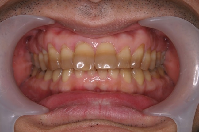
歯の変色や汚れの原因は何ですか?

Written by

in

Pinterest で共有する

歯の変色や歯の汚れは、さまざまな理由で発生する一般的な現象です。良いニュースは?これらの汚れの多くは治療可能であり、予防可能です。

ここでは、歯の変色や着色の原因と、真珠のような白を最高の状態に保つためにできることについて知っておくべきことを説明します。

染色の種類

染色の種類

歯の変色は、外因性、内因性、加齢によるものという 3 つの異なるカテゴリに分類されます。

  • 外部的。外因性の歯の変色の場合、汚れは歯のエナメル質または歯の表面にのみ影響を与えている可能性があります。外因性の汚れの最も一般的な原因は次のとおりです。
    • 食べ物
    • 飲み物
    • タバコ
  • 本質的。このタイプのステインは歯の内部に存在するため、市販のホワイトニング製品に対する耐性が高くなります。灰色っぽく見えることが多いです。固有の汚れの例には次のものがあります。
    • 特定の薬
    • 外傷または歯の損傷
    • 虫歯
    • フッ素が多すぎる
    • 遺伝学
  • 年齢に関係する。年齢を重ねると、歯のエナメル質が摩耗し始め、その結果、黄色く見えることがよくあります。多くの場合、加齢に伴う変色は、外的要因と内的要因の両方によって引き起こされる可能性があります。
歯の変色の原因は何ですか?

歯の変色の原因は何ですか?

「変色の主な問題は、通常、私たちが食べたり飲んだりするもの、老化、歯の損傷です」と、コロンビア特別区一般歯科アカデミーの会長である DDS のシーラ・サマダール氏は説明します。

食べ物、飲み物、タバコ

特定の種類の食べ物や飲み物は、歯の構造の外層に移動して歯を着色する可能性があります。最も一般的な歯の着色原因には次のようなものがあります。

  • レッドソース
  • 赤ワイン
  • お茶
  • コーヒー
  • チョコレート

紙巻きタバコや噛みタバコの形でのタバコの使用も歯の変色を引き起こす可能性があります。

によると臨床研究、喫煙者の歯の変色の有病率は非喫煙者よりも高くなります。さらに、喫煙者の間では、歯の外観に基づく見た目に対する不満のレベルが高いことも調査でわかりました。

また、タフツ歯科大学によると、口の中の環境が酸性であると、エナメル質が変色しやすくなる可能性があります。

年齢、怪我、抗生物質

「年齢を重ねると、歯がもろくなり、着色や黄ばみが発生する可能性があります」とサマダール氏は言います。

歯の損傷が問題の根本である場合、損傷した歯だけが黒ずむことがあります。

子供の頃に 抗生物質を服用していた場合は、どの抗生物質が処方されたのかを調べてみるとよいでしょう。によると、 食品医薬品局、子供の頃にテトラサイクリン系抗生物質を服用したことと永久歯の変色との間には関連性があります。

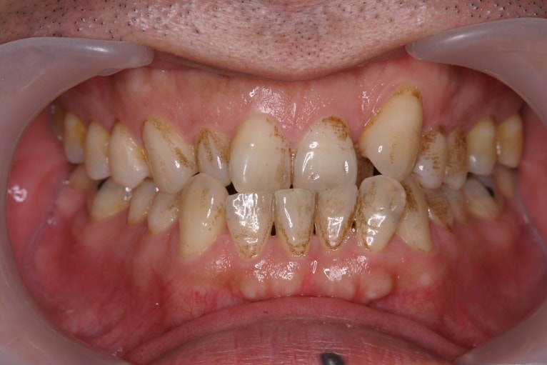
色による染色

色による染色

歯の変色の原因が気になる場合は、GLO Modern Dentistry の DDS である Rhonda Kalasho が、歯の表面の汚れの原因について次のような洞察を提供します。

  • 黄色。喫煙または噛みタバコを使用する人は、歯に 黄色の汚れが付くことがあります。黄色の変色は次の原因によっても引き起こされる可能性があります。
    • 紅茶、コーヒー、赤ワインなどの飲み物
    • 単糖類を多く含む食事
    • 特定の薬
    • 口腔衛生状態が悪い
    • 慢性的な口渇
  • 茶色。茶色の斑点や変色にはさまざまな原因が考えられます。最も一般的な原因には次のようなものがあります。
    • タバコの使用
    • 紅茶、コーヒー、コーラ、赤ワインなどの飲み物
    • ブルーベリー、ブラックベリー、ザクロなどの果物
    • 未治療の虫歯
    • 歯石の蓄積
  • 白。虫歯になると歯に白い斑点ができ、進行すると色が濃くなることがあります。フッ素が多すぎると歯に白い斑点ができることもあります。
  • 黒。黒い斑点や汚れは次の原因で発生する可能性があります。
    • 高度な歯科空洞
    • 硫化銀を含む詰め物やクラウン
    • 液体鉄分のサプリメント
  • 紫。カラショ氏によると、定期的にワインを摂取する患者の歯は紫色になる傾向があるという。
汚れを取り除くにはどうすればよいですか?

汚れを取り除くにはどうすればよいですか?

歯を白くし、汚れを除去または軽減できる製品や手順は数多くあります。

一般的に、歯のホワイトニングの選択肢は大きく 3 つのカテゴリに分類されます。それらには次のものが含まれます。

  • 院内治療。歯科医は通常、歯のホワイトニングに家庭用製品よりも高濃度の過酸化水素を使用します。オフィスでの治療は効果が早く、通常は他の方法よりも効果が長く続きます。
  • 歯科医院による在宅治療。一部の歯科医は、自宅で歯に使用するカスタムトレーを作成できます。トレイにジェルを追加し、1 日最大 1 時間、または歯科医の推奨に従って歯に装着します。結果を得るには、数週間トレイを装着する必要がある場合があります。
  • 店頭販売品。ホワイトニング歯磨き粉やホワイトニングストリップは表面の汚れを軽減することはできますが、歯の内部にある本質的な汚れにはあまり効果がありません。

サマダール氏は、歯のホワイトニング製品が安全であることを確認するために、歯を白くする製品を試す前に歯科医に相談することを推奨しています。製品によっては、歯の過敏症や歯肉の炎症を引き起こす可能性があります。

さらに、定期的に歯科医院に行って歯のクリーニングを受けるようにしましょう。定期的な検査とクリーニングは、多くの場合、汚れやシミの出現を軽減するのに役立ちます。

いつ歯科医に診てもらうべきですか?

いつ歯科医に診てもらうべきですか?

歯の色の変化に気づき、ホワイトニング製品を使用しても改善しない場合は、歯科医に相談することをお勧めします。

「着色が深いように見え、市販のホワイトニング剤で着色を除去できない場合は、虫歯やエナメル質の脱灰など、より深刻な病気である可能性があります」とカラショ氏は言います。

1本の歯だけが変色している​​場合は、虫歯または歯の内部の損傷が原因である可能性があります。この種の問題は歯科医による治療が早ければ早いほど、結果が良くなる可能性が高くなります。

歯を健康に保つために、年に 2 回は歯科医の定期検査を受けてください。多くの場合、問題が発見されるのはこのような打ち合わせ中にです。早期に治療が行われれば、問題の悪化を防ぐことができます。

どうすれば変色を防ぐことができるのでしょうか?

どうすれば変色を防ぐことができるのでしょうか?

  • 色素の強い食べ物を食べた後は歯をケアしてください。色素の付いた食べ物や飲み物を摂取する予定がある場合、サマダール氏は、食べ終わったらすぐに歯磨きとデンタルフロスをすることを推奨しています。それが不可能な場合は、水を飲んだり、水で洗ったりすると、歯に着色する可能性のある粒子の少なくとも一部を取り除くことができます。
  • 良好なお口の健康を実践しましょう。 Kalasho は、少なくとも 1 日に 3 回歯を磨き、毎日フロスを使用し、ウォーターフロッサーとホワイトニング歯磨き粉または洗口液を使用することを推奨しています。 「洗口剤とウォーターフロッサーは、除去するのが難しい歯の間の厄介な汚れを最小限に抑えるための優れた選択肢です」と彼女は言います。
  • 習慣を修正してください。喫煙または噛みタバコをする場合は、禁煙プログラムについて医師に相談してください。歯に着色する可能性のある食べ物や飲み物を減らすことも必要かもしれません。それが難しい場合は、歯ブラシを手元に用意して、汚れの原因となる物質を歯に残さないように積極的に取り組んでください。
結論

結論

歯の変色は一般的であり、さまざまな理由で誰にでも起こる可能性があります。多くの場合、色素の付いた食べ物や飲み物だけでなく、タバコ、葉巻、噛みタバコなどのタバコ製品によって引き起こされます。

歯の表面に現れる汚れは、通常、歯を白くする製品や手順で除去または軽減できます。これらは歯科医に行ってもらうことも、自宅の製品を試すこともできます。

内因性着色として知られる歯の内部に現れる変色や着色は、 虫歯、怪我、または薬剤によって引き起こされる可能性があります。歯科医は、このような種類の汚れに対する最適な対処法についてアドバイスしてくれるでしょう。

参考文献

  1. https://www.glomoderndental.com
  2. https://www.fda.gov/drugs/bioerrorism-and-drug-preparedness/questions-and-answers-consumers-doxycycline
  3. https://now.tufts.edu/articles/what-c​​auses-discoloured-teeth-and-there-any-way-cure-or-prevent-staining
  4. http://cst.agd.org/constituent/main/?CHAP_ID=DC
  5. https://www.ncbi.nlm.nih.gov/pmc/articles/PMC1079878/

歯の変色や汚れの原因は何ですか?・関連動画

免責事項: 健康百科事典ブログは、すべての情報が事実に基づき、包括的で最新のものであるよう努めています。しかし、この記事は、資格を持つ医療専門家の知識や専門性の代替として使用されるべきではありません。薬を服用する前には、必ず医師または他の医療専門家に相談してください。ここに記載されている情報は変更される可能性があり、すべての可能な用途、指示、注意事項、警告、薬物相互作用、アレルギー反応、副作用を網羅することを意図しているわけではありません。特定の薬物または薬物の組み合わせに関する警告や情報が記載されていない場合でも、その薬物や組み合わせがすべての患者やすべての用途において安全、有効、適切であることを意味するものではありません。