膝滑液包炎の治療と原因

Written by

in

Pinterest で共有する
m-グッチ/ゲッティイメージズ

膝が腫れて痛みがあり、触ると圧痛がある場合は、膝滑液包炎がある可能性があります。

膝滑液包炎は、 非常に一般的なそれでも、多くの成人は膝滑液包炎の見分け方、治療方法、必要な場合にいつ医療介入を受けるべきかを知りません。

この記事では、膝滑液包炎とは何か、その予防方法、およびこの状態に陥っている可能性がある場合の対処法について説明します。

膝滑液包炎の治療

膝滑液包炎の治療

滑液包炎の急性症例のほとんどは、適切な休息と回復があれば時間とともに治癒します。

したがって、膝滑液包炎の症状に気付いた場合は、膝関節を刺激する身体活動を中止し、症状が改善するまで待って日常生活を再開してください。

膝滑液包炎の症状の管理には、通常、氷、休息、イブプロフェンなどの非ステロイド性抗炎症薬 (NSAID) が含まれます。

場合によっては、医療チームが滑液包の吸引をアドバイスすることがあります。 2020年の調査と示唆する。吸引では、医療専門家が滑液包内の液体の一部を除去します。

これにより、医師は液体を検査して敗血症(感染症)ではないことを確認することができます。液体が敗血症であることが判明した場合、抗生物質も処方される可能性があります。

膝滑液包炎が慢性化、または長期にわたる場合、医師は上記のより保守的な治療法に加えて、コルチコステロイド注射を提案することがあります。

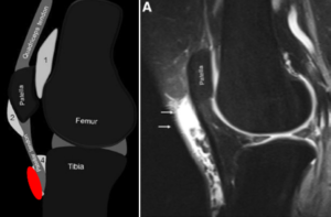
膝滑液包炎とは何ですか?

膝滑液包炎とは何ですか?

膝滑液包炎とは、膝の腫れや炎症のことです。 滑液包、皮膚と腱、または腱と骨の間に位置する液体で満たされた小さな嚢。

「Bursae」とはラテン語でバッグを意味します。これらのバッグは小さな枕のように機能し、体のさまざまな関節の衝撃を和らげます。滑液包炎はこれらの嚢が炎症を起こすと発症します。 2018年調査と説明します。関節の周囲に体液が溜まる場合があり、これを滲出液といいます。

膝の場合、滑液包は、膝を硬い面に置いたときに膝を保護するのに役立ちます。これは、軟組織と骨の間の摩擦を軽減するのに役立ちます。

あなたの体には百以上の滑液包があります。繰り返しの使用または直接の打撃により、これらの嚢に過剰な圧力がかかると、滑液包が炎症を起こし、腫れる可能性があります。

膝滑液包炎の症状

膝滑液包炎の症状

膝滑液包炎の症状には、膝を触ったときの膝の周囲の痛み、関節周囲の目に見える腫れ、またはその周囲を触って感じられる腫れが含まれます。

膝の周りに圧痛、発赤、または熱感が現れることがあります。

化膿性滑液包炎の場合は、発熱や悪寒が起こることもあります。

膝滑液包炎の原因は何ですか?

膝滑液包炎の原因は何ですか?

関節への頻繁かつ持続的な圧力は、 最も一般的な滑液包炎の原因。毎年 10,000 人に 1 人膝や肘に発症する人もいます。

膝滑液包炎のほとんどのケースは、活動中の過度の膝立ちによって発生します。膝滑液包炎の俗名は、メイドが仕事中に長時間膝の上で過ごすため、メイドの膝と呼ばれています。

今日に至るまで、大工、タイル施工業者、屋根職人、庭師など、特定の職業に就いている人々は膝滑液包炎を経験する可能性が高くなります。長時間コンピューターの前に座っていると、滑液包炎のリスクが高まる可能性もあります。 2018年調査と示唆する。

滑液包炎のその他の原因には次のようなものがあります。

  • 膝への直接打撃
  • 細菌感染症
  • 関節炎または痛風の合併症
膝滑液包炎の予防

膝滑液包炎の予防

膝滑液包炎を予防するための一般的なアプローチには、膝パッドを着用すること、頻繁に膝を立てる必要がある仕事から休憩をとることが含まれます。 2018年調査アドバイスします。

医療専門家は理学療法や可動域訓練を推奨することもあります。 2022年調査と示唆する。滑液包周囲の筋肉を強化すると、多くの場合、膝のサポートに役立ちます。

保存的治療で滑液包炎が改善しない場合、あなたと医師は手術が選択肢であると判断するかもしれません。ただし、手術は通常、最終手段の治療法です。

膝滑液包炎に関するよくある質問

膝滑液包炎に関するよくある質問

膝滑液包炎でも歩けますか?

歩くことは可能ですが、急性膝滑液包炎の場合は、症状が軽減するまで過度の動きを避けたほうがよいでしょう。

膝滑液包炎が再発する原因は何ですか?

再燃は、膝への繰り返しの圧迫、膝への直接的な打撃、細菌感染、痛風や関節リウマチなどの基礎的な炎症状態によって発生する可能性があります。

膝滑液包炎ってどんな感じですか?

ほとんどの人は、安静時に膝関節とその周囲に痛みを感じますが、動いているときにはさらに痛みを感じます。また、患部に熱感や圧痛を感じることもあり、細菌感染がある場合は発熱することがあります。

膝滑液包炎は治ることはありますか?

によると、滑液包炎のほとんどの患者の見通しは良好です。 2022年調査

十分な休息をとれば、滑液包炎は数週間で治ります。再発を繰り返して治らない場合は、医師の治療を受けてください。

結論

結論

膝滑液包炎は、膝関節の腱、皮膚、骨の間の滑液包の炎症です。

膝の周囲に腫れ、痛み、または発赤があり、膝に負担がかかるアクティビティに参加している場合は、できるだけ膝を休ませる必要があります。滑液包炎が治まるまでは、膝を刺激するような活動を続けないでください。

膝の上で何時間も過ごす必要がある仕事に就いている場合は、関節の過度の腫れを避けるために、頻繁に休憩を取るようにしてください。立ち上がってストレッチをし、膝パッドを着用してください。

滑液包炎を引き起こす可能性のある慢性的な健康状態がある場合は、症状の管理に注意し、必要に応じて医師の介入を求めてください。

膝滑液包炎は決して楽しいものではありませんが、回復可能な症状であり、通常は永久的な損傷を引き起こすものではありませんので、ご安心ください。

参考文献

  1. https://www.ncbi.nlm.nih.gov/books/NBK513340/
  2. https://www.ncbi.nlm.nih.gov/books/NBK525773/
  3. https://www.ncbi.nlm.nih.gov/pmc/articles/PMC3354353/
  4. https://www.ncbi.nlm.nih.gov/pmc/articles/PMC7549991/
  5. https://www.ncbi.nlm.nih.gov/books/NBK557508/#article-27676.r10
  6. https://www.ncbi.nlm.nih.gov/books/NBK557508/

膝滑液包炎の治療と原因・関連動画

免責事項: 健康百科事典ブログは、すべての情報が事実に基づき、包括的で最新のものであるよう努めています。しかし、この記事は、資格を持つ医療専門家の知識や専門性の代替として使用されるべきではありません。薬を服用する前には、必ず医師または他の医療専門家に相談してください。ここに記載されている情報は変更される可能性があり、すべての可能な用途、指示、注意事項、警告、薬物相互作用、アレルギー反応、副作用を網羅することを意図しているわけではありません。特定の薬物または薬物の組み合わせに関する警告や情報が記載されていない場合でも、その薬物や組み合わせがすべての患者やすべての用途において安全、有効、適切であることを意味するものではありません。