あなたの肩は最も「
関節炎(基本的には関節痛や関節疾患を総称する用語)が肩に影響を与えると、肩関節の痛みや可動域の制限などの症状が生じることがあります。米国整形外科医学会 (AAOS) によると、肩関節炎には 5 つの異なる形態がある可能性があります。
肩に影響を及ぼす関節炎の種類の症状の概要については、読み続けてください。

関節リウマチ
肩関節炎の一般的な形態の 1 つは、関節リウマチ (RA)と呼ばれる自己免疫疾患です。関節リウマチは通常体の両側に影響を与えるため、片方の肩が影響を受けると、もう一方の肩も影響を受ける可能性が高くなります。次のようなことも経験するかもしれません。
- 関節の圧痛、暖かさ、腫れ
- 特に朝に肩が凝る感じがする
- リウマチ結節、肘、指の関節、肩関節などの圧迫面の皮下に形成される隆起です。
- 疲労、体重減少、または発熱
関節リウマチは関節内膜の腫れを引き起こし、関節の硬直と痛みを引き起こします。治療せずに放置すると、時間の経過とともに肩の骨のびらんや肩関節の変形を引き起こす可能性があります。

変形性関節症
変形性関節症 (OA)は関節炎の最も一般的な形態であり、骨が結合して関節を形成する骨の端での軟骨の破壊によって引き起こされます。これらの骨の端が擦れ合うと、軟骨の減少により硬直、痛み、関節の可動性の喪失が引き起こされます。
OA は肩だけでなく、膝、手、腰などの他の関節にも影響を与える可能性があります。 AAOS によると、50 歳以上の人は OA を発症する可能性が高くなります。
肩 OA に関しては、通常、活動によって痛みが増加します。
治療せずに放置すると、時間の経過とともに病気が徐々に悪化し、筋力低下、関節の不安定性、動きの喪失を引き起こす可能性があります。

外傷後関節炎
肩を骨折または脱臼すると、外傷後関節炎 (PA) と呼ばれる一種の変形性関節症が発症する可能性があります。通常、体は外傷後の関節炎から自然に回復しますが、症状が 6 か月以上続くと慢性化する可能性があります。
PA を治療せずに放置すると、影響を受けた骨が硬化し、形状が変化し、でこぼこになる可能性があります。

無血管壊死
ほとんどの場合股関節に影響を与える無血管性壊死(骨壊死としても知られています)は、どの骨でも発生する可能性があります。この状態は、骨への血液供給が中断され、骨細胞が死滅するときに発生します。時間の経過とともに、骨は徐々に崩壊し、それを覆う軟骨を損傷し、関節炎を引き起こします。
無血管壊死は、上腕骨頭(上腕の長骨)への血液供給を妨げることにより、肩関節炎を引き起こす可能性があります。
無血管壊死の原因は、ステロイドの大量使用からアルコールの過剰摂取、その部位の外傷、鎌状赤血球症までさまざまです。場合によっては、原因が不明である場合もあります。このタイプの無血管壊死は、特発性無血管壊死として知られています。
この状態を治療せずに放置すると、軽度の骨損傷と痛みから、外科的介入が必要となる重度の骨損傷と痛みに徐々に進行する可能性があります。

腱板断裂関節症
腱板は、一連の腱と筋肉を介して肩甲骨を腕の上部に接続します。腱板の損傷は一般的であり、腱板断裂関節症と呼ばれる一種の肩関節炎を引き起こす可能性があります。
腱板が断裂すると、肩の関節の圧力、動き、安定性が失われます。腱板が治癒できない場合、または断裂が大きすぎる場合、これらの損傷により軟骨や骨に損傷が生じ、腱板断裂関節症が引き起こされます。
この特定のタイプの肩関節炎は、治療せずに放置すると激しい痛みや衰弱を引き起こす可能性があり、これに対処している人は腕を頭の上に上げることが非常に困難になります。

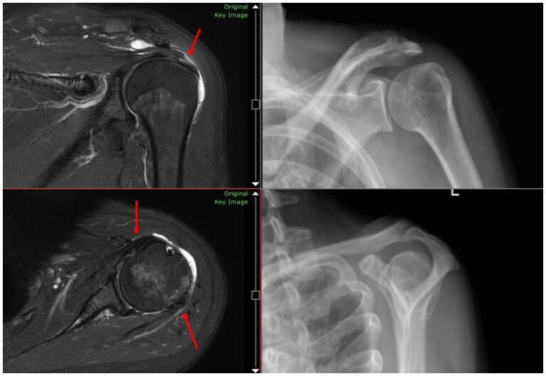
肩関節炎の診断方法
肩関節炎の最初の兆候は全身領域の痛みですが、痛みの種類や時期はさまざまです。たとえば、肩関節に深い痛みを感じる人もいれば、首の横あたりに放散痛を感じる人もいます。
可動範囲の制限は、肩関節炎の悪化のもう一つの症状です。
肩の部分に大きな怪我をしたことがある場合、または凝りや痛みが治まらない場合は、最初のステップは医師に相談することです。おそらく、患部の筋力の低下、圧痛、可動範囲、関節を動かしたときの内部の「ゴロゴロとした感覚」をチェックすることになるでしょう。
次のステップはおそらく肩のX 線検査で構成され、医師または専門家が骨を調べて変化が起こっているかどうかを確認できます。
最後に、医師は痛みが広がっていると思われる関節に局所麻酔薬を注射することがあります。痛みが一時的に軽減される場合は、関節炎と診断される可能性があります。

手術とその他の治療
肩関節炎は治療可能です。あなたの特定の状態に最適な治療法について医師に相談してください。診断、症状、病気の進行状況に応じて、医師は次のことを推奨する場合があります。
- 肩の可動域を改善するための理学療法演習
- 温熱療法または冷熱療法。1 日数回、一度に 20 ~ 30 分間患部を冷やすか温めることから構成されます。
- 関節炎の炎症や症状を悪化させることがわかっている砂糖や飽和脂肪やトランス脂肪(可能な場合はソーダや加工食品など)を減らし、栄養豊富な食事を維持する
- 炎症や痛みを軽減するのに役立つアスピリンやイブプロフェンなどの非ステロイド性抗炎症薬 (NSAID)
- メトトレキサートなどの疾患修飾薬、特に関節リウマチの場合
- 炎症や痛みを短期的に軽減するために、コルチゾンなどのコルチコステロイドを肩に直接注射します。
医師が肩関節炎の手術を推奨した場合、利用できる外科的介入が数多くあります。症状に応じて、次のような治療法が行われます。
- 関節鏡検査。軽度の関節炎は関節鏡手術で治療できる場合があります。これには、外科医が小さな切開を行い、関節を「洗浄」することで関節の痛みを軽減することが含まれます。小さなカメラが関節に挿入され、このカメラが外科医をガイドします。
- 関節置換手術。関節形成術とも呼ばれる肩の関節置換術では、関節炎によって損傷した肩の部分を人工の人工関節で置き換えます。
- 切除関節形成術。他の再建オプションが不可能な場合、医師はこの処置を推奨する場合があります。上腕骨頭、または以前に挿入された補綴インプラントが除去されますが、これは通常、感染症または以前の手術の失敗が原因です。

肩関節炎とともに生きる
肩関節炎に伴う痛みやこわばりは時間の経過とともに悪化する可能性があるため、症状を無視しないことが重要です。医師に連絡して適切な診断を受けることが、症状を軽減し、生活の質を取り戻すための第一歩です。
肩関節炎の診断は最初は複雑に感じるかもしれませんが、より自然なアプローチから医学的介入まで、症状を緩和する方法はたくさんあります。
参考文献
- http://orthoinfo.aaos.org/topic.cfm?topic=A00222
- https://www.ncbi.nlm.nih.gov/books/NBK536933/
肩関節炎の 5 つのタイプ・関連動画
免責事項: 健康百科事典ブログは、すべての情報が事実に基づき、包括的で最新のものであるよう努めています。しかし、この記事は、資格を持つ医療専門家の知識や専門性の代替として使用されるべきではありません。薬を服用する前には、必ず医師または他の医療専門家に相談してください。ここに記載されている情報は変更される可能性があり、すべての可能な用途、指示、注意事項、警告、薬物相互作用、アレルギー反応、副作用を網羅することを意図しているわけではありません。特定の薬物または薬物の組み合わせに関する警告や情報が記載されていない場合でも、その薬物や組み合わせがすべての患者やすべての用途において安全、有効、適切であることを意味するものではありません。
