食道裂孔ヘルニアを自己診断することは可能ですか?

Written by

in

身体検査では食道裂孔ヘルニアがあるかどうかを判断することはできませんが、食道裂孔ヘルニアがある場合には健康上のリスクが生じる可能性もあります。

食道裂孔ヘルニアは、胃の上部が横隔膜を通って胸腔内に移動するときに発生します。

2023年の記事研究者らは、高齢者は筋力低下と柔軟性の低下を経験しており、食道裂孔ヘルニアになりやすいと述べています。

腹腔内圧が上昇している場合にも発生する可能性があり、主に肥満、慢性便秘、妊娠中の人に影響を及ぼします。

医師は食道裂孔ヘルニアがあるかどうかを確認するためにさまざまな検査を行うことがありますが、身体検査で自己診断することはできません。

食道裂孔ヘルニアを自分で確実にチェックすることは可能ですか?

食道裂孔ヘルニアを自分で確実にチェックすることは可能ですか?

食道裂孔ヘルニアかどうかを自分でチェックすることは不可能であり、症状が常に現れるわけではないため、自分がこの病気にかかっていることに気づかない可能性があります。

重度の胃酸逆流がある場合、医師はヘルニアを疑うかもしれません。 改善されていない制酸薬と一緒に。

食道裂孔ヘルニア指検査とは何ですか?

食道裂孔ヘルニア指検査とは何ですか?

食道裂孔ヘルニア指テストと呼ばれるテクニックについて読んだことがあるかもしれません。このテストでは、胸骨の下の上腹部に指を置き、深く息を吸い込み、腹筋が広がるのを感じます。ヘルニアがある場合、横隔膜の動きが制限されると考えられています。しかし、この診断方法を裏付ける研究はありません。医療専門家は、この方法を食道裂孔ヘルニアの診断に使用しません。

によると、大きな食道裂孔ヘルニアは、医師が心電図 (ECG または EKG)で発見できる電気的変化を引き起こす可能性があります。 2021年の調査。これはおそらく、ヘルニアが心臓に余分な圧力を加えるために起こると考えられます。また、次のような症状が発生する可能性も高まります。

大きな食道裂孔ヘルニアも胃閉塞を引き起こす可能性があります。ヘルニアがある場合、意図せず胃の内容物が肺に移動してしまう可能性があるため、指の検査は自己診断には役に立たない可能性があります。

食道裂孔ヘルニアの可能性があることを知る最善の方法は、その症状を認識することです。これらは他の症状と似ている可能性がありますが、症状を評価し、診断と治療計画を提供できる医師に相談することができます。

食道裂孔ヘルニアで注意すべき症状は何ですか?

食道裂孔ヘルニアで注意すべき症状は何ですか?

食道裂孔ヘルニアを持つ人には常に症状があるわけではなく、他の病気の検査を受けた場合にのみ診断を受けます。

食道裂孔ヘルニアの症状は、胃酸や胆汁の影響で発生することがあります。これらには次のものが含まれる場合があります。

胸焼け

胸やけとは、胃酸が喉まで上がったときに胸に感じる灼熱感です。これは酸の逆流として知られています。

胃酸は以下の原因にもなります。

  • 口の中の不快な味
  • かすれた声
  • 口臭
  • 膨満感

胸やけは、食道裂孔ヘルニアがある場合やストレス下にある場合に悪化することがあります。妊娠中に悪化することもあります。

胸痛

食道裂孔ヘルニアは呼吸器および心臓血管領域に影響を与える可能性があり、胸痛のリスクが高まる可能性があります。

大きなヘルニアはより多くのスペースを使用し、動脈を圧迫するため肺の一部がつぶれてしまいます。胸の圧迫感、息切れ、呼吸困難が生じることがあります。

ある研究では、心臓に余分な圧力が加わり、心臓が圧迫され、胸部不快感が生じやすくなる可能性があると指摘しています。

嚥下困難

食べ物や液体を飲み込めない場合、または飲み込むときに痛みを感じる場合、嚥下困難が発生することがあります。そうなると十分なカロリーや栄養素を摂取することが難しくなります。

嚥下困難を経験することは、 一般高齢者の間で発生し、脳性麻痺パーキンソン病の患者にも発生する可能性があります。

また、ヘルニアが大きくなったり、口や胃腸管の粘膜に炎症(粘膜炎症)が生じて閉塞が生じたりすると、嚥下がさらに困難になることがあります。

げっぷ

げっぷやげっぷは、飲み込んだ空気が胃の中に溜まると起こります。

危険因子には、大量の空気を飲み込むこと、炭酸飲料を飲むこと、過敏性腸症候群 (IBS)が含まれます。

医師に連絡する時期

医師に連絡する時期

食道裂孔ヘルニアの症状がある場合、または治療を受けても症状が改善しない場合は、医師の診察を受けることをお勧めします。

消化不良、胃酸逆流、または次のような症状がある場合には、医師の診察を受けることも役立ちます。

  • 嚥下困難
  • 頻繁な嘔吐
  • 原因不明の体重減少
  • 上腹部の痛み
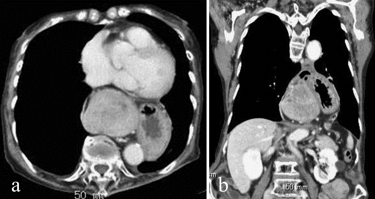
食道裂孔ヘルニアを確認する検査は何ですか?

食道裂孔ヘルニアを確認する検査は何ですか?

診断を確定するために、医師のさまざまな診断検査を受ける場合があります。これら含む:

X 線検査は、医療従事者が症状がない場合に食道裂孔ヘルニアがあるかどうかを確認したり、胃食道逆流症 (GERD) 、胸やけ、胸痛などの他の症状がないか検査したりするのにも役立ちます。

取り除く

取り除く

食道裂孔ヘルニアを自己診断することは不可能です。胸焼け、胸痛、嚥下困難などの症状がある場合は、医師に相談することが重要です。これらは食道裂孔ヘルニアの兆候である可能性がありますが、他の疾患がある場合にも現れる可能性があります。

X 線、バリウム摂取、CT スキャンは、医療専門家が診断を確認するのに役立ちます。

参考文献

  1. https://www.ncbi.nlm.nih.gov/books/NBK441938/
  2. https://www.ncbi.nlm.nih.gov/books/NBK562200/
  3. https://www.nhs.uk/conditions/heartburn-and-acid-reflux/
  4. https://www.ncbi.nlm.nih.gov/pmc/articles/PMC6853045/
  5. https://www.ncbi.nlm.nih.gov/pmc/articles/PMC8286180/
  6. https://gi.org/topics/belching-bloating-and- flatulence/
  7. https://medlineplus.gov/hiatalhernia.html
  8. https://link.springer.com/article/10.1007/s11894-017-0580-y
  9. https://www.scirp.org/journal/paperinformation.aspx?paperid=115968
  10. https://www.nidcd.nih.gov/health/嚥下障害
  11. https://www.nhs.uk/conditions/hiatus-hernia/

食道裂孔ヘルニアを自己診断することは可能ですか?・関連動画

免責事項: 健康百科事典ブログは、すべての情報が事実に基づき、包括的で最新のものであるよう努めています。しかし、この記事は、資格を持つ医療専門家の知識や専門性の代替として使用されるべきではありません。薬を服用する前には、必ず医師または他の医療専門家に相談してください。ここに記載されている情報は変更される可能性があり、すべての可能な用途、指示、注意事項、警告、薬物相互作用、アレルギー反応、副作用を網羅することを意図しているわけではありません。特定の薬物または薬物の組み合わせに関する警告や情報が記載されていない場合でも、その薬物や組み合わせがすべての患者やすべての用途において安全、有効、適切であることを意味するものではありません。