白質と灰白質は、異なる種類の脳領域です。どちらも思考スキル、感情、筋肉の動きに不可欠です。
脳についての議論で「灰白質」と「白質」という用語を聞いたことがあるかもしれません。しかし、その違いは何でしょうか?実際にはグレーと白なのでしょうか?他の点で違いはありますか?
灰白質と白質には異なる責任がありますが、両方とも健康な認知(思考)、運動、感情の調節などに不可欠です。
灰白質と白質の違いを知ることは、あなたまたはあなたが知っている誰かが、あなたまたはその人の脳のこれらの重要な機能の一方または両方に直接影響を与える症状を発症した場合に特に役立ちます。
灰白質と白質についてさらに詳しく知り、今後数年にわたってそれらの健康と機能を維持または改善するために何ができるかを学びましょう。

灰白質とは何ですか?
灰白質は、密集したニューロン(神経細胞) で構成されています。特定の物質で染色すると、ニューロンの集中により灰色がかったピンク色になるため、「グレー」と呼ばれます。これらの細胞は、多くの思考スキル、感情、筋肉の動きに直接関与しています。
灰白質はどこにありますか?
灰白質組織は脊髄と脳にあります。脳の外層、特に大脳皮質と小脳の大部分を占めています。大脳の深部や脊髄の内側にも灰白質が見つかることがあります。
灰白質は何をするのでしょうか?
灰白質は情報を処理し、思考と記憶、感情と感情、感覚入力、筋肉の動きを制御できるようにします。

白質とは何ですか?
白質は主に、ニューロンをつなぐ軸索(神経線維)で構成されています。軸索はミエリン鞘に包まれているため、白色になっています。ミエリン鞘はまた、ニューロン間を伝わる信号の伝達と速度を高めます。
白質はどこにありますか?
白質は、通信ケーブルのように機能する無数の細い糸で構成されており、主に脳の深部にあります。脊髄の外側部分も白質で構成されています。
白質は何をするのでしょうか?
白質は灰白質の領域間で信号を運びます。これにより、情報を学習して思い出すことができ、歩行時にバランスを保ち、生活のさまざまな感情的状況に適切な感情と行動で対応できるようになります。

灰白質と白質に影響を与える病気は何ですか?
灰白質と白質は、酸素が豊富な血液で栄養を与えるために、安定した強力な循環に依存しています。血流不足は、たとえ短時間であっても、ニューロンや軸索に損傷を与えたり、破壊したりする可能性があります。これは、脳卒中中、または心停止が発生して心臓の鼓動が一時的に停止した場合に発生する可能性があります。
灰白質疾患
の1つ
重度の頭部外傷も灰白質を損傷または破壊する可能性があります。
白質疾患
微小血管虚血性疾患と呼ばれる脳の小さな血管の慢性疾患は、血流の遮断を引き起こし、数年にわたって無症状の脳卒中を引き起こす可能性があります。これは、白質疾患の一種である白質の縮小につながる可能性があります。
原因には、高血圧やアテローム性動脈硬化症、つまり血流の制限を引き起こす動脈内でのプラークの蓄積が含まれます。
白質に影響を与える可能性のあるもう 1 つの病気は、神経線維の周囲のミエリン鞘を破壊する多発性硬化症 (MS)です。
その他の白質疾患には次のようなものがあります。
重度の頭部外傷も白質を損傷する可能性があります。
よくある質問
灰白質と白質の主な違いは何ですか?
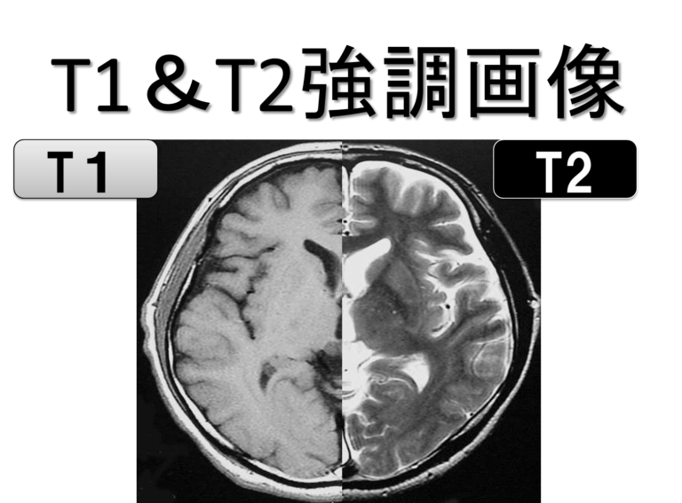
白質と灰白質はどちらもニューロンで構成されており、細胞核、有髄軸索、樹状突起が含まれています。白質は灰白質よりも多く髄鞘が形成されているため、顕微鏡や特定の画像検査で観察すると、領域の種類によって異なる外観が得られます。
灰白質が多い方が良いのでしょうか?
灰白質が多いほど、思考スキルと記憶力が向上します。加齢に伴う脳容積の縮小は灰白質に影響を与えることが多く、その結果、記憶力や注意力などの機能に影響を及ぼします。
灰白質を再構築できますか?
科学者たちは長年、新しい脳細胞の発達は小児期に停止すると考えてきましたが、この理論は誤りであることが研究で示唆されています。
あ
脳内の白質を増やすにはどうすればよいですか?
健康的なライフスタイルは、灰白質と白質の機能と量を最適化するのに役立ちます。あ
白質は何歳から減少し始めますか?
灰白質と同様に、白質も年齢とともに縮小する傾向があります。によると

取り除く
灰白質と白質は連携して脳の機能を維持し、日常生活を維持することができます。
次の表は、灰白質と白質の主な違いのいくつかをまとめたものです。
| 特性 | 灰白質 | 白質 |
|---|---|---|
| 脳内の位置 | ほとんど表面上で | ほとんどが皮質のさらに深いところにある |
| コンポーネント | ニューロン | 高度に有髄化されたニューロン |
| 発達のピークの年齢 | 20代の間に完全に成長する | 中年にピークを迎える |
私たちはそれらを別個の領域として考えていますが、一方の領域への損傷が他方の領域にも影響を与える可能性があります。定期的な運動、健康的な食事、十分な睡眠は、白質と灰白質を維持するため、または少なくとも加齢に伴うこれらの領域の損失を遅らせるために実行できる 3 つの重要なステップです。
参考文献
- https://www.ncbi.nlm.nih.gov/pmc/articles/PMC5250573/
- https://www.ncbi.nlm.nih.gov/books/NBK553239/
- https://www.ncbi.nlm.nih.gov/pmc/articles/PMC7704181/
- https://www.ncbi.nlm.nih.gov/pmc/articles/PMC8415959/
- https://www.ncbi.nlm.nih.gov/pmc/articles/PMC5952008/
灰白質と白質とは何ですか?・関連動画
免責事項: 健康百科事典ブログは、すべての情報が事実に基づき、包括的で最新のものであるよう努めています。しかし、この記事は、資格を持つ医療専門家の知識や専門性の代替として使用されるべきではありません。薬を服用する前には、必ず医師または他の医療専門家に相談してください。ここに記載されている情報は変更される可能性があり、すべての可能な用途、指示、注意事項、警告、薬物相互作用、アレルギー反応、副作用を網羅することを意図しているわけではありません。特定の薬物または薬物の組み合わせに関する警告や情報が記載されていない場合でも、その薬物や組み合わせがすべての患者やすべての用途において安全、有効、適切であることを意味するものではありません。
