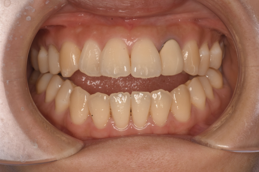
開咬とは何ですか?
ほとんどの人が「開咬」と言うとき、それは前方の開咬を指します。前歯が開いている人は、上と下の前歯が外側に傾斜しているため、口を閉じたときに歯が接触しません。
開咬は不正咬合の一種で、顎を閉じたときに歯が正しく並んでいないことを意味します。

開咬の原因
開咬は主に次の 4 つの要因によって引き起こされます。
- 親指やおしゃぶりをしゃぶる。親指やおしゃぶり(または鉛筆などの異物)を吸うと、歯並びが歪みます。これは開咬を引き起こす可能性があります。
- 舌を突っ込む。開咬は、話したり飲み込んだりして舌を上下の前歯の間に押し込んだときに発生することがあります。これにより、歯の間に隙間ができることもあります。
- 顎関節症(TMDまたはTMJ)。顎関節症は慢性的な顎の痛みを引き起こします。時々、舌を使って歯を押し広げたり、顎の位置を快適に変えたりすることがありますが、これが開咬を引き起こす可能性があります。
- 骨格の問題。これは、顎が互いに平行に成長するのではなく、顎が離れて成長するときに発生し、多くの場合、遺伝の影響を受けます。

開咬治療
多くの治療法が利用可能です。歯科医は、患者の年齢と、大人の歯があるか乳歯があるかに基づいて、具体的な推奨事項を提示します。治療方法には次のようなものがあります。
- 行動の修正
- 矯正器具やインビザラインなどの機械的治療
- 手術
乳歯の大部分がまだ残っている子供に開咬が発生した場合、その原因となる幼少期の行為(親指やおしゃぶりなど)が止まると、自然に解決することがあります。
大人の歯が乳歯に置き換わるが、完全に成長していないために開咬が発生する場合は、行動を修正することが最善の策である可能性があります。これには、舌の突き出しを修正するための治療が含まれる場合があります。
大人の歯が乳歯と同じ開咬パターンに成長している場合、歯科矯正医は歯を引き戻すためのカスタムブレースの取得を推奨する場合があります。
大人の歯が完全に生えている人の場合、 歯列矯正と行動修正の組み合わせが提案されることがよくあります。重篤な場合には、プレートとネジを使用して上顎の位置を再調整する顎手術が推奨される場合があります。
他の治療法には、舌が前歯に押し付けられるのを制限するローラー器具の使用や、顎を正しい位置に揃えて成長させるために力を加えるヘッドギアの使用などが含まれます。
なぜ開咬を治療するのですか?
開咬の副作用は、審美的な問題から歯の骨折まで多岐にわたります。
- 美学。開咬の人は、歯が突き出ているように見えるため、歯の外観に不満を抱いている可能性があります。
- スピーチ。開咬は会話や発音に支障をきたす可能性があります。たとえば、開咬の人の多くは舌足らずになります。
- 食べること。オープンバイトになると、食べ物を適切に噛んだり咀嚼したりすることができなくなります。
- 歯の磨耗。奥歯が噛み合う回数が増えると、摩耗により不快感や、歯の破折などのその他の歯の問題が発生する可能性があります。
開咬によってこれらの副作用が発生した場合は、歯科医師または歯科矯正医に予約を取り、治療の選択肢について相談してください。

見通し
開咬はどの年齢でも治療可能ですが、大人の歯が完全に生えていない場合の方が治療がはるかに簡単で痛みも少なくなります。
開咬のある子供は、乳歯がいくつか残っている7歳くらいで歯科評価を受ける必要があります。この年齢は、子供たちが成長するにつれて開咬を避けるために、行動修正を含む特定の手順を開始するのに適した年齢です。
大人の場合、開咬に対処するのはさらに複雑です。行動療法と機械的治療(矯正器具など)の組み合わせが必要な場合や、顎の手術が必要になる場合もあります。
オープンバイト・関連動画
免責事項: 健康百科事典ブログは、すべての情報が事実に基づき、包括的で最新のものであるよう努めています。しかし、この記事は、資格を持つ医療専門家の知識や専門性の代替として使用されるべきではありません。薬を服用する前には、必ず医師または他の医療専門家に相談してください。ここに記載されている情報は変更される可能性があり、すべての可能な用途、指示、注意事項、警告、薬物相互作用、アレルギー反応、副作用を網羅することを意図しているわけではありません。特定の薬物または薬物の組み合わせに関する警告や情報が記載されていない場合でも、その薬物や組み合わせがすべての患者やすべての用途において安全、有効、適切であることを意味するものではありません。
