歯茎の後退
歯が少し長く見えたり、歯ぐきが歯から後退しているように見える場合は、歯ぐきが後退しています。
これにはいくつかの原因が考えられます。最も深刻な原因は、歯周病としても知られる歯周病です。歯周病を治療する方法はありませんが、管理することは可能ですし、そうすべきです。お口と歯の健康はそれにかかっています。
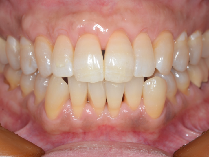
健康な口では、歯肉はピンク色で、すべての歯の周りの歯肉の線は一貫しています。歯肉退縮が進行すると、歯肉が炎症を起こしているように見えます。また、一部の歯の周囲では、他の周囲よりも歯茎のラインが低く見えます。歯肉組織がすり減り、歯の露出部分が増えます。
歯ぐきの後退はゆっくりと起こる可能性があるため、毎日歯ぐきと歯をよく観察することが重要です。歯茎が下がっていることに気づき、しばらく歯医者に行っていない場合は、すぐに予約を入れてください。

歯茎が下がる症状
歯肉の後退は、歯の周囲の歯肉組織が少ないことに加えて、次のような結果を引き起こすことがよくあります。
- 口臭
- 腫れて赤い歯茎
- 口の中に嫌な味がする
- ぐらついた歯
噛み合わせが違うことに気づくかもしれません。また、痛みを感じたり、歯茎が特に痛くなったりすることもあります。歯茎が後退する場合の主な懸念の 1 つは、細菌が増殖しやすくなることです。そのため、定期的な歯科検診と毎日の口腔ケアが不可欠です。

歯肉退縮の原因
歯肉退縮にはさまざまな原因があります。最も深刻なのは歯周病です。その他の原因には次のようなものがあります。
- 老年
- 口腔衛生状態が悪い
- 糖尿病などの病状
歯ブラシのせいで歯茎が下がっていませんか?
歯磨きが強すぎると歯茎が下がってしまう可能性もあります。歯を磨くためのヒントをいくつか紹介します。
- 硬い毛の歯ブラシではなく、柔らかい歯ブラシを使用してください。
- 優しくブラッシングしてください。腕の筋肉ではなく、剛毛に仕事をさせましょう。
- 1日に少なくとも2回、一度に少なくとも2分間ブラッシングしてください。
歯肉退縮のその他の原因
歯肉退縮のその他の原因には次のようなものがあります。
- スポーツによる怪我やその他の口の外傷。たとえば、唇や舌のボディピアスのスタッドが歯肉組織をこすって後退を引き起こす可能性があります。
- 喫煙。それはタバコだけではありません。タバコを噛んだり、タバコの袋に浸したりすると、歯肉退縮のリスクが高まります。
- 歯が正しく並んでいない。突出した歯根、不正な歯、または付着筋により、歯肉組織が所定の位置から押し出される可能性があります。
- フィット感の悪い部分入れ歯。
- 寝ている間の歯ぎしり。歯ぎしりや食いしばりは歯に過度な力がかかる可能性があります。これは歯肉の後退を引き起こす可能性があります。

歯肉後退の診断
歯科衛生士や歯科医は通常、歯茎の後退をすぐに発見できます。すべての歯をよく見ると、1 本または複数の歯の根元から歯肉が剥がれていることに気づく場合もあります。
歯肉の後退は徐々に起こる傾向があります。日によっては歯茎の変化に気付かない場合もあります。年に2回歯科医の診察を受けていれば、その間に不景気があったかどうかが分かるはずです。

歯肉退縮の治療
歯茎の後退を元に戻すことはできません。これは、後退した歯肉組織が元に戻らないことを意味します。ただし、問題の悪化を防ぐことはできます。
治療は通常、歯肉の問題の原因によって異なります。激しい歯磨きや不十分な歯科衛生が原因の場合は、歯磨きやフロスの習慣を変えることについて歯科衛生士に相談してください。歯垢と戦う洗口剤を毎日使用すると、歯の間に歯垢がたまりやすくなる場合があります。デンタルピックや別のタイプの歯間クリーナーも、手の届きにくい部分を清潔に保つのに役立ちます。
歯ぐきが軽度に退縮すると、患部周囲のポケットに細菌が形成されるリスクが高まります。他の歯周病が存在する場合、歯周病はより早く進行する可能性があります。ただし、軽度の歯ぐきの後退が必ずしも口を歯周病のリスクにさらすわけではありません。
歯ぐきの後退を治療するために、「スケーリングとルートプレーニング」と呼ばれる徹底的なクリーニング治療が時々必要になる場合があります。スケーリングとルートプレーニングでは、歯科医が歯の表面と歯の根から歯石と歯垢を取り除きます。まだ歯科医がいない場合は、 健康百科事典(healthypedia.click/)FindCare ツールを使用すると、お住まいの地域の医師を見つけることができます。
歯肉退縮が深刻な場合は、歯肉移植と呼ばれる処置により、失われた歯肉組織を回復することができます。この処置では、口の中の別の場所から歯肉組織を採取し、それを歯の周囲の歯肉組織が失われた領域に移植または付着させることが含まれます。その領域が治癒すると、露出した歯根を保護し、より自然な外観を取り戻すことができます。

見通しはどうですか?
歯茎が下がると笑顔に影響があり、歯周病や歯がぐらつくリスクが高まります。歯肉退縮の進行を遅らせたり止めたりするには、口腔の健康を管理する必要があります。可能であれば年に2回は歯科医の診察を受けてください。適切な口腔衛生については歯科医の指示に従ってください。
歯肉退縮が深刻な場合は、歯周病専門医に相談するとよいでしょう。歯周病の専門医です。歯周病専門医は、歯肉移植やその他の治療法などの選択肢について教えてくれます。

予防のためのヒント
健康的なライフスタイルも歯茎の後退を防ぐのに役立ちます。これは、バランスの取れた食事をとり、喫煙と無煙タバコをやめるという意味です。
歯と歯茎のケアに細心の注意を払っている場合でも、年に 2 回は歯科医の診察を受けるようにしてください。あなたまたは歯科医が問題の発生を早期に発見できれば、問題の悪化を防ぐことができる可能性が高くなります。
歯茎の後退に対する治療とは何ですか?・関連動画
免責事項: 健康百科事典ブログは、すべての情報が事実に基づき、包括的で最新のものであるよう努めています。しかし、この記事は、資格を持つ医療専門家の知識や専門性の代替として使用されるべきではありません。薬を服用する前には、必ず医師または他の医療専門家に相談してください。ここに記載されている情報は変更される可能性があり、すべての可能な用途、指示、注意事項、警告、薬物相互作用、アレルギー反応、副作用を網羅することを意図しているわけではありません。特定の薬物または薬物の組み合わせに関する警告や情報が記載されていない場合でも、その薬物や組み合わせがすべての患者やすべての用途において安全、有効、適切であることを意味するものではありません。
