
出っ歯の定義
出っ歯は、過咬合または不正咬合としても知られています。歯並びの乱れであり、程度はさまざまです。
多くの人は出っ歯を治療せずにそのまま生きることを選択します。例えば、晩年のロックアイコン、フレディ・マーキュリーは、重度の過蓋咬合を維持し、受け入れました。
美容上の理由から過蓋咬合の治療を好む人もいます。
さらに、誤って噛んだことによる他の歯、歯茎、舌の損傷などの合併症を避けるために治療が必要な場合もあります。
原因、重症度、症状は、出っ歯を治療するかどうか、またどのように治療するかに影響します。

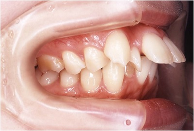
出っ歯の写真
上の前歯が下の歯よりも突き出ている状態は、一般に出っ歯、または過咬合と呼ばれます。

出っ歯の原因
出っ歯は遺伝することが多いです。顎の形状は、他の身体的特徴と同様に、世代を超えて受け継がれます。指しゃぶりやおしゃぶりの使用など、幼少期の習慣も出っ歯の原因として考えられます。
指しゃぶりによる出っ歯
親指をしゃぶると出っ歯になる可能性があるとあなたに警告したとき、あなたの両親は真実を語っていたのです。
指しゃぶりは非栄養吸啜行動 (NNSB) と呼ばれ、吸啜動作が授乳時のような栄養を提供していないことを意味します。
これが3~4歳を過ぎても、あるいは永久歯が生えてくる頃にも続くと、吸引や指による圧力で永久歯が異常な角度で生えてくることがあります。
おしゃぶりの出っ歯
おしゃぶりを吸うことも NNSB の別の形式です。親指をしゃぶるのと同じように過咬症を引き起こす可能性があります。
2016年にJournal of the American Dental Associationに発表された研究によると、おしゃぶりの使用は、指しゃぶりや指しゃぶりよりも不正咬合を発症するリスクが高いと関連しています。
舌を突き出す
突き出し舌は、舌が口の中で前方に押しすぎると発生します。これは通常「開咬」として知られる不正咬合を引き起こしますが、場合によっては過蓋咬合を引き起こすこともあります。
この状態は子供に最も一般的ですが、成人になっても続く可能性があります。
慢性的に腫れたアデノイドや扁桃腺、不適切な嚥下習慣など、さまざまなことが原因で発生する可能性があります。大人の場合はストレスが原因となることもあります。大人の中には睡眠中に舌を突き出す人もいます。
遺伝学
生まれつき顎が凸凹していたり、上下の顎が小さかったりする人もいます。出っ歯や突出した前歯は遺伝することが多く、両親、兄弟、その他の親戚も同様の外観をしている場合があります。
欠損歯、余分な歯、埋伏歯
間隔が空いていたり密集していると、前歯の配列が変化し、出っ歯のように見えることがあります。歯を失うと、時間の経過とともに残っている歯が移動し、前歯の位置に影響を与えます。
逆に、歯を収容するのに十分なスペースがないことも歯並びの問題を引き起こす可能性があります。余分な歯や埋伏歯がある場合、叢生が発生することがあります。
口または顎の腫瘍および嚢胞
口や顎の腫瘍や嚢胞は、歯の配置や口と顎の形状を変える可能性があります。これは、口や顎の上部に持続的な腫れや成長(軟組織または骨)があり、歯が前方に移動するときに発生します。
口腔または顎の腫瘍や嚢胞も、痛み、しこり、びらんを引き起こす可能性があります。

過咬の健康リスク
過咬合は、その程度や正常な咬合の妨げになるかどうかに応じて、健康上の問題を引き起こす可能性があります。
オーバーバイトは次のような問題を引き起こす可能性があります。
- 言語障害
- 呼吸の問題
- 咀嚼障害
- 他の歯や歯茎の損傷
- 噛んだり噛んだりするときの痛み
- 顔の外観の変化

出っ歯の治療
過咬合が重度で不快感を引き起こさない限り、医学的に治療は必要ありません。歯の外観に不満がある場合は、歯科医または矯正歯科医に治療を受ける必要があります。
歯にはさまざまなサイズがあり、噛み合わせのタイプや顎の関係も人によって異なるため、出っ歯を治療する唯一の標準的な方法はありません。歯科医師または歯科矯正医は、お客様のニーズに基づいて最適な治療計画を決定します。
ブレース
多くの人が小児期または十代の頃に矯正治療を受けますが、大人も矯正治療の恩恵を受けることができます。歯に取り付けられた金属ブラケットとワイヤーを時間をかけて操作し、徐々に歯を動かし、よりまっすぐな笑顔を目指します。
歯を整えるためにさらにスペースが必要な場合は、抜歯が推奨されることがあります。
口蓋の拡張
口蓋拡張術は通常、上顎が小さすぎて大人の歯を収容できない小児または青少年の治療に使用されます。
口蓋拡張器と呼ばれる 2 つの部分からなる特別な器具が上の臼歯に取り付けられます。拡張ネジにより 2 つの部分が徐々に離れ、口蓋が広がります。
インビザライン
インビザラインは、十代の若者や成人の軽度の不正咬合の治療に使用できます。一連の透明なプラスチックのアライナーは歯の型から作られ、歯に装着して徐々に位置を変えます。
インビザラインは従来の矯正装置よりも費用がかかりますが、歯科医に通う必要は少なくなります。
顎の手術
両顎手術は重篤な問題の治療に使用されます。また、成長が止まっている人に対して、上顎と下顎の関係を矯正するために使用されます。

自宅での治療は避ける
過蓋咬合は自宅では治すことができません。出っ歯を安全に治療できるのは歯科医または矯正歯科医だけです。
歯並びを変えるには、望ましい外観を実現し、歯根や顎の骨への重大な損傷を避けるために、時間をかけて正確な圧力を加える必要があります。
重篤な問題の場合、手術が最良の選択肢、または唯一の選択肢となる場合があります。

出っ歯で暮らす
過蓋咬合と共存することを選択した場合、歯を健康に保ち、噛み合わせの悪さによって引き起こされる問題を回避するためにできることをいくつか紹介します。

持ち帰り
人間と同じように、歯にもさまざまな形や大きさがあります。出っ歯は重度で不快感を引き起こす場合、または見た目に不満があり矯正を希望する場合にのみ治療が必要です。
歯科医または歯科矯正医は、あなたのニーズに基づいて最適な選択肢を決定するお手伝いをします。
参考文献
- https://jada.ada.org/article/S0002-8177(16)30669-9/abstract
出っ歯(出っ歯)の原因と安全な治療方法は?・関連動画
免責事項: 健康百科事典ブログは、すべての情報が事実に基づき、包括的で最新のものであるよう努めています。しかし、この記事は、資格を持つ医療専門家の知識や専門性の代替として使用されるべきではありません。薬を服用する前には、必ず医師または他の医療専門家に相談してください。ここに記載されている情報は変更される可能性があり、すべての可能な用途、指示、注意事項、警告、薬物相互作用、アレルギー反応、副作用を網羅することを意図しているわけではありません。特定の薬物または薬物の組み合わせに関する警告や情報が記載されていない場合でも、その薬物や組み合わせがすべての患者やすべての用途において安全、有効、適切であることを意味するものではありません。
