抗生物質は、耳感染症、尿路感染症、副鼻腔感染症、気管支炎などの細菌感染症を治療するために医師が処方する薬です。
抗生物質には効果がありますが、副作用がないわけではありません。吐き気、膨満感、下痢などの消化管の問題を引き起こすことがあります。
さらに、テトラサイクリンなどの一部の抗生物質は、歯の着色などの歯の問題と関連しています。
永久的な汚れのリスクを考慮して、この薬は特定のグループの人々には処方されなくなりました。
テトラサイクリンが歯にどのような影響を与えるかなど、テトラサイクリンについて知っておくべきことは次のとおりです。

テトラサイクリンとは何ですか?
テトラサイクリンは、60 年以上前から使用されている抗生物質です。他の抗生物質と同様に、細菌感染症やニキビ、旅行者下痢の治療によく使用されます。
1950 年代、医師はさまざまな感染症に対して、あらゆる年齢の子供を含むすべての人にこの抗生物質を処方しました。
しかし現在では、幼児の歯の変色を引き起こすことが判明したため、医師は主に成人と8歳以上の子供に処方しています。
妊娠中や授乳中、歯の発育初期に抗生物質にさらされた小児に変色が発生しました。
これにより、歯肉縁の下、または歯が生える前に永久的な汚れが歯に形成されてしまいました。
子供の歯の変色が初めて報告されたのは 1956 年ですが、一部の医師は 1980 年代まで子供に抗生物質を処方し続けました。
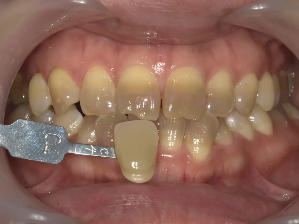
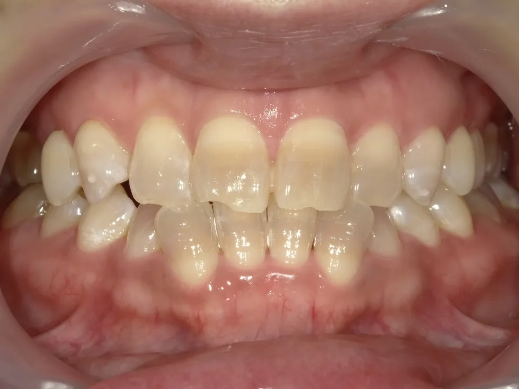
薬剤により、灰色、茶色、または黄色の変色が生じ、歯のエナメル質に埋め込まれました。
子宮内または授乳中にテトラサイクリンに曝露された子供たちも歯が汚れていたため、出産中に抗生物質は処方されなくなりました。
歯に影響を与える抗生物質はテトラサイクリンだけではありません。ドキシサイクリンやミノサイクリンなどの抗生物質の他の誘導体も、歯に同様の副作用を引き起こす可能性があります。

テトラサイクリンは歯にどのような影響を及ぼしますか?
抗生物質は歯肉縁の下の歯に影響を与えますが、変色の原因は一体何でしょうか?
わかりやすく言うと、歯の変色はテトラサイクリンが歯の発育に必要なカルシウムと結合することで起こります。これは石灰化と石灰化のプロセス中に発生し、その結果、内因性の歯の汚れが生じます。つまり、汚れは歯の表面の下に発生します。
これは、歯の表面に形成される食べ物や飲み物による歯の汚れとは異なります。
テトラサイクリンに曝露されると、子供の生えたばかりの歯は蛍光黄色に見えます。しかし、日光にさらされると色が変化し、時間の経過とともに歯は茶色がかったり灰色がかったりします。
日光は最終的な歯の色に影響を与えるため、前歯や前歯の変色が大きくなるのは珍しいことではありません。奥歯(口の奥)にも変色がある場合がありますが、通常はそれほど重大ではありません。
すべての子供が同じ程度の歯の変色を示すわけではありません。染色の程度は以下によって異なります。
- 治療期間の長さ
- 投与量
- 曝露時の歯の発育段階
より長期間、より高用量の抗生物質に曝露された子供は、より高度な歯の着色を引き起こす可能性があります。
一部の子供には軽度の変色があり、歯が薄黄色または薄灰色になる場合があります。しかし、歯が濃い黄色になったり、歯が濃い青や濃い灰色になったりする人もいます。
テトラサイクリンは歯の色に影響を与えるだけではありません。抗生物質への曝露により歯のエナメル質も弱まり、歯が虫歯(虫歯)の危険にさらされる可能性があります。
虫歯、つまり歯の穴は永久的なものであり、歯科用の詰め物が必要です。歯のエナメル質を保護するには:
- 酸性飲料を制限します。
- 酸性の食品を食べた後は水で洗い流してください。
- 歯を再石灰化するために、フッ素を含む歯磨き粉やマウスウォッシュを使用してください。
テトラサイクリンは大人の歯を着色する可能性がありますか?
はい。成人の中には、抗生物質を服用した後に歯が汚れるという報告がある人もいます。薬が唾液と混ざり、歯に黒い斑点が形成される可能性があります。
違いは、大人の歯の汚れは永久的なものではないということです。研磨歯科クリーニングによりそれらを除去することができます。

テトラサイクリン使用後に歯を再び白くする最良の方法は何ですか?
テトラサイクリンは固有の着色を引き起こすため、つまり着色は歯のエナメル質の一部であるため、歯のホワイトニングではこのタイプの変色は除去できない可能性があります。
ホワイトニング治療は利用可能ですが、常に効果があるとは限らず、治療に時間がかかる場合があります。たとえば、通常の変色のために一晩漂白トレイを使用している人は、6 週間以内に望ましい結果が得られる可能性があります。
ただし、テトラサイクリンで着色した歯がある場合、歯の色が明るくなるまでに 12 か月かかる場合があります。そして1年経ってもまだ白く見えないかもしれません。
歯科用漂白治療が効果がない場合は、歯科用ベニアについて歯科医に相談してください。これには、歯の前面に歯の色の薄いシェルをかぶせることが含まれます。
ベニアは天然の歯のように見えるように設計されており、歯の欠陥や変色をカバーすることができます。

取り除く
抗生物質は体が感染症と闘うのに役立ちますが、一部の抗生物質には歯の問題などの副作用があります。
妊娠中や授乳中、および特定の年齢未満の子供にはテトラサイクリンは処方されなくなりましたが、過去の曝露により歯が変色する可能性があります。
変色の程度によっては、漂白剤を使用する場合もあります。そうでない場合は、着色した歯の解決策としての歯科用ベニアについて歯科医に相談してください。
参考文献
- https://www.uspharmacist.com/article/pediatric-antibiotic-use-a-focused-review-of-fluoroquinolones-and-tetracyclines
- https://accpjournals.onlinelibrary.wiley.com/doi/10.1002/phar.1649
- https://www.aegisdentalnetwork.com/id/2018/01/bleaching-tetracycline–stained-teeth
テトラサイクリンが歯に与える影響 (およびその対策)・関連動画
免責事項: 健康百科事典ブログは、すべての情報が事実に基づき、包括的で最新のものであるよう努めています。しかし、この記事は、資格を持つ医療専門家の知識や専門性の代替として使用されるべきではありません。薬を服用する前には、必ず医師または他の医療専門家に相談してください。ここに記載されている情報は変更される可能性があり、すべての可能な用途、指示、注意事項、警告、薬物相互作用、アレルギー反応、副作用を網羅することを意図しているわけではありません。特定の薬物または薬物の組み合わせに関する警告や情報が記載されていない場合でも、その薬物や組み合わせがすべての患者やすべての用途において安全、有効、適切であることを意味するものではありません。
