ホジキンリンパ腫はホジキン病とも呼ばれ、リンパ腫の一種です。リンパ腫は、リンパ系で発生する血液がんのグループです。このシステムは、体全体の臓器、ノード、血管のネットワークで構成されています。
通常の状況では、リンパ系は免疫系が老廃物を除去し、感染症と戦うのを助けます。リンパ系内のリンパ球と呼ばれる白血球は、細菌や感染症から体を守るのに役立ちます。
ホジキンリンパ腫はこれらのリンパ球に由来します。より具体的には、Bリンパ球と呼ばれる細胞の一種に成長する傾向があり、Bリンパ球は、外来侵入者を捕らえて免疫システムに破壊するように指示する抗体と呼ばれるタンパク質を生成します。
ホジキンリンパ腫の患者では、これらのリンパ球が異常に増殖し、健康な白血球を締め出します。病気が進行するにつれて、体が感染症と戦うことがより困難になります。
さまざまな種類、症状、原因、考えられる治療法など、ホジキンリンパ腫について詳しく知るために読み続けてください。

リンパ系について
リンパ系は体の大部分を覆っており、リンパ節、リンパ管、さまざまな臓器で構成されています。これらの構造の概要は次のとおりです。
- リンパ液。リンパとも呼ばれるこの液体は、細胞、血管、組織から排出される余分な液体と、脂肪、タンパク質、損傷した細胞、ミネラル、ウイルス、細菌、その他の細菌などの他の物質で構成されています。リンパ液はリンパ球の輸送にも使用されます。リンパ球には、 B リンパ球(B 細胞) とT リンパ球(T 細胞) の 2 つの主な種類があります。これらのリンパ球は連携して感染症と闘います。
- リンパ節。これらの豆の形をした構造には、白血球やその他の免疫細胞が含まれています。体全体、特に腹部、胸、鼠径部、脇の下には何百ものリンパ節があります。
- リンパ管。リンパ管は、リンパ節をつなぐ一連の静脈のような構造です。これらは、リンパ球や感染症と戦うリンパ球を体中に輸送するのに役立ちます。
- 脾臓。体の左側、胃の近くに位置する脾臓は、血球を貯蔵し、損傷した細胞をろ過し、適切な体液バランスを維持するのに役立ちます。リンパ球も生成します。
- 扁桃腺とアデノイド。扁桃腺は喉にあるリンパ組織の集まりで、外敵から身を守る役割を果たしています。アデノイドは、鼻腔の近くにあるリンパ組織の塊です。
- 胸腺。胸腺は胸部にある臓器で、T リンパ球の発達に重要な役割を果たします。
- 骨髄。骨髄は、血球が生成される骨の内部の海綿状組織です。
- パイエルパッチ。小腸の内側を覆う粘膜にあるこれらの小さなリンパ組織の塊は、腸内の細菌を破壊するのに役立ちます。
によると、
末期には、血流に到達し、骨髄、肺、肝臓などの他の臓器に広がる可能性があります。

ホジキンリンパ腫の種類
ホジキンリンパ腫は以下を構成します
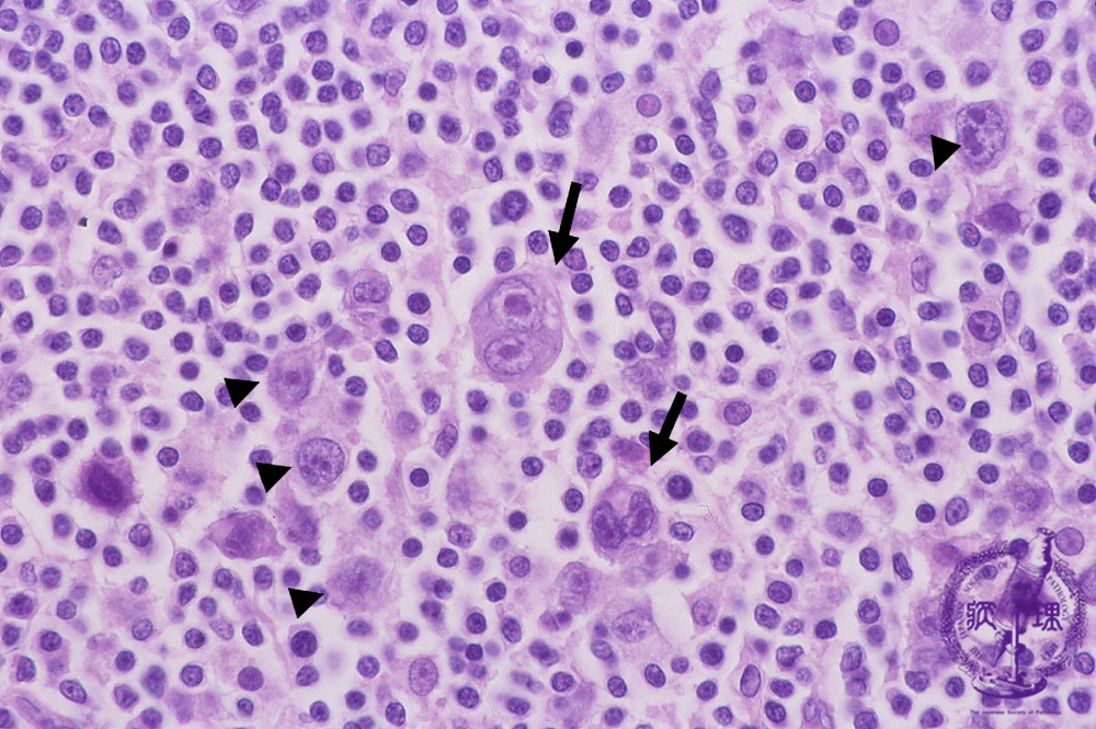
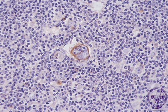
複数の核を含む可能性のある大きな細胞であるリード・スタンバーグ細胞の存在は、非ホジキンリンパ腫と比較した場合のホジキンリンパ腫の決定的な特徴です。
ホジキンリンパ腫はさらに、古典的ホジキンリンパ腫と結節性リンパ球優勢ホジキンリンパ腫(NLPHL)に分類されます。
分類は、関与する細胞の種類とその動作によって異なります。医療専門家は、拡大したリンパ組織のサンプルを顕微鏡で観察することで、ホジキンリンパ腫の種類を特定できます。
古典的ホジキンリンパ腫
について
このタイプのリンパ腫はさらに 4 つの主要なサブタイプに分類されます。
- 結節性硬化症 ホジキンリンパ腫。このタイプは胸や首のリンパ節で発生する傾向があります。誰でもかかる可能性がありますが、10代や若い成人でより蔓延する傾向があります。古典的ホジキンリンパ腫症例の約 70% を占めます。
- 混合細胞性ホジキンリンパ腫。これは古典的ホジキンリンパ腫の中で 2 番目に一般的なタイプです。 HIV感染者に最も蔓延する傾向があり、通常は上半身のリンパ節で発症します。
- リンパ球が豊富な古典的ホジキンリンパ腫。このタイプはまれで、古典的ホジキンリンパ腫症例の約 5% を占めます。通常、早期に診断され、女性よりも男性でより一般的です。
- リンパ球枯渇型ホジキンリンパ腫。これは最もまれなタイプで、腹部のリンパ節、脾臓、肝臓、骨髄に最も多く見られます。主に高齢者やHIV感染者に発生します。通常、より進行した段階で診断されます。
結節性リンパ球優勢ホジキンリンパ腫 (NLPHL)
このタイプのホジキンリンパ腫は、古典的なタイプよりもゆっくりと増殖する傾向があり、まれです。ホジキンリンパ腫症例の約 5% を占め、男性の場合は約 5% を占めます。
このタイプの異常細胞はポップコーン細胞と呼ばれ、大きくて顕微鏡で見るとポップコーンのように見えます。これらは、古典的ホジキンリンパ腫に見られるリード・スタンバーグ細胞の変異体です。
NLPHL は、古典的ホジキンリンパ腫とは異なる治療を受ける可能性があります。

ホジキンリンパ腫の症状は何ですか?
ホジキンリンパ腫の最も一般的な症状はリンパ節の腫れで、これにより皮膚の下にしこりが形成されることがあります。通常、このしこりは痛みを伴いません。多くの場合、次の領域のいずれかで発症します。
- あなたの首の横に
- あなたの脇の下で
- 股間のあたり
ホジキンリンパ腫のその他の症状には次のものがあります。
これらの症状がある場合は、すぐに医療専門家に連絡してください。これらは他の健康状態の症状である可能性もあり、正確な診断を受けることが重要です。

ホジキンリンパ腫の原因は何ですか?
ホジキンリンパ腫の正確な原因
古典的ホジキンリンパ腫の発症に寄与すると考えられる要因には次のようなものがあります。
- 遺伝学
- 免疫抑制
- 単核球症を引き起こすエプスタイン・バーウイルスの感染
NLPHL の発症には遺伝も関与している可能性があると考えられています。

危険因子はありますか?
ホジキンリンパ腫の既知の危険因子には次のものがあります。
- 年。ホジキンリンパ腫を発症する人のほとんどは次の年齢にいます。
20と40 または55歳以上。 - エプスタイン・バーウイルス。単核球症(モノとも呼ばれる) を引き起こすウイルスに感染すると、ホジキンリンパ腫を発症するリスクが高まると考えられています。
- 男性であること。リスクは女性よりも男性の方が高くなります。小児では、約
85パーセント の症例は男児に発生します。 - 家族の歴史。ホジキンリンパ腫を患っている兄弟がいる人もホジキンリンパ腫を発症するリスクが高く、一卵性双生児はホジキンリンパ腫を発症します。
非常に高いリスク 。しかし、ホジキンリンパ腫患者のほとんどにはホジキンリンパ腫の家族歴がありません。 - 免疫力の低下。 HIV に感染している人は、ホジキンリンパ腫を発症するリスクが高くなります。臓器移植を受けた後に免疫抑制剤を服用している人もリスクが高くなります。

ホジキンリンパ腫はどのように診断されますか?
ホジキンリンパ腫を診断するために、医師は身体検査を行い、病歴について尋ねます。医師は、正確な診断を下すために特定の検査も指示します。
次のテストは診断プロセスの一部である場合があります。
- 画像検査。 X 線、 PET スキャン、 CT スキャンなどの画像検査は、医師が体内を観察して肥大したリンパ節を探し、病気の段階を判断するのに役立ちます。
- リンパ節生検。生検では、リンパ節組織の一部を切除して異常細胞の存在を検査します。
- 血液検査。医師は、赤血球、白血球、血小板のレベルを測定するために、全血球検査や赤血球沈降速度検査などの血液検査を指示する場合があります。これらの検査は、医師ががんの進行度や治療に対する反応の程度を理解するのにも役立ちます。医師は、血液中の乳酸脱水素酵素と尿酸のレベルを測定する血液検査を指示する場合もあります。
- 免疫表現型検査。医師は臨床検査を使用して生検サンプルを分析し、リンパ腫細胞が存在するかどうか、またその種類を判断します。
- 肺と心臓の機能検査。肺機能検査と心エコー図と呼ばれる心臓の超音波検査は、肺と心臓がどの程度機能しているかを判断するのに役立ちます。
- 骨髄生検。骨髄生検では、骨の内部の髄を採取して検査し、がんが転移しているかどうかを確認します。
ステージング
ホジキンリンパ腫と診断されると、がんにはステージが割り当てられます。病期分類は病気の程度と重症度を表します。また、医師が治療の選択肢や見通しを決定するのにも役立ちます。
ホジキンリンパ腫には 4 つの一般的な段階があります。
- ステージ 1 (初期段階)。がんが 1 つのリンパ節領域で見つかったり、がんが 1 つの臓器の 1 つの領域のみで見つかったりします。
- ステージ 2 (局所進行疾患)。がんは、肺の下の筋肉である横隔膜の片側にある 2 つのリンパ節領域で見つかったり、1 つのリンパ節領域と近くの臓器で見つかったりします。
- ステージ 3 (進行性疾患)。がんは横隔膜の上下両方のリンパ節領域で見つかるか、または横隔膜の反対側にある 1 つのリンパ節領域と 1 つの臓器でがんが見つかります。
- ステージ 4 (広範囲の疾患)。がんはリンパ節の外側で発見され、骨髄、肝臓、肺など体の他の部分に広く転移しています。
多くの場合、ステージには文字 A または B が割り当てられます。たとえば、ステージ 3A またはステージ 3B です。
によると、
- 過去6か月間で体重の10パーセントを超える意図しない体重減少
- 100.4°F (38°C) を超える原因不明の発熱
- シーツをびしょ濡れにする寝汗
上記の症状がない場合、あなたのステージには文字「A」が与えられます。
ホジキンリンパ腫はどのように治療されますか?
ホジキンリンパ腫の治療は通常、病気の段階によって異なります。主な治療選択肢は化学療法と放射線です。
治療後、医師は定期的なフォローアップを希望します。必ずすべての医療予約を守り、医師の指示に注意深く従うようにしてください。
放射線治療
放射線療法は、高エネルギーの放射線を使用して体の特定の領域のがん細胞を破壊します。放射線療法は一般に、ホジキンリンパ腫患者のがん細胞を殺すのに効果があります。それは時々管理されます:
- 古典的ホジキンリンパ腫の化学療法後
- NLPHL の一部のケースでは単独で発生しますが、古典的ホジキンリンパ腫よりもゆっくりと広がる傾向があります。
医師は、潜在的な副作用を最小限に抑えるために、最低の実効線量で放射線を使用する傾向があります。
化学療法
化学療法には、がん細胞を殺すことができる薬剤の使用が含まれます。化学療法薬は、特定の薬剤に応じて、経口投与または静脈注射で投与されます。
の
- アドリアマイシン (ドキソルビシン)
- ブレオマイシン
- ビンブラスチン
- ダカルバジン (DTIC)
その他の薬物療法
化学療法に加えて、次のような他のさまざまな薬物療法が使用される場合があります。
- ステロイド。初期治療が効果がなかった場合、またはがんが進行した場合には、化学療法にステロイドが追加されることがあります。
- 標的療法。標的療法薬は、化学療法薬ほど健康な細胞にダメージを与えることなく、がん細胞を攻撃します。 NLPHL がある場合、リツキシマブと呼ばれるこのクラスの薬剤が化学療法に追加される場合があります。
- 免疫療法。免疫療法薬は、がん細胞を標的にして破壊する免疫系の能力を高めます。
- ブレンツキシマブ ベドチン。ブレンツキシマブ ベドチンは、CD30 陽性ホジキンリンパ腫と呼ばれる特定の種類のホジキンリンパ腫の治療に使用される新薬です。
骨髄移植
化学療法や放射線療法にうまく反応しない場合は、幹細胞移植とも呼ばれる骨髄移植が選択肢になることがあります。幹細胞移植では、幹細胞と呼ばれる健康な細胞を体内に注入して、骨髄内のがん細胞を置き換えます。
骨移植には主に次の 2 種類があります。
- 自家幹細胞移植。あなた自身の幹細胞は治療前に収集され、高用量の化学療法または放射線を受けるまで保存されます。骨髄細胞は治療後に体内に戻されます。
- 同種幹細胞移植。通常は近親者であるドナーからの幹細胞が体内に移植されます。同種幹細胞移植は通常、自家移植が失敗した場合にのみ行われます。
代替療法
多くの代替療法はリンパ腫の症状の管理に役立つ可能性がありますが、病気を治すわけではありません。それらは従来の治療法と併用できますが、それに代わるものではありません。
治療には次のような選択肢があります。

ホジキンリンパ腫の臨床試験
臨床試験では、ホジキンリンパ腫に対する新たな治療法の可能性を調査しています。これらの治療法が現在の標準治療よりも有効であることが判明した場合、それが新しい標準治療となります。
白血病・リンパ腫協会によると、現在臨床試験では以下のことを検討中です。
- 遺伝学
- モノクローナル抗体
- プログラムされたデスチェックポイント阻害剤
- CAR-T細胞療法
- 中間陽電子放出断層撮影法/コンピュータ断層撮影法の役割
あなたが参加できる可能性のあるあなたの地域の臨床試験について医師に尋ねることができます。臨床試験は、

治療の副作用
ホジキンリンパ腫の治療には長期的な副作用が伴う可能性があり、他の重篤な病状を発症するリスクが高まる可能性があります。ホジキンリンパ腫の治療により、以下のリスクが高まる可能性があります。
- 二次がん
- 不妊
- 感染症
- 甲状腺の問題
- 肺の損傷
定期的にマンモグラフィー検査や心臓病の検査を受け、予防接種を継続し、喫煙を避ける必要があります。
定期的に医師の診察を受けることも重要です。長期的な副作用について懸念していることを必ず伝え、潜在的な副作用を軽減するために何ができるかを尋ねてください。

サポートとリソース
がんの診断を受けること、または愛する人ががんの治療を受けているのを見守ることは、信じられないほど難しい場合があります。サポートグループやカウンセリングは、自分の経験についての懸念や感情を話し合うための安全な場所を提供します。
サポート、アドバイス、ガイダンスを提供するために、多くのリソースが利用可能です。
ホジキンリンパ腫のリソース
国立がん研究所の医療サービスを見つけるためのガイド - 白血病・リンパ腫協会の地域支援グループのディレクトリ
- 白血病・リンパ腫協会のオンラインチャット
米国癌協会の 24 時間年中無休の電話回線 - 全国がん包括ネットワーク患者向けウェビナー

ホジキン病の長期的な見通し
過去数十年にわたるホジキンリンパ腫の治療の進歩により、生存率は大幅に向上しました。現在では、最も治癒可能ながんの一つと考えられています。によると、
以下は、
- ステージ 1 のホジキンリンパ腫は約 91% です。
- ステージ 2 のホジキンリンパ腫は約 94% です。
- ステージ 3 のホジキンリンパ腫は約 81% です。
- ステージ 4 のホジキンリンパ腫は約 65% です。
これらの割合は、病気の段階、全体的な健康状態、年齢、およびがんの治療に対する反応の程度によって異なる場合があります。

結論
ホジキンリンパ腫は、通常リンパ節で発生する血液がんの一種です。リンパ球と呼ばれる白血球の一種の異常な発達を引き起こします。これらの細胞が異常に発達すると、細胞の複製が制御不能になり、健康な白血球が締め出されてしまいます。
ホジキンリンパ腫の最も一般的な初期症状はリンパ節の腫れで、多くの場合首、脇の下、または鼠径部の周囲に発生します。
ホジキンリンパ腫は早期に発見されれば予後が良好な傾向があります。リンパ腫の兆候である可能性のある症状がある場合は、医療専門家に相談することが重要です。この病気は早期に発見されるほど、良好な結果が得られる可能性が高くなります。
参考文献
- https://www.lls.org/lymphoma/hodgkin-lymphoma/treatment/clinical-trials
- https://www.nature.com/articles/leu2015328
- https://www.lls.org/chapterfind
- https://www.lls.org/online-chats
- https://www.cancer.org/cancer/hodgkin-lymphoma/detection-diagnosis-staging/staging.html
- https://www.cancer.org/cancer/hodgkin-lymphoma/about/key-statistics.html
- https://www.ncbi.nlm.nih.gov/books/NBK499969/
- https://www.cancer.org/cancer/lymphoma.html
- https://www.cancer.org/cancer/hodgkin-lymphoma/detection-diagnosis-staging/survival-rates.html
- https://www.ncbi.nlm.nih.gov/pmc/articles/PMC6142570/
- https://www.cancer.org/cancer/hodgkin-lymphoma/about/what-is-hodgkin-disease.html
- https://www.lls.org/lymphoma/hodgkin-lymphoma/diagnosis/hodgkin-lymphoma-subtypes
- https://www.cancer.org/cancer/hodgkin-lymphoma/treating/chemotherapy.html
- https://www.nih.gov/health-information/nih-clinical-research-trials-you/finding-clinical-trial
- https://www.nccn.org/patientresources/patient-resources/patient-webinars
- https://www.ncbi.nlm.nih.gov/books/NBK560826/
- https://www.cancer.org/cancer/hodgkin-lymphoma/causes-risks-prevention/risk-factors.html
- https://www.cancer.gov/about-cancer/managing-care/services
- https://www.nhs.uk/conditions/hodgkin-lymphoma/treatment/
ホジキンリンパ腫 (ホジキン病) とは何ですか?・関連動画
免責事項: 健康百科事典ブログは、すべての情報が事実に基づき、包括的で最新のものであるよう努めています。しかし、この記事は、資格を持つ医療専門家の知識や専門性の代替として使用されるべきではありません。薬を服用する前には、必ず医師または他の医療専門家に相談してください。ここに記載されている情報は変更される可能性があり、すべての可能な用途、指示、注意事項、警告、薬物相互作用、アレルギー反応、副作用を網羅することを意図しているわけではありません。特定の薬物または薬物の組み合わせに関する警告や情報が記載されていない場合でも、その薬物や組み合わせがすべての患者やすべての用途において安全、有効、適切であることを意味するものではありません。
