脳静脈血栓症(CVT)とは何ですか?

Written by

in

脳静脈血栓症は、脳の静脈に血栓が形成されることで発生する重篤な健康状態です。治療しなければ、脳出血や脳卒中を引き起こす可能性があります。

CVT は、脳内の脳静脈の血栓です。この静脈は脳から血液を排出する役割を果たします。脳静脈内の圧力が上昇すると、出血や重度の脳の腫れが発生することがあります。

早期に発見できれば、CVT は生命を脅かす合併症を引き起こすことなく治療できます。

脳静脈血栓症の症状

脳静脈血栓症の症状

脳静脈内の血栓は圧力を引き起こし、脳の腫れを引き起こす可能性があります。この圧力は頭痛を引き起こし、より重篤な場合には脳組織に損傷を与える可能性があります。

症状は、脳内の血栓が発生する場所に応じて異なります。ただし、CVT のより一般的な症状には次のようなものがあります。

より重度の脳静脈血栓症がある場合は、脳卒中様の症状が現れることがあります。これらには次のものが含まれます。

  • ろれつが回らない話し方
  • 他人を理解するのが難しい
  • 片側の体のしびれ
  • 弱さ
  • 覚醒度の低下

このような症状が現れ始めた場合は、すぐに 911 番または地元の救急サービスに電話するか、誰かに緊急治療室に連れて行ってもらってください。

重度の CVT のその他の症状としては、次のようなものがあります。

  • 失神
  • 体の一部の可動性が制限される
  • 発作
  • コマ
CVTの危険因子は何ですか?

CVTの危険因子は何ですか?

通常の血流が妨げられると、体内で血栓が発生する可能性が高くなります。 CVTはレアこの状態は、いくつかの要因によって引き起こされる可能性があります。

CVT より一般的には出生時に男性に割り当てられた人よりも、出生時に女性に割り当てられた人に発生します。

これらの危険因子には次のようなものがあります。

あまり一般的ではない CVT の危険因子には、妊娠やその他の血液凝固障害が含まれます。どちらの症状も血液が凝固しやすくなり、体と脳全体の適切な血流に影響を与えます。

乳児における CVT の最も一般的な原因は、特にの感染症です。

CVT の場合、原因が不明な場合もあります。

CVT を治療せずに放置すると、生命を脅かす結果が生じる可能性があります。

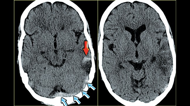
 CVTの診断

CVTの診断

脳静脈血栓症を診断するとき、医師は通常、症状を評価し、病歴や家族歴を聞きます。最終的な診断は通常、脳内の血液循環をチェックすることで決まります。血流をチェックするために、医師は画像検査を使用して血栓や腫れを検出できます。

CVT の検出に使用される画像検査には次のものがあります。

  • MRI 静脈造影検査: MRI静脈造影検査は、MRV とも呼ばれ、頭と首の領域の血管の画像を生成する画像検査です。血液循環、異常、脳卒中、脳出血の評価に役立ちます。このMRIでは、医師は特殊な色素を使用して血流を示し、血液が凝固しているかどうかを判断します。この検査は通常、CT スキャンの画像を鮮明にするために使用されます。
  • CT 静脈造影: CTスキャンでは、X 線画像を使用して医師に骨と動脈血管を表示します。医師は静脈造影検査と組み合わせて、静脈に色素を注入して血液循環の画像を生成し、血液凝固の検出に役立てます。
脳静脈血栓症の治療選択肢

脳静脈血栓症の治療選択肢

CVT 治療の選択肢は症状の重症度によって異なります。通常、一次治療は脳内の血栓の予防または溶解に焦点を当てます。

医師は血栓の治療と予防のために薬を処方することがあります。また、経験した他の症状に応じて、他の治療法を処方する場合もあります。

  • 注射可能な抗凝固剤:医師は、血液凝固やそれ以上の血栓の成長を防ぐために、抗凝固剤、または抗凝血剤を処方する場合があります。静脈または皮下に直接注射されるヘパリンを処方する場合があります。
  • 経口抗凝固薬:医師は、患者の状態が安定していると判断すると、定期的な治療としてワルファリン(ヤントーベン)などの経口抗凝固薬を推奨する場合があります。これは、特に血液凝固障害と診断されている場合に、再発する血栓を防ぐのに役立ちます。
  • その他の薬:この症状による発作を経験したことがある場合、医師は発作を抑えるために抗発作薬を処方することがあります。同様に、脳卒中のような症状が現れ始めた場合、医師は脳卒中または集中治療室に入院させることがあります。

監視

CVT のすべてのケースにおいて、医師は通常、治療中および治療後も脳活動を監視し続けます。

進行状況を確認し、追加の血栓がないことを確認するために、フォローアップの静脈造影検査や画像検査が行われる場合があります。

医師はまた、CVT による他の合併症や、凝固障害や腫瘍などの CVT の根本的な原因がないか追跡調査を行います。これには血液検査や画像検査が含まれる場合があります。

医療処置

抗凝固薬がうまく効かない場合、医師は血栓溶解療法を勧める場合があります。この手順により、血栓が破壊されることがあります。

脳静脈血栓症のより重篤なケースでは、医師は血栓を除去して血管を修復する手術を推奨する場合があります。この処置は機械的血栓除去術と呼ばれます。

 CVTの展望

CVTの展望

まれではありますが、脳静脈血栓症は治療せずに放置すると生命を脅かす可能性があります。 CVTは早期に発見されれば、薬物療法を使用して非侵襲的に治療できます。

不規則な頭痛や関連症状が現れ始めた場合は、医師に相談することを検討してください。

ひどい頭痛や脳卒中の兆候を感じた場合は、911 番または地元の救急サービスに電話してください。

参考文献

  1. https://www.ncbi.nlm.nih.gov/books/NBK459315/

脳静脈血栓症(CVT)とは何ですか?・関連動画

免責事項: 健康百科事典ブログは、すべての情報が事実に基づき、包括的で最新のものであるよう努めています。しかし、この記事は、資格を持つ医療専門家の知識や専門性の代替として使用されるべきではありません。薬を服用する前には、必ず医師または他の医療専門家に相談してください。ここに記載されている情報は変更される可能性があり、すべての可能な用途、指示、注意事項、警告、薬物相互作用、アレルギー反応、副作用を網羅することを意図しているわけではありません。特定の薬物または薬物の組み合わせに関する警告や情報が記載されていない場合でも、その薬物や組み合わせがすべての患者やすべての用途において安全、有効、適切であることを意味するものではありません。