髄様嚢胞性疾患

Written by

in

髄様嚢胞腎とは何ですか?

髄様嚢胞腎 (MCKD) は、腎臓の中心に嚢胞と呼ばれる液体で満たされた小さな袋が形成されるまれな病気です。瘢痕化は腎臓の尿細管にも発生します。尿は腎臓から尿細管を通って泌尿器系を通って移動します。瘢痕化により、これらの尿細管が機能不全に陥ります。

MCKD を理解するには、腎臓とその働きについて少し知ることが役立ちます。腎臓は、閉じた握りこぶしほどの大きさの 2 つの豆の形をした臓器です。それらは背骨の両側、背中の中央近くにあります。

腎臓は血液をろ過してきれいにします。毎日、約 200 クォートの血液が腎臓を通過します。きれいな血液が循環系に戻ります。老廃物や余分な水分は尿になります。尿は膀胱に送られ、最終的には体外に排出されます。

MCKDによって引き起こされる損傷により、腎臓は十分に濃縮されていない尿を生成します。言い換えれば、尿が多すぎて、適切な量の老廃物が不足しているということです。その結果、体が余分な老廃物をすべて除去しようとするため、通常よりもはるかに多くの水分を排尿することになります(多尿)。また、腎臓が尿を過剰に生成すると、水、ナトリウム、その他の重要な化学物質が失われます。

時間が経つと、MCKD は腎不全を引き起こす可能性があります。

 MCKDの種類

MCKDの種類

若年性腎炎(NPH)とMCKDは非常に密接な関係があります。どちらの状態も同じ種類の腎臓損傷によって引き起こされ、同じ症状が生じます。

大きな違いは発症年齢です。 NPH は通常 10 歳から 20 歳の間に発症しますが、MCKD は成人発症の病気です。

さらに、MCKD には 2 つのサブセットがあります。2 型 (通常は 30 ~ 35 歳の成人が罹患) と 1 型 (通常は 60 ~ 65 歳の成人が罹患) です。

 MCKDの原因

MCKDの原因

NPH と MCKD は両方とも常染色体優性遺伝病です。これは、この障害を発症するには片方の親から遺伝子を受け取るだけで十分であることを意味します。親がその遺伝子を持っている場合、子供は50パーセントの確率でその遺伝子を受けて症状を発症します。

発症年齢に加えて、NPH と MCKD のもう 1 つの大きな違いは、異なる遺伝的欠陥によって引き起こされることです。

ここでは MCKD に焦点を当てますが、議論する内容の多くは NPH にも当てはまります。

 MCKDの症状

MCKDの症状

MCKD の症状は他の多くの病気の症状に似ているため、診断が困難です。これらの症状には次のようなものがあります。

  • 多尿
  • 夜間の排尿回数の増加(夜間頻尿
  • 低血圧
  • 弱さ
  • 塩分への渇望(排尿量の増加による過剰なナトリウムの損失による)

病気が進行すると、腎不全末期腎疾患とも呼ばれます)が発生する可能性があります。腎不全の症状には次のようなものがあります。

  • あざや出血
  • 疲れやすい
  • 頻繁なしゃっくり
  • 頭痛
  • 肌の色の変化(黄色または茶色)
  • 皮膚のかゆみ
  • 筋肉のけいれんまたはけいれん
  • 吐き気
  • 手または足の感覚の喪失
  • 吐血
  • 血便
  • 減量
  • 弱さ
  • 発作
  • 精神状態の変化(混乱または注意力の変化)
  • コマ
MCKDの検査と診断

MCKDの検査と診断

MCKD の症状がある場合、医師は診断を確認するためにさまざまな検査を指示する場合があります。 MCKDを特定するには、血液検査と尿検査が最も重要です。

全血球計算

全血球計算では、赤血球、白血球、血小板の全体的な数を調べます。この検査では貧血や感染症の兆候がないか調べます。

BUNテスト

血中尿素窒素 (BUN) 検査では、タンパク質の分解生成物である尿素の量を調べます。尿素は、腎臓が適切に機能していない場合に上昇します。

採尿

24 時間の尿採取で過剰な排尿を確認し、電解質の量と損失を記録し、クレアチニン クリアランスを測定します。クレアチニンクリアランスによって、腎臓が適切に機能しているかどうかがわかります。

血液クレアチニン検査

クレアチニンレベルをチェックするために、血液クレアチニン検査が行われます。クレアチニンは筋肉によって生成される化学的老廃物で、腎臓によって濾過されて体外に排出されます。これは、血中クレアチニンのレベルと腎臓のクレアチニン クリアランスを比較するために使用されます。

尿酸検査

尿酸値を調べるために尿酸検査が行われます。尿酸は、体が特定の食品物質を分解するときに生成される化学物質です。尿酸は尿を通じて体外に排出されます。 MCKD患者では通常、尿酸値が高くなります。

尿検査

尿検査は、尿の色、比重、pH (酸性またはアルカリ性) レベルを分析するために行われます。さらに、尿沈渣の血液、タンパク質、細胞の含有量が検査されます。この検査は、医師が診断を確認したり、他の疾患の可能性を除外したりするのに役立ちます。

画像検査

血液検査と尿検査に加えて、医師は腹部/腎臓の CT スキャンを指示する場合もあります。この検査では、X 線画像を使用して腎臓と腹部の内部を観察します。これは、症状の他の潜在的な原因を除外するのに役立ちます。

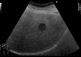
医師は、腎臓の嚢胞を視覚化するために腎臓超音波検査の実行を希望する場合もあります。これは腎臓の損傷の程度を判断するためのものです。

生検

腎生検では、医師または他の医療専門家が腎臓組織の小片を採取し、研究室で顕微鏡で検査します。これは、感染症、異常な沈着物、瘢痕など、症状の他の考えられる原因を除外するのに役立ちます。

生検は、医師が腎臓病の段階を判断するのにも役立ちます。

 MCKDはどのように治療されますか?

MCKDはどのように治療されますか?

MCKDの治療法はありません。この状態の治療は、症状を軽減し、病気の進行を遅らせることを試みる介入で構成されます。

病気の初期段階では、医師が水分摂取量を増やすよう勧める場合があります。脱水症状を避けるために塩分補給が必要になる場合もあります。

病気が進行すると腎不全を引き起こす可能性があります。この状態が発生すると、透析が必要になる場合があります。透析は、腎臓で濾過できなくなった老廃物を機械が体から除去するプロセスです。

透析は延命治療ですが、腎不全の人も腎臓移植を受けることができる場合があります。

 MCKDの長期合併症

MCKDの長期合併症

MCKD の合併症は、さまざまな臓器や系に影響を与える可能性があります。これらには次のものが含まれます。

MCKDの見通しはどうなりますか?

MCKDの見通しはどうなりますか?

MCKD は末期腎疾患につながります。つまり、最終的には腎不全が発生します。その時点で、体の機能を適切に保つために腎臓移植を受けるか、定期的に透析を受ける必要があります。選択肢については医師に相談してください。

髄様嚢胞性疾患・関連動画

免責事項: 健康百科事典ブログは、すべての情報が事実に基づき、包括的で最新のものであるよう努めています。しかし、この記事は、資格を持つ医療専門家の知識や専門性の代替として使用されるべきではありません。薬を服用する前には、必ず医師または他の医療専門家に相談してください。ここに記載されている情報は変更される可能性があり、すべての可能な用途、指示、注意事項、警告、薬物相互作用、アレルギー反応、副作用を網羅することを意図しているわけではありません。特定の薬物または薬物の組み合わせに関する警告や情報が記載されていない場合でも、その薬物や組み合わせがすべての患者やすべての用途において安全、有効、適切であることを意味するものではありません。