成人の水痘

Written by

in

水痘は小児期の病気と考えられがちですが、大人でも感染しやすく、症状が重篤になる傾向があります。ただし、子供の頃に水痘にかかったことがある場合は、大人になってから水痘にかかる可能性は低いです。

水痘としても知られる水痘は、水痘・帯状疱疹ウイルス(VZV)によって引き起こされます。ほとんどの場合、顔、首、体、腕、脚に現れるかゆみを伴う赤い水疱の発疹によって認識されます。

水痘に罹患したことのある人は、通常、この病気に対する免疫を持っています。したがって、子供の頃に水痘にかかっていた場合、大人になってから水痘にかかる可能性は低いです。

成人の水痘の症状

成人の水痘の症状

大人の水痘の症状は通常、子供の症状と似ていますが、より重篤になる場合があります。この病気は、ウイルスへの曝露後 1 ~ 3 週間で始まる以下のような症状を経て進行します。

  • 発熱、倦怠感、食欲不振体の痛み頭痛などのインフルエンザのような症状。これらの症状は通常、発疹が現れる 1 ~ 2 日前から始まります。
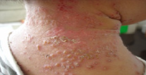
  • 顔や胸に赤い斑点が現れ、やがて全身に広がります。赤い斑点は、かゆみを伴う液体で満たされた水疱に発展します。
  • 水ぶくれは涙を流してただれ、かさぶたを形成して治癒します。水疱の一部がかさぶたを形成するため、さらに赤い斑点が現れ、合計 250 ~ 500 個の水疱が現れることも珍しくありません。
写真

写真

水痘の回復時間

水痘の回復時間

成人の場合、水痘の新しい斑点は 7 日目までに現れなくなることがよくあります。 10 ~ 14 日後、水疱がかさぶたになります。水ぶくれがかさぶたになると、もう伝染することはありません。

危険にさらされていますか?

危険にさらされていますか?

子供の頃に水痘にかかっていないか、水痘ワクチンを受けていない場合、大人になっても水痘にかかるリスクがあります。その他の危険因子には次のものがあります。

  • ワクチン接種を受けていない12歳未満の子供たちと同居している
  • 学校や保育スペースで働く
  • 感染者がいる部屋で15分以上過ごす
  • 水痘や帯状疱疹に感染した人の発疹に触れること
  • 衣類や寝具など、感染者が最近使用したものに触れた場合

以下の場合、病気による合併症を経験するリスクが高くなります。

  • 水痘にかかったことのない妊婦
  • 化学療法など、免疫システムを抑制する薬を受けている人
  • HIVなどの別の病気によって免疫システムが損なわれている人
  • 関節リウマチなどの別の病気でステロイド薬を服用している人
  • 以前の臓器移植または骨髄移植により免疫システムが弱まった人
合併症

合併症

水痘は通常は軽度ですが、不快な病気です。ただし、この状態は重篤な合併症、入院、さらには死につながる可能性があります。合併症には次のようなものがあります。

水痘と妊娠

妊婦が水痘にかかると、妊婦と胎児は次のような重篤な合併症を引き起こすリスクがあります。

  • 肺炎
  • 低出生体重
  • 手足や脳の発達異常などの先天異常
  • 生命を脅かす感染症
成人の水痘治療

成人の水痘治療

水痘に罹患している場合、医師は症状を治療し、病気が治まるのを待ちます。通常、推奨事項には次のものが含まれます。

  • かゆみを和らげるカラミンローションとコロイド状オートミールバス
  • 熱を下げる鎮痛剤

特定の状況では、医師はウイルスと闘い、合併症を防ぐためにアシクロビルやバラシクロビルなどの薬を処方する場合もあります。

水痘ワクチン

水痘の生涯予防に約 94% の効果がある 2 回接種の水痘ワクチン (バリバックス) があります。水痘に罹患したことのない成人は、約1か月の間隔をおいて2回接種を受けます。

以下の場合、医師はこのワクチンの接種を受けないようアドバイスすることがあります。

  • 中等度または重度の病気にかかっています
  • 今後 30 日以内に妊娠する予定がある
  • ゼラチンやネオマイシンなどのワクチンの成分に対してアレルギーがある場合、または以前の水痘ワクチンの投与に対して重篤なアレルギー反応があった場合
  • がんの化学療法または放射線治療を受けている
  • あなたはステロイド薬を服用しています
  • HIVなどの免疫系を損なう病気に罹患している
  • あなたは最近輸血を受けました

水痘ワクチンにリスクはありますか?

医師は、水痘ワクチンに関連するリスクが病気自体に関連するリスクよりもはるかに低いと考える場合、水痘ワクチンを推奨します。

水痘ワクチンの注射後に微熱や軽度の発疹が現れる人もいますが、最も一般的な副作用はワクチン接種部位の発赤、腫れ、痛みです。その他の非常にまれな重篤な副作用には次のものがあります。

水痘と帯状疱疹

水痘と帯状疱疹

水痘に罹患したことがある場合、神経細胞には水痘・帯状疱疹ウイルスがまだ残っています。それは消えることはなく、何年も眠ったままになる可能性があります。現在、水痘ウイルスの再感染に対する免疫はほとんどありませんが、別の病気である帯状疱疹のリスクにさらされています。

帯状疱疹は、体の特定の場所に帯状に形成される水疱状の皮膚発疹を特徴とする痛みを伴うウイルス感染症です。ほとんどの場合、胴体の左側または右側に現れますが、片目の周囲や顔または首の片側に現れることもあります。

帯状疱疹は、高齢者や免疫力が低下している人に発生しやすいです。ゾスタバックスとシングリックスという 2 つの帯状疱疹ワクチンが利用可能であり、多くの医師は水痘に罹患したことがある 50 歳以上の患者にそれらを推奨しています。

見通し

見通し

水痘にかかったことがありますか?水痘ワクチンを受けましたか?これらの質問に答えて、次の推奨事項に従ってください。

  • 水痘または水痘ワクチンの接種歴がある場合は、免疫があり、水痘にかかる心配はほとんどありません。
  • 水痘にかかったことがない場合は、ワクチン接種について医師に相談してください。
  • 水痘に罹患したことがある場合、特に 50 歳以上の場合は、帯状疱疹ワクチンについて医師に相談する必要があります。
  • 水痘にかかっていると思われる場合は、完全な診断と推奨される治療法について医師に相談してください。

参考文献

  1. https://www.vaccines.gov/diseases/chickenpox/index.html

成人の水痘・関連動画

免責事項: 健康百科事典ブログは、すべての情報が事実に基づき、包括的で最新のものであるよう努めています。しかし、この記事は、資格を持つ医療専門家の知識や専門性の代替として使用されるべきではありません。薬を服用する前には、必ず医師または他の医療専門家に相談してください。ここに記載されている情報は変更される可能性があり、すべての可能な用途、指示、注意事項、警告、薬物相互作用、アレルギー反応、副作用を網羅することを意図しているわけではありません。特定の薬物または薬物の組み合わせに関する警告や情報が記載されていない場合でも、その薬物や組み合わせがすべての患者やすべての用途において安全、有効、適切であることを意味するものではありません。