これは一般的なことでしょうか?
骨化性筋炎(MO)は、骨または骨に似た組織が本来成長すべき場所ではない場合に発生します。最も一般的には、サッカーの試合中や車や自転車の事故後などに大腿部に強打を受けた場合など、怪我の後に筋肉に発生します。
約 80% の確率で、これらの骨の成長は太ももまたは上腕の筋肉に発生します。

何が原因で、誰が危険にさらされているのでしょうか?
MO は通常、ラグビーでの膝から大腿への衝撃や、自転車事故での地面への激しい着地など、筋肉への直接的な外傷によって引き起こされます。大きな打撲傷 (打撲傷) が発生し、傷害部位に血液の塊ができた場合 (血腫)、傷害部位で骨が成長することがあります。この担当者は、
軽度の外傷(乗馬者の太ももの内側に時々見られる)の繰り返しも、MO を引き起こす可能性があります。骨折や手術、特に股関節置換術も原因として考えられます。
上腕と大腿部の大きな筋肉が最も一般的に影響を受けますが、MO は脂肪や腱、靱帯、筋膜などの結合組織でも発生する可能性があります。
通常、スポーツ傷害や事故によって MO が開始されます。 20代の青年および若年成人がMOを発症する可能性が最も高くなります。 10歳以下の子供がこの状態になることはまれです。対麻痺のある人も MO になりやすいですが、通常は外傷の証拠はありません。

どのような症状がありますか?
ほとんどの打撲傷、打撲傷、血腫は、 RICE 療法 (安静、冷却、圧迫、挙上) を行うことにより、数日または数週間後に良くなり始めます。
しかし、MO では、最初の損傷から 1 ~ 2 週間以内に痛みが増し、影響を受けた脚や腕の可動域が悪化します。
損傷部位は腫れ、触れると温かくまたは熱く感じます。筋肉にしこりを感じることがあります。痛みや圧痛は重篤になる場合がありますが、損傷した筋肉に限定されます。その手足の動きが制限されます。発熱する可能性は低いです。

どのように診断されるのでしょうか?
RICE 療法を 10 ~ 14 日間行っても怪我の状態が良くならない場合、医師は MO を疑う可能性があります。
診断を下すために、医師は患部を検査し、次のことについて質問します。
- どのように傷つけたのか
- 怪我はどれくらい前に起こりましたか
- どのように世話をしましたか
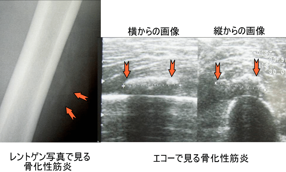
最初の損傷から 2 ~ 4 週間以内に、新しい骨の成長がX 線で確認できます。これは医師が最終診断を下すのに役立ちます。
骨組織が本来あるべきでない場所で成長することを特徴とする他の疾患には、線維異形成(筋炎)、進行性骨化性骨化症、および骨格外骨肉腫などがあります。
進行性骨化性線維異形成症は、10 歳未満の小児に見られる稀な遺伝性疾患です。骨格外骨肉腫は、40 歳未満の人々にはめったに見られない稀な癌性腫瘍です。

どのような治療法がありますか?
最初の 2 週間で怪我を適切に治療することで、MO を予防できる可能性があります。わずかな圧迫、アイシング、挙上によって影響を受けた筋肉を固定することで炎症を軽減できます。
打撲傷や挫傷は、最初の数週間はさらなる外傷を受けやすくなります。激しい運動やマッサージ、無理なストレッチなどは避けてください。
MO がすでに診断されている場合、治療は最初に傷害が発生した直後と同様になります。症状や骨塊のサイズは時間の経過とともに縮小するため、理学療法は一般的に保守的です。
家庭療法
自宅でできることには次のようなものがあります。
- 休息:ただ横になる必要はありませんが、筋肉に過度のストレスを与えないでください。
- アイス:一度に15〜20分間塗布してください。
- 圧迫:腫れを最小限に抑え、患部を安定させるために、弾性包帯を傷の周りにしっかりと巻きます。
- 挙上:負傷した手足を心臓の高さより高く上げて、その領域から余分な体液を排出します。
- 痛みを伴わないストレッチと強化:影響を受けた筋肉を優しくストレッチし、医師が大丈夫と言ったら強化運動を開始します。痛みを伴うような動きは行わないでください。
薬と矯正器具
痛みや腫れを軽減するために、イブプロフェン(Advil) やナプロキセン(Aleve) などの非ステロイド性抗炎症薬を服用できます。バイオフリーズやタイガーバームなどの局所治療も痛みを和らげるのに役立ちます。
痛みや動きが治まってスポーツに戻れるようになったら、さらなるダメージを防ぐために、損傷した筋肉にパッドやその他の保護具を着用してください。
理学療法と手術
理学療法士は次の方法を使用して、痛みを軽減し、可動性を高め、あなたを再び競技場に立たせることができます。
- 受動的な可動域と可動性:これは、人または機械があなたの体の一部を動かします。
- アクティブな可動域と可動性:これは、自分の力を使って体の各部分を動かすときです。
- 超音波療法:音波は、治癒を早めるために深く加熱することができます。
- 体外衝撃波療法 (ESWT):高エネルギー音波 (衝撃波)
機械的な力を送る 損傷した筋肉に損傷を与え、より早く回復するのに役立ちます。
保存的治療で痛みが軽減せず、可動域が回復しない場合は、医師とともに手術を検討することがあります。手術は、骨塊の発達が停止した後に行われます。骨量を除去すると MO が治癒します。

見通し
非外科的治療で硬さと圧痛を改善
以下の値を増やすために、理学療法士または医師の指示に従うことが重要です。
- 活動レベル
- 可動域練習
- ストレッチ
- 強化
あまりにも早くやりすぎると、MOが悪化する可能性があります。しかし、医師が安全だと言いながら可動域を回復しようとしないと、痛みやコリが長引く可能性があります。
小さな骨化(骨の塊)は、長期的な影響を与えることなく解決する場合があります。腫瘤が大きくなると、最終的には手術が必要になる場合があります。しかし、骨量は一度除去されると、再度その筋肉を傷つけない限り元に戻る可能性は低いです。
参考文献
- http://www.bonetumor.org/unknown-tumor-soft-tissue/myositis-ossificans
- https://radiopaedia.org/articles/extra-skeletal-osteosarcoma-1
- https://radiopaedia.org/articles/myositis-ossificans-1
- https://www.ncbi.nlm.nih.gov/pmc/articles/PMC3222699/
- http://path.upmc.edu/cases/case72/dx.html
骨化性筋炎とは何ですか?どのように治療されますか?・関連動画
免責事項: 健康百科事典ブログは、すべての情報が事実に基づき、包括的で最新のものであるよう努めています。しかし、この記事は、資格を持つ医療専門家の知識や専門性の代替として使用されるべきではありません。薬を服用する前には、必ず医師または他の医療専門家に相談してください。ここに記載されている情報は変更される可能性があり、すべての可能な用途、指示、注意事項、警告、薬物相互作用、アレルギー反応、副作用を網羅することを意図しているわけではありません。特定の薬物または薬物の組み合わせに関する警告や情報が記載されていない場合でも、その薬物や組み合わせがすべての患者やすべての用途において安全、有効、適切であることを意味するものではありません。
