腎細胞がんの後期では、血尿や腰痛などの症状が生じることがあります。初期段階では症状が出ないこともあります。
腎細胞癌 (RCC) は最も一般的な種類の腎臓癌であり、
RCC に罹患している場合、腫瘍が大きくなる後期段階まで症状が現れない可能性があります。
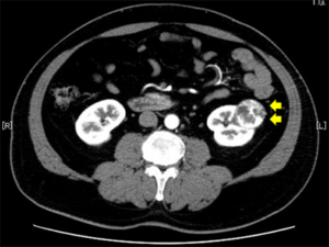
RCC と診断された人の多くは、別の理由で検査を受けた後に診断を受けます。症状が出る前に、超音波検査やCTスキャンで腫瘍が見つかることがあります。
RCCの症状が現れた場合は、医師に相談するのが最善です。 RCC を示す可能性のある症状を学ぶために読み続けてください。

血尿
RCCによって引き起こされる腫瘍により、血尿として知られる血尿が生じることがあります。血液が目に見えて尿がピンク色になることがあります。また、尿サンプルを顕微鏡で検査するか、少量の血液を検出する検査を実行することによってのみ確認できる、顕微鏡的な量の場合もあります。

脇腹または腰の痛み
一方または両方の腎臓の腫瘍がかなりの大きさに成長すると、痛みが生じることがあります。腎臓から始まる痛みがある場合は、腰や胸郭のすぐ下の横に痛みを感じることがあります。
腫瘍によって引き起こされる痛みは一定であり、消えることはありませんが、筋肉の緊張による痛みは動くと変化したり、軽減したりすることがあります。怪我による痛みがある場合、腎臓腫瘍と関連がある可能性は低いです。

塊
RCC によって引き起こされる腎臓腫瘍が非常に大きくなると、体の外側に広がる、または触ることができる目立つしこりが生じることがあります。しこりは通常、腹部の低い位置、背中、胸郭の下、または脇腹にあります。このようなしこりを作るには、腫瘍がかなり大きくなければなりません。

貧血
貧血、または赤血球レベルの低下は、RCC を含む多くの健康状態で発生する可能性があります。赤血球は酸素を運ぶので、赤血球が必要以上に少ないと、疲労感、だるさ、体力の低下を感じることがあります。

倦怠感
腎臓に腫瘍があると、疲労感を感じることがあります。これは貧血によって起こることもあれば、がん細胞が栄養を求めて健康な細胞と競合することによって起こることもあります。
疲労は病気や睡眠不足によって引き起こされることもありますが、異常な疲労感が長期間続き、説明できない場合は、医師に相談することを検討してください。

熱
RCC により、99 ~ 99.5°F (37.2 ~ 37.5°C) 以上の発熱が起こることがあります。免疫システムがウイルスなどの感染症と戦うときに発熱が起こることがあります。発熱があっても感染症の他の症状がない場合、または病気の後に熱が下がらない場合は、医師に相談する価値があります。

原因不明の体重減少
原因不明の体重減少は、RCC やその他の健康状態の症状である可能性があります。ダイエットをしていない場合、または体重減少に倦怠感や発熱を伴う場合は、医師の診断を受けることを検討してください。腎臓のがん細胞は栄養素を求めて健康な細胞と競合し、意図しない体重減少につながる可能性があります。

高いカルシウムレベル
RCC は血液中のカルシウム濃度を上昇させる可能性があります。通常よりも高いレベルでは、次のような原因が発生する可能性があります。
- 倦怠感
- 弱さ
- 過度の喉の渇き
- 便秘
- 混乱と記憶の問題
医師は、代謝パネルとして知られる血液検査でカルシウムレベルを検査できます。

よくある質問
腎細胞がんの人の平均余命はどれくらいですか?
RCC患者の平均余命は、診断時のがんのステージのほか、年齢や全体的な健康状態などの個人的要因によって異なります。 2013 年から 2019 年のデータに基づく腎臓がんの 5 年生存率は次のとおりです。
腎細胞癌の最初に現れる症状は何ですか?
RCC 患者の多くは症状がありません。
腎細胞がんはどのように診断されますか?
医師は血液検査、尿検査、画像検査を経て腎細胞がんを診断できます。他の種類のがんとは異なり、生検は

取り除く
後期腎細胞癌によく見られる症状のいずれかを経験した場合は、その症状はさまざまな疾患に起因する可能性があり、その多くは深刻なものではないことを知っておいてください。症状が治まらない場合、煩わしい場合、または心配な場合は、原因を調べるために医師の診察を受けるのが最善です。
以下の場合、RCC になる可能性が高くなります。
RCC に罹患している場合、 治療の選択肢には、手術、医療処置、投薬、またはそれらの組み合わせが含まれます。診断が早ければ早いほど、治療が成功する可能性が高くなります。
参考文献
- https://www.ncbi.nlm.nih.gov/books/NBK470336/
- https://www.cancer.gov/types/kidney/patient/kidney-treatment-pdq
- https://www.cancer.org/cancer/types/kidney-cancer/detection-diagnosis-staging/survival-rates.html
腎細胞癌の症状・関連動画
免責事項: 健康百科事典ブログは、すべての情報が事実に基づき、包括的で最新のものであるよう努めています。しかし、この記事は、資格を持つ医療専門家の知識や専門性の代替として使用されるべきではありません。薬を服用する前には、必ず医師または他の医療専門家に相談してください。ここに記載されている情報は変更される可能性があり、すべての可能な用途、指示、注意事項、警告、薬物相互作用、アレルギー反応、副作用を網羅することを意図しているわけではありません。特定の薬物または薬物の組み合わせに関する警告や情報が記載されていない場合でも、その薬物や組み合わせがすべての患者やすべての用途において安全、有効、適切であることを意味するものではありません。
