あなたまたはあなたのお子さんが過蓋咬合である場合、それを矯正するためのオプションを検討しているかもしれません。
矯正歯科医が推奨する治療法はいくつかあります。どのタイプが最も効果的かは、過蓋咬合の重症度、およびその根本的な原因を含むその他の要因によって決まります。
矯正装置は過蓋咬合を改善するための一般的な解決策です。アライナーも考慮されるかもしれません。
この記事では。検討すべきさまざまなタイプの矯正装置を見て、なぜそれが過蓋咬合に良い選択であるのか、それともそうでないのかを説明します。

過蓋咬合とは何ですか?
多くの人は、上の歯が下の歯をはるかに越えて伸びていることを表すために「過咬合」という用語を使用します。この歯並びのずれを表す別の俗語は「出っ歯」です。
しかし、矯正歯科医は、下の歯が上の歯と重なることを説明するために過咬合という用語を使用します。次に、上の歯が下の歯をどれだけ突き抜けているかに応じて、過剰咬合を正常から重度に分類します。
オーバーバイトとオーバージェット
歯科矯正学の別の用語は、オーバージェットです。オーバージェットとオーバーバイトという用語を同じ意味で使用する人もいます。ただし、これらの条件は似ていますが、同じではありません。
どちらの場合も、上の歯が下の歯の上または前に出ています。しかし、オーバージェットでは、上の歯が下の歯よりも斜めに突き出ます。
過蓋咬合の原因と重症度によって、使用する矯正装置の種類が決まります
過蓋咬合(またはオーバージェット)の原因、重症度、症状によって、どのタイプの矯正器具を使用するのが最適かが決まります。

過咬症の原因は何ですか?
オーバーバイトやオーバージェットは、顎の形状などの遺伝的要因によって引き起こされる場合があります。他の原因としては、下顎の歯が密集していることや歯が欠けていることなどが考えられます。
顎がまだ成長している幼児期に身についた習慣も、過咬合やオーバージェットを引き起こす可能性があります。これらには次のものが含まれます。

過蓋咬合にはどのような種類の矯正装置が最適ですか?
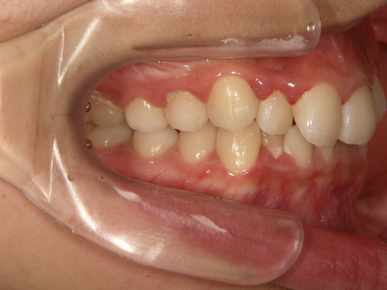
これらのタイプの矯正装置は金属またはセラミックで作られています。それぞれの歯に装着され、ワイヤーで繋がれています。これにより、口の上部と下部の両方の曲がった歯が整列し、まっすぐになります。歯がまっすぐになったら、コイル、スプリング、バンドを追加します。これらを組み合わせることで、顎を正しい位置に移動して整列させることができます。
従来の矯正装置は自宅で取り外すことができず、通常は 1 ~ 3 年間装着されます。この期間中、歯科矯正医は通常は 1 か月ごとに、必要に応じてブレースを調整し、締めます。
従来の矯正装置は、長期間にわたって歯に一定の一貫した圧力を加え、歯を最適な位置にゆっくりと移動させます。従来の矯正装置は自宅で取り外すことができないため、ほとんどの種類の過蓋咬合を矯正する最も迅速かつ効果的な方法です。
矯正装置を取り外した後は、リテーナーの装着が必要になる場合があります。この取り外し可能な装置は、歯科矯正医の指示に従って、常時装着することも、睡眠中のみ装着することもできます。過剰咬合が元に戻らないように、歯と顎の位置を維持するために使用されます。

インビザラインのようなアライナーをオーバーバイトやオーバージェットの矯正に使用できますか?
インビザラインのような透明なアライナーは、従来の矯正装置よりも口の中で目立たなくなります。毎日少なくとも22時間着用する必要がありますが、食事中や歯を磨いている間は取り外しても大丈夫です。
アライナーは、軽度から中程度の過咬合およびオーバージェットを矯正するために使用できます。重度の過咬合を矯正するのに十分な一貫した圧力を提供しません。また、アライナーを常に装着するように努める必要があります。アライナーが口の中にないときは、歯に力がかからず、歯は動きません。

十代の若者や子供の下顎の成長を変えることはできますか?
ヘッドギアなどの家電製品は、成長途中の子供や十代の若者にとって選択肢です。これらの装置は、上下の歯の間の余分な隙間を修正するのに役立ち、上顎と下顎を揃えるために従来の矯正器具と一緒によく使用されます。
これらの装置のほとんどは、上顎の成長を保持するか、顎関節が異なる発達をして下顎の新しい位置に適応するように下顎を位置決めします。

顎の手術はどうでしょうか?
オーバーバイトまたはオーバージェットが重度すぎて矯正器具だけで矯正できない場合は、両顎(顎)手術が推奨される場合があります。
顎矯正手術は、顎の骨のズレを修正するために使用できます。上顎骨(上顎)と下顎骨(下顎)の成長速度が異なる場合、顎の骨の位置ずれが発生することがあります。
顎の手術は、顎の骨を修正し、再調整するために使用されます。通常、手術の前後に従来の装具も着用する必要があります。

在宅治療の選択肢についてはどうですか?
お子様が指しゃぶりなどの習慣をやめられるように努めることで、矯正器具の必要性が減る可能性があります。ただし、歯が一旦広がってしまうと、自宅での治療で歯の形が変わる可能性は低くなります。
真実とは思えないほど良いことと同様に、たとえあなたを納得させるために前後の写真が表示されていたとしても、広がった歯を治すと約束するインターネットの治療オプションには警戒することが重要です。
歯と顎の配置を変えるには、時間をかけて適切かつゆっくりと正確な圧力を加える必要があります。資格のある歯科専門家がこのプロセスを正しく行わないと、歯や顎の骨に重大な損傷が生じる可能性があります。
重度の過蓋咬合またはオーバージェットを安全に治療できるのは、歯科医または歯科矯正医だけです。

持ち帰り
過咬合は一般的な歯の状態であり、軽度から重度までさまざまです。従来の矯正装置は、この症状に対して最も一般的に使用される治療法です。
軽度または中程度の過蓋咬合は、インビザライン矯正装置などのアライナーで矯正できます。
顎の骨の位置ずれによって上下の歯の間に非常に大きな隙間がある場合は、矯正だけでなく手術が必要になる場合もあります。
参考文献
- https://porth.io/corrective-jaw-surgery/
過蓋咬合にはどのタイプの矯正器具が最適ですか?・関連動画
免責事項: 健康百科事典ブログは、すべての情報が事実に基づき、包括的で最新のものであるよう努めています。しかし、この記事は、資格を持つ医療専門家の知識や専門性の代替として使用されるべきではありません。薬を服用する前には、必ず医師または他の医療専門家に相談してください。ここに記載されている情報は変更される可能性があり、すべての可能な用途、指示、注意事項、警告、薬物相互作用、アレルギー反応、副作用を網羅することを意図しているわけではありません。特定の薬物または薬物の組み合わせに関する警告や情報が記載されていない場合でも、その薬物や組み合わせがすべての患者やすべての用途において安全、有効、適切であることを意味するものではありません。
