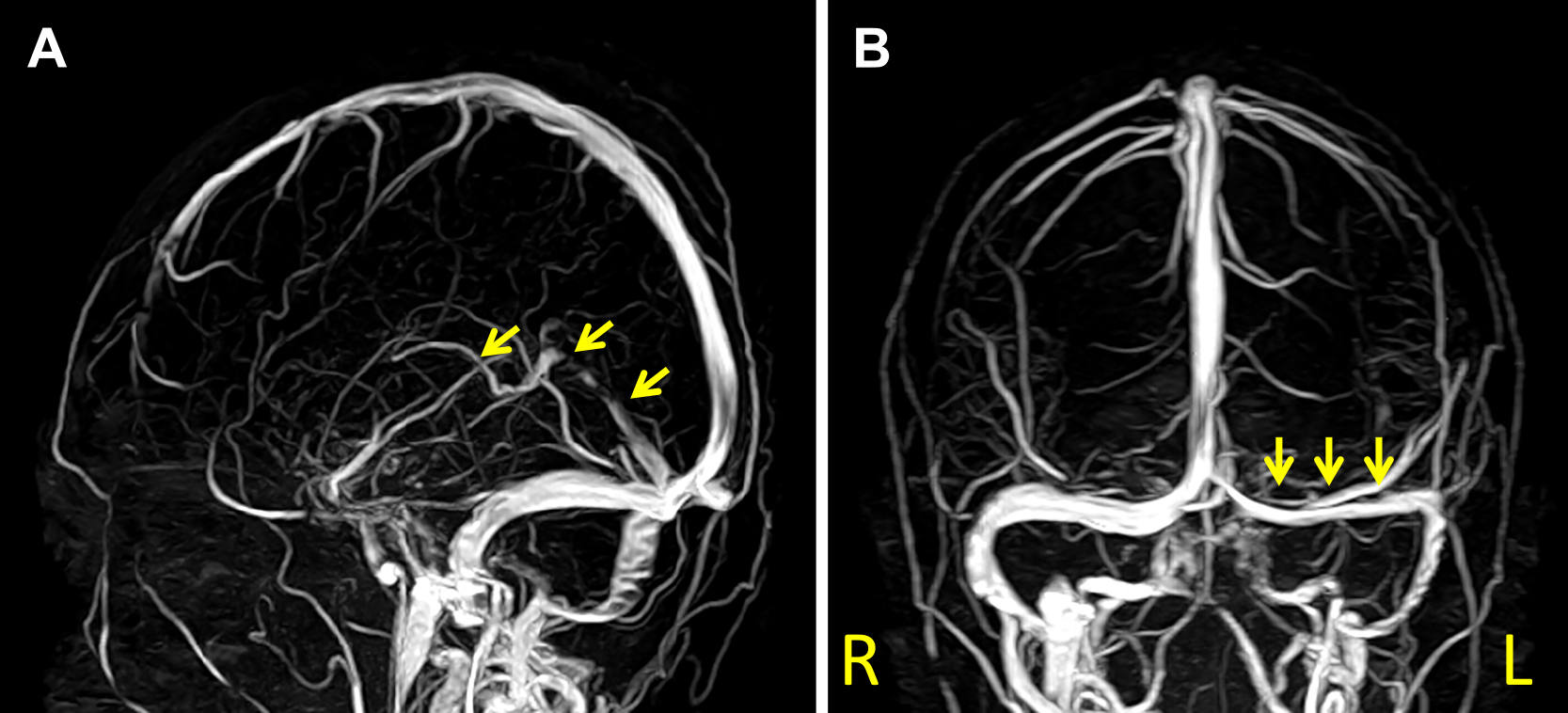
脳とその血管の画像検査は、DVST の診断に使用されます。医師は画像処理を使用して、硬膜静脈洞内の血栓を視覚化できます。
画像処理には、 CT スキャンまたはMRI スキャンが含まれます。ただし、CT または MRI 静脈造影は、DVST の診断に役立つ感度が高くなります。これらの技術では、CT スキャンまたは MRI スキャンと特別な染料の添加を使用して、静脈をより見やすくします。
CT または MRI 静脈造影検査の結果が決定的でない場合は、脳血管造影が使用されることがあります。これは、X 線と特殊な色素を使用して血管の画像を作成します。
通常、臨床検査は診断プロセス中にも行われます。ただし、これらだけでは DVST を確認したり除外したりすることはできません。実施される可能性のある臨床検査の例としては、次のようなものがあります。
- 全血球計算 (CBC)
- 代謝パネル
- 凝固検査
- Dダイマー検査

硬膜静脈洞血栓症はどのように治療されますか?
DVST の治療には、支持療法の提供と血栓への対処が含まれます。支持療法には、バイタルサインを安定させ、発作や頭蓋内圧の上昇などの合併症を管理することが含まれます。
発作は抗けいれん薬で管理できる場合がありますが、頭蓋内圧の上昇には頭蓋内圧のモニタリングが必要な場合があります。
血栓にはいくつかの方法で対処できます。 1つ目は、血液凝固プロセスを停止する作用のある抗凝固剤の使用です。
DVST の抗凝固療法では、通常、診断が確認され次第、抗凝固剤 (多くの場合はヘパリン) を注射します。
その後、回復するまでにワルファリンなどの経口抗凝固薬を服用する必要がある可能性があります。これは、さらなる血栓の形成を防ぐのに役立ちます。
血管内治療は、重度の症状があり、抗凝固療法で改善しない人にも使用される場合があります。これには、薬物を使用して血栓を溶解するか、外科的に血栓を除去することが含まれます。

よくある質問
硬膜静脈洞血栓症はどの程度深刻ですか?
DVST は脳卒中の一種であるため、医療上の緊急事態であり、911 番または地元の救急サービスに連絡する必要があります。治療せずに放置すると、障害や死に至る可能性があります。
硬膜静脈洞血栓症はどのくらい一般的ですか?
DVST はまれです。のみに影響を与えると推定されています
硬膜静脈洞血栓症を患った人の今後の見通しはどうなりますか?
DVST が迅速に診断され、治療されれば、DVST 患者の見通しは良好になります。 2020 年のレビューでは、75% の人が機能を完全に回復したと報告されています。

結論
DVST は、脳から血液を排出する硬膜静脈洞に血栓が影響を与える場合です。迅速に医師の診察を受けないと、生命を脅かす可能性があります。
DVST はまれであり、症状は人によって異なるため、診断が難しい場合があります。ただし、診断が下されると、多くの場合、抗凝固療法で効果的に治療できます。
頭痛はDVSTの主な症状です。突然の激しい頭痛がある場合、特に悪化し続ける場合は、すぐに診察を受けてください。 DVST が原因ではない可能性もありますが、別の潜在的に深刻な病状によって引き起こされる可能性があります。
参考文献
- https://pn.bmj.com/content/20/5/356
- https://www.ncbi.nlm.nih.gov/pmc/articles/PMC5362174/
- https://www.ncbi.nlm.nih.gov/pmc/articles/PMC9200019/
- https://www.ncbi.nlm.nih.gov/books/NBK459315/
硬膜静脈洞血栓症とは何ですか?・関連動画
免責事項: 健康百科事典ブログは、すべての情報が事実に基づき、包括的で最新のものであるよう努めています。しかし、この記事は、資格を持つ医療専門家の知識や専門性の代替として使用されるべきではありません。薬を服用する前には、必ず医師または他の医療専門家に相談してください。ここに記載されている情報は変更される可能性があり、すべての可能な用途、指示、注意事項、警告、薬物相互作用、アレルギー反応、副作用を網羅することを意図しているわけではありません。特定の薬物または薬物の組み合わせに関する警告や情報が記載されていない場合でも、その薬物や組み合わせがすべての患者やすべての用途において安全、有効、適切であることを意味するものではありません。
