胸膜中皮腫は、肺、心臓、腹部の周囲の保護膜である中皮に影響を及ぼすがんの最も一般的な形態です。まれではありますが、このがんは急速に進行する可能性があるため、症状と危険因子を認識しておくことが重要です。
この記事では、このがんの症状と危険因子、さらに診断、病期分類、治療方法について探ります。

胸膜中皮腫とは何ですか?
胸膜中皮腫は、主に職場でのアスベスト暴露によって引き起こされるまれなタイプの肺がんです。それは
米国では毎年約3,000件未満の中皮腫の新たな症例が報告されていますが、アスベスト曝露の減少により、新規患者の総数は過去20年間で減少しています。
しかし、新規症例数は減少しているにもかかわらず、胸膜中皮腫は進行性の癌であり、迅速な診断と治療が必要です。このタイプの中皮腫に関連する一般的な危険因子と症状については、以下を読んで学び、重要な次のステップについて医師と相談できるようにしてください。

胸膜中皮腫の症状は何ですか?
胸膜中皮腫の症状は、アスベストに曝露されてから 30 ~ 50 年間は現れない可能性があります。
胸膜中皮腫は、初期段階では何の症状も引き起こさないことがあります。ただし、さらに進むと、次のようなことが起こる可能性があります。
上記の症状がある場合、特にアスベストへの曝露があることがわかっている場合は、すぐに医師に連絡してください。これは進行性のがんであり、迅速な診断と治療が必要です。原因不明の肺炎が頻繁に起こる場合も医師の診察が必要です。

胸膜中皮腫のリスクがあるのは誰ですか?
正確な原因は不明ですが、過去のアスベスト曝露、特に職場でのアスベスト曝露は依然として胸膜中皮腫の最も一般的な危険因子です。
実際、米国肺協会によると、中皮腫と診断された人の 10 人中約 8 人にアスベスト暴露歴がありました。
アスベスト繊維を吸い込むと、最終的には肺の胸膜に侵入する可能性があります。時間が経つと刺激や炎症が起こり、癌細胞の発生につながる可能性があります。
アブセストとは何ですか?
アスベストは、耐火性や耐熱性があるため、建物の断熱材として使用されています。アスベストは現在禁止されていますが、1970 年代以前に建設された住宅やその他の建物には広く使用されていました。
アスベストが使用されている建物に住んでいる、またはそこで働いている場合、アスベストにさらされるリスクがある可能性があります。古い建物で行われている特定の職業や、1970 年代以前にアスベストを扱っていた職業も、中皮腫のリスクを高める可能性があります。
これらには次のものが含まれます。
- 絶縁体
- 建設労働者
- 電気技師
- 鉱夫
- 製粉業者
- パイプフィッター
- 配管工
- 消防士
もう 1 つの重要な危険因子は、アスベストへの曝露期間と量です。長期間にわたって大量の物質に曝露した場合、ほとんど曝露しなかった人よりも胸膜中皮腫を発症するリスクが高くなる可能性があります。
胸膜中皮腫のその他の危険因子には次のものがあります。
- 遺伝的遺伝子変異(中皮腫と診断された人の約1パーセントに発生)
- 高齢、
72年 平均発症年齢です - 子供の頃に放射線治療を受けている

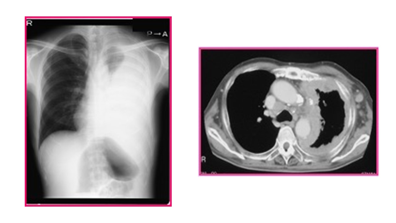
胸膜中皮腫はどのように診断されますか?
- 肺の胸膜肥厚
- 胸膜プラークと呼ばれるカルシウム沈着
- 胸水を示す可能性のある体液の蓄積
医師が胸膜中皮腫の疑いがある場合、組織サンプルを採取するために生検とともにさらなる画像検査を実施する場合があります。生検は、がんの種類を特定するための評価のために研究室に送られます。がんが転移している場合は、体の他の領域でも生検が必要になる場合があります。
がんは細胞の外観にも基づいて分類されます。
- 類上皮がん細胞
50パーセント以上 すべての中皮腫の中で最も優れた見通しを持っています - 線維性(肉腫様)細胞
- 類上皮細胞と肉腫様細胞の組み合わせ (二相/混合)
全体的に、胸膜中皮腫の病期は次のようになります。
| ステージ番号 | 説明 |
| IA | がんは胸膜に局在していますが、横隔膜に転移している場合もあれば、転移していない場合もあります。リンパ節には転移していません。 |
| IB | 胸膜中皮腫は胸壁だけでなく横隔膜にも広がっています。リンパ節は影響を受けません。 |
| Ⅱ | がんはより局所的になり、横隔膜、胸壁、肺に広がっています。体の片側のリンパ節に転移することもあります。 |
| IIIA | 中皮腫は脂肪組織やより深い胸壁層に広がり始める可能性がありますが、この段階でも外科的に切除できる場合があります。 |
| ⅢB | がんが他の臓器、血管、さらに深部組織に転移しているため、現段階では手術はもはや実行可能な治療選択肢ではありません。医師は代わりに他の治療法に重点を置きます。しかし、胸膜中皮腫は体の他の離れた部分には広がっていないため、現段階ではまだより局所的なものであると考えられています。 |
| Ⅳ | がんはリンパ節、肝臓などの離れた臓器、骨、または腹部に転移することがあります。 |

胸膜中皮腫はどのように治療されますか?
胸膜中皮腫の治療には、次の選択肢が 1 つ以上含まれます。
浸出液は約に影響を与えます
胸痛や息切れなどの関連症状に対処するために、胸腔穿刺を繰り返すこともあります。処置中、医師は細針吸引と超音波によって体液を除去します。

胸膜中皮腫の見通しはどうなりますか?
米国癌協会によると、全体的な
| 診断時の部位と段階 | 5年後の生存率 |
| 局所的(ステージ IA および IB) | 18パーセント |
| 地域(ステージ II、IIIA、および IIIB) | 12パーセント |
| 遠くにあり、体の他の領域に広がっている(ステージ IV) | 7パーセント |
がんの位置以外にも多くの要因が全体的な予後に影響を与える可能性があります。これには、年齢、全体的な健康状態、治療の進歩などが含まれます。診断時のがんのステージによっても違いが生じます。
あなたの個々のケースと見通しについて医師に相談するのが最善です。胸膜中皮腫は歴史的に悪性度が高いものの、現在のデータはこのがんの治療法の改善を反映していません。

取り除く
胸膜中皮腫は、肺の内層で発生するがんの一種です。まれではありますが、このがんは進行が速く、症状が現れる前に進行した段階にある場合があります。アスベストへの曝露は依然として中皮腫発症の最大の危険因子です。
このがんは攻撃性が高いため、胸膜中皮腫の症状がないか診断を受けるために医師の診察を受けることが重要です。これは、建設業や鉱業など、アスベストへの曝露が蔓延していた業界で以前に働いていた場合に特に当てはまります。
胸膜中皮腫の治療法は進歩し続けており、このがんの初期段階では手術が選択肢になる可能性もあります。あなたの見通しと生活の質にとって最善の決定ができるよう、すべての選択肢について医師に相談してください。
参考文献
- https://www.lung.org/lung-health-diseases/lung-disease-lookup/mesothelioma/learn-about-mesothelioma
- https://www.cancer.org/cancer/malignant-mesothelioma/about/key-statistics.html
- https://www.cancer.org/cancer/malignant-mesothelioma/about/malignant-mesothelioma.html
- https://secure.ssa.gov/poms.nsf/lnx/0423022275
- https://www.cancer.gov/types/mesothelioma/hp/mesothelioma-treatment-pdq
- https://www.cancer.org/cancer/malignant-mesothelioma/detection-diagnosis-staging/survival-statistics.html
胸膜中皮腫とは何ですか?・関連動画
免責事項: 健康百科事典ブログは、すべての情報が事実に基づき、包括的で最新のものであるよう努めています。しかし、この記事は、資格を持つ医療専門家の知識や専門性の代替として使用されるべきではありません。薬を服用する前には、必ず医師または他の医療専門家に相談してください。ここに記載されている情報は変更される可能性があり、すべての可能な用途、指示、注意事項、警告、薬物相互作用、アレルギー反応、副作用を網羅することを意図しているわけではありません。特定の薬物または薬物の組み合わせに関する警告や情報が記載されていない場合でも、その薬物や組み合わせがすべての患者やすべての用途において安全、有効、適切であることを意味するものではありません。
