免疫組織化学では、抗体を使用して組織サンプルの特定の種類の抗原を検査します。多くの場合、がんの種類やその他の病気に関して非常に具体的な結果が得られ、医師が治療法の選択肢を決定するのに役立ちます。
免疫組織化学 (IHC) は、医師が特定のがんや感染症をより簡単に検出できるようにするために広く使用されている染色技術です。
に導入されて以来、
読み続けて、IHC がどのように機能するのか、そしてなぜそれが医師にとって不可欠なツールであるのかを学びましょう。

免疫組織化学の目的は何ですか?
医師は IHC を使用して、細胞上の特定の抗原の存在を特定します。抗原は、体内に存在しない毒素、ウイルス、細菌、またはその他の粒子である可能性があります。
多くの種類のがん細胞もその表面に抗原を持っています。科学者はこれらを腫瘍特異的抗原と呼んでいます。腫瘍特異的抗原の検出は、医師がどの種類の癌が存在するかを判断するのに役立つ可能性があります。また、腫瘍細胞の DNA 変異の存在など、他の重要な遺伝的特性について医師に知らせることもできます。

免疫組織化学はどのように機能しますか?
IHC は抗体を使用して抗原を検出します。抗体は抗原に強く結合する分子です。免疫系は抗体を作成しますが、科学者は研究室で IHC 染色用の抗体を作成します。
抗体は抗原に化学的に結合し、免疫システムが抗原の影響に対抗できるようにします。特定の抗体は特定の抗原に結合します。
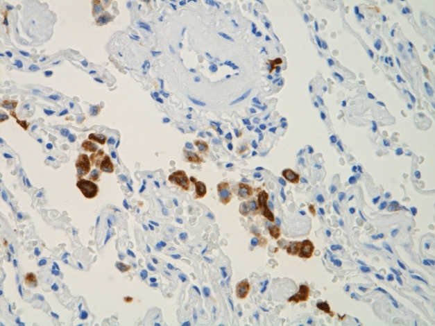
IHC では、病理学者 (病気の兆候がないか細胞を検査する医師) が、特定の抗体に色素を装備します。抗体がその抗原と結合すると、色素が活性化します。このプロセスは染色と呼ばれます。
病理学者は生検から得た組織サンプルを採取します。彼らは組織サンプルを抗体で検査し、顕微鏡下で色素の活性化を調べます。抗体は特定の抗原に結合するため、IHC 染色により病理学者はどの抗原が存在するかを正確に判断でき、正確な診断に役立ちます。

免疫組織化学はがんについて何を教えてくれるでしょうか?
病理学者は多くの場合、IHC を使用せずに顕微鏡でがん細胞を見つけることができます。しかし、特定の種類のがんを特定することが困難な場合もあります。また、がんについてもっと知る必要があるだけかもしれません。
医師が特定のがんを治療するために高価な標的療法を推奨する前に、まず IHC を実行して、患者が治療の対象となる特定の腫瘍細胞変異の存在を確認する必要があります。このプロセスはと呼ばれます
医師が常に IHC を要求するとは限りませんが、以下の一部のがんでは役立つ可能性があります。
乳癌
リンパ腫
リンパ腫には 90 以上の異なるサブタイプがあります。 IHCは、
胃癌
IHCは、
前立腺がん
標準的な前立腺がん検査では十分な情報が得られない場合、医師は IHC 検査を指示することがあります。 2018 年の研究によると、IHC は前立腺がん細胞に関するより具体的な情報と、見通しと治療の選択肢についての洞察を提供できるとのことです。
肺癌
IHC は、小細胞肺がんと非小細胞肺がんを区別するのに役立ちます。 2019 年の研究によると、IHC は特定の珍しい種類の肺がんの診断にも必要です。
IHC は、特定のがん細胞の変異をチェックすることもでき、変異が存在する場合には、救命免疫療法の使用が可能になります。他のがんも同様のプロトコルに従います。
リンチ症候群
IHC 検査は、いくつかのがんのリスクを高めるリンチ症候群に罹患しているかどうかを判断するのに役立ちます。
- 結腸直腸
- 子宮内膜 (子宮)
- 卵巣
- 胃腸
- 尿路
- 膵臓と胆道
免疫組織化学の利点
IHC が広く使用されるようになった要因のいくつか
- 具体的なテスト結果
- 費用対効果
- 迅速な対応
- 新鮮、凍結、またはパラフィン包埋組織サンプルを使用できます

免疫組織化学 vs. 免疫細胞化学
免疫細胞化学 (ICC) は IHC と同様のプロセスです。どちらも抗体と色素を使用して、特定の抗原の存在を検出します。違いは、試験を受ける試験片の性質です。
「ヒスト」とは「組織」を意味し、IHC がサンプルとして組織を使用することを意味します。一方、「Cyto」は「細胞」を意味します。 ICC では、単離された細胞をサンプルとして使用します。これは主に、病理学者がサンプルを準備する方法の違いにつながります。
IHC では組織サンプルを採取するために生検が必要です。 ICC では生検から抽出した細胞を使用することがよくありますが、塗抹標本や綿棒などの他の手段から得た細胞を使用することもできます。

免疫組織化学と免疫蛍光
免疫蛍光 (IF) は、病理学者が抗原を検出するためによく使用するもう 1 つの染色検査です。 IHC はコントラストを与えるために染料を使用しますが、IF は蛍光化合物を使用します。特殊な顕微鏡も必要です。
IF には IHC に比べていくつかの利点があります。
しかし、IFにもそれがあります

取り除く
IHC は、一部のがんや感染症の検査の標準的な部分になっています。これには、組織サンプルを染色して特定の抗原の存在を検出することが含まれます。 IHC は病気に関する具体的な情報や、治療法や見通しについての洞察を提供してくれることが多いため、医師は IHC を高く評価しています。
すべてのがんが IHC によるさらなる検査を必要とするわけではありません。ただし、乳がんやリンパ腫などの特定のがんを患っている場合、診断に不可欠な場合があります。
IHC には組織サンプルの分析が含まれるため、診断の一環としてまだ生検を受けていない場合、医師は生検を行う必要があります。生検が選択肢にない場合は、ICC 染色が代替手段となる可能性があります。
参考文献
- https://www.ncbi.nlm.nih.gov/pmc/articles/PMC5331857/
- https://www.breastcancer.org/screening-testing/ihc-immunohistochemistry-tests
- https://www.nature.com/articles/s41374-020-0429-0#:~:text=Nearly%20all%20clinical%20IHC%20is%20currently%20performed%20to%20detect%20a%20single%20biomarker%20per %20スライド%2Dマウント%20標本。
- https://www.frontiersin.org/articles/10.3389/fonc.2018.00377/full
- https://www.ncbi.nlm.nih.gov/pmc/articles/PMC8836139/
- https://www.sciencedirect.com/science/article/pii/S1556086418335147
- https://www.ncbi.nlm.nih.gov/pmc/articles/PMC9057666/
- https://www.cancer.gov/publications/dictionaries/cancer-terms/def/companion-diagnostic-test
- https://www.ncbi.nlm.nih.gov/pmc/articles/PMC8314390/
- https://www.aafp.org/pubs/afp/issues/2020/0101/p34.html
- https://www.ncbi.nlm.nih.gov/books/NBK1211/
- https://www.thelancet.com/journals/lanres/article/PIIS2213-2600(16)00020-5/fulltext
免疫組織化学染色とは何ですか?・関連動画
免責事項: 健康百科事典ブログは、すべての情報が事実に基づき、包括的で最新のものであるよう努めています。しかし、この記事は、資格を持つ医療専門家の知識や専門性の代替として使用されるべきではありません。薬を服用する前には、必ず医師または他の医療専門家に相談してください。ここに記載されている情報は変更される可能性があり、すべての可能な用途、指示、注意事項、警告、薬物相互作用、アレルギー反応、副作用を網羅することを意図しているわけではありません。特定の薬物または薬物の組み合わせに関する警告や情報が記載されていない場合でも、その薬物や組み合わせがすべての患者やすべての用途において安全、有効、適切であることを意味するものではありません。
