多形性腺腫由来癌 (CXPA) とは何ですか?

Written by

in

多形性腺腫由来癌 (CXPA) は、まれなタイプの唾液腺癌です。手術と放射線療法が最も一般的な治療選択肢です。

CXPAは、多形腺腫と呼ばれる非癌性腫瘍から発生します。多形性腺腫は最も一般的なタイプの唾液腺腫瘍です。これらの腫瘍のうち CXPA になるのはほんのわずかです。

多形性腺腫は、耳下腺で最もよく発生します。耳下腺は、耳の前後にある 2 つの大きな唾液腺です。それほど一般的ではありませんが、CXPA は舌や顎の下などの他の唾液腺でも発生します。

この記事では、典型的な症状、治療の選択肢、見通しなど、CXPA について詳しく調べます。

CXPA はどのくらい一般的ですか?

多形性腺腫は約 2~3.5年間10万人あたりの人数。 CXPAの発生率は年間100万人あたり約0.17人です。

CXPAは唾液腺がんの約12%、唾液腺腫瘍の4%を占めると考えられています。また、耳下腺がんの約5~25%を占めるとも報告されています。

多形性腺腫からCXPAへの癌化のリスクは約 9.5% 15年後。

多形性腺腫からの癌腫の症状は何ですか?

多形性腺腫からの癌腫の症状は何ですか?

CXPA の初期段階では、目立った症状がない場合があります。多形性腺腫の最も一般的な症状は次のとおりです。 無痛の塊顔の横に。 CXPA の最初の顕著な兆候は、多くの場合、既存の多形性腺腫のしこりが大きくなったしこりです。

CXPA の症例の約 3 分の 2 は、耳の前と下にある耳下腺で発生します。

腫瘍が大きくなり周囲の構造を圧迫し始めると、痛みや不快感が生じることがあります。

唾液がんのその他の一般的な兆候には次のものがあります。

多形性腺腫からの癌腫はどれくらい進行性ですか?

CXPA は攻撃性が高い傾向があり、速やかに治療しないと離れた身体部分に広がる可能性があります。低級品種と高級品種があります。高グレードの CXPA は通常、肺やリンパ節などの離れた組織に急速に広がります。

2023年のレビューで、研究者らはある病院でCXPAと診断された人々のグループの特徴を調べた。彼らは、診断時に次の段階の内訳を報告しました。

ステージ人数
ステージ0 6
ステージ1 12
ステージ2 9
ステージ3 6
ステージ4 7

同じ研究で、研究者らは文献レビューを実施し、62の論文からCXPAの確定症例3,262例の特徴を調べた。研究者らは、がんが転移する最も一般的な部位として次のことを報告しました。

位置番号
リンパ節355
73
脳/CNS 9
9
肝臓4
元多形腺腫癌の原因は何ですか?誰がリスクにさらされていますか?

元多形腺腫癌の原因は何ですか?誰がリスクにさらされていますか?

CXPA はまれであり、ほとんど理解されていませんが、多形性腺腫と呼ばれる良性腫瘍から発生します。多形性腺腫は以下から構成されていると考えられています 45%~75%唾液腺腫瘍のこと。このうち CXPA になるのはほんのわずかです。

長期にわたる遺伝的不安定性がCXPAへの癌性変化を引き起こす可能性があると考えられています。 CXPAを発症する人のほとんどは50代または60代です。若い成人では稀なようです。

前述の 3,262 人を対象としたレビューでは、研究者らは女性よりも男性の症例が約 50% 多いと報告しました。

医師は多形腺腫からの癌をどのように診断しますか?

医師は多形腺腫からの癌をどのように診断しますか?

唾液腺の 1 つにしこりがある場合、医師は唾液腺がんを疑う可能性があります。医師が行う可能性のある初期検査には次のようなものがあります。

  • 唾液腺の周りの腫れを調べる身体検査
  • あなた自身と家族の病歴の見直し
  • 自分の症状の見直し

追加のテストを受ける可能性があるのは次のとおりです。

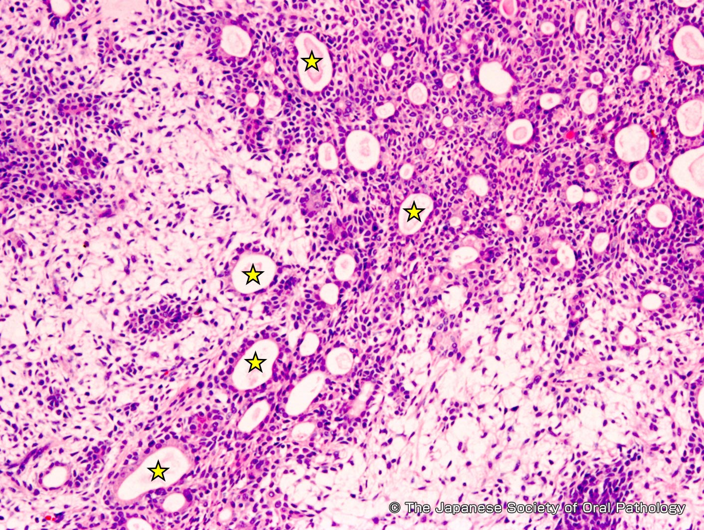
CXPAを他の種類の唾液腫瘍と区別するには、細針吸引が必要です。組織サンプルは研究室に送られ、医師は細胞の種類と特定の遺伝子マーカーを調べることができます。

多形腺腫からの癌腫の治療選択肢は何ですか?

多形腺腫からの癌腫の治療選択肢は何ですか?

CXPA の主な治療法は手術であり、他の組織に転移するリスクが高いと考えられる場合は放射線療法が続きます。

現時点では、化学療法がさらなる利益をもたらすかどうかはまだ不明ですが、生存期間の延長や症状の軽減を目的として、進行がん患者に対して化学療法が行われる可能性があります。

手術には、耳下腺の一部または全体の切除 (耳下腺切除術) と、周囲の組織の除去が含まれる場合があります。顔の形と機能を維持するために再建手術が必要になる場合があります。

多形腺腫から癌腫になった人の今後の見通しはどうなりますか?

多形腺腫から癌腫になった人の今後の見通しはどうなりますか?

CXPA の見通しは、低グレードのバリアントを所有しているか、高グレードのバリアントを所有しているかによって大きく異なります。攻撃性の低い変異型であれば、多くの場合治癒可能であり、すぐに治療が開始されます。

研究では、高悪性度の CXPA では 5 年生存率が 25% ~ 65% と低く、低悪性度の CXPA では最大 100% であることが報告されています。

唾液腺がんのステージ別生存率

一般に、唾液腺がんに罹患した人は、早期に発見された場合、生存の可能性が高くなります。ここで見てみましょう 5年相対生存率2012年から2018年まで米国で活動。

ステージ5年相対生存率
ローカライズされた94%
地域別70%
遠い43%
全ステージ76%
取り除く

取り除く

CXPAは唾液腺がんの一種で、多形腺腫と呼ばれる良性腫瘍から発生します。進行性の傾向があり、ほとんどの場合手術で治療されますが、場合によっては放射線療法と組み合わせて行われます。

多形性腺腫の最初の兆候は、通常、耳の下と前にある耳下腺の 1 つ上のしこりです。

顔に原因不明のしこりができた場合は、必ず医師の診察を受けることが重要です。すべてのしこりが癌性であるわけではありませんが、癌性腫瘍と非癌性腫瘍を区別するためにさらなる検査が必要になることがよくあります。

参考文献

  1. https://pmc.ncbi.nlm.nih.gov/articles/PMC8376289/
  2. https://academic.oup.com/milmed/article/186/Supplement_1/828/6119511
  3. https://pmc.ncbi.nlm.nih.gov/articles/PMC7040348/
  4. https://www.ncbi.nlm.nih.gov/books/NBK557486/
  5. https://www.cancer.org/cancer/types/salivary-gland-cancer/detection-diagnosis-staging/survival-rates.html
  6. https://ejo.springeropen.com/articles/10.1186/s43163-024-00575-8
  7. https://www.ijhns.com/abstractArticleContentBrowse/IJHNS/18533/JPJ/fullText
  8. https://pmc.ncbi.nlm.nih.gov/articles/PMC9236687/
  9. https://academic.oup.com/ajcp/article/159/5/502/7078472?login=false
  10. https://www.ncbi.nlm.nih.gov/books/NBK430829/

多形性腺腫由来癌 (CXPA) とは何ですか?・関連動画

免責事項: 健康百科事典ブログは、すべての情報が事実に基づき、包括的で最新のものであるよう努めています。しかし、この記事は、資格を持つ医療専門家の知識や専門性の代替として使用されるべきではありません。薬を服用する前には、必ず医師または他の医療専門家に相談してください。ここに記載されている情報は変更される可能性があり、すべての可能な用途、指示、注意事項、警告、薬物相互作用、アレルギー反応、副作用を網羅することを意図しているわけではありません。特定の薬物または薬物の組み合わせに関する警告や情報が記載されていない場合でも、その薬物や組み合わせがすべての患者やすべての用途において安全、有効、適切であることを意味するものではありません。