グッドパスチャー症候群とは何ですか?
グッドパスチャー症候群はまれで、生命を脅かす可能性のある自己免疫疾患です。腎臓や肺に自己免疫タンパク質の蓄積を引き起こし、これらの臓器の損傷を引き起こします。この障害は、1919 年にこの症候群を初めて発見したアーネスト・グッドパスチャー博士にちなんで名付けられました。
迅速な診断と治療がなければ、この状態は肺での重大な出血、腎臓の炎症や腎不全、さらには死に至る可能性があります。

どのような症状がありますか?
症状は非特異的な場合もあれば、肺と腎臓の両方に関連する場合もあります。損傷は急速に進行し、数日で深刻になる可能性があります。初期症状には次のようなものがあります。
- 疲労、衰弱、または無気力
- 吐き気または嘔吐
- 食欲不振
- 不健康で青白い外観
この病気が肺に影響を与えると、次のような症状が現れることがあります。
- 乾いた咳
- 喀血(喀血)
- 息切れまたは呼吸困難
肺に影響を及ぼす症状は場合によっては生命を脅かす可能性があり、特に大量の出血がある場合には呼吸不全を引き起こします。
この病気が腎臓に影響を及ぼすと、次のような症状が起こる可能性があります。
- 排尿中の灼熱感
- 血尿または泡状尿
- 手と足のむくみ
- 血圧測定値の上昇
- 肋骨の下の背中の痛み

グッドパスチャー症候群の原因は何ですか?
グッドパスチャー症候群の正確な原因は不明ですが、特定の行動や環境要因が人々をより高いリスクにさらすと考えられています。特定の呼吸器感染症は免疫系を引き起こす可能性があります。炭化水素の煙、金属粉塵、タバコの煙、またはコカインなどの特定の薬物への曝露もリスクを高める可能性があります。
科学者たちは、免疫システムが肺や腎臓の組織を攻撃するのは、体の防御機能がこれらの臓器の一部を体自体にとって異物と認識するためであると考えています。
特定の人は遺伝によりこの症状にかかりやすいようです。これには、HLA (ヒト白血球抗原) システムの一部として見出される特定のタンパク質を両親から受け継いだ人々が含まれます。たとえば、DR15 として知られる特定の HLA は、グッドパスチャー症候群の人の 88 パーセントに見られます。
国立腎臓財団 (NKF) によると、グッドパスチャー症候群は女性よりも男性に多く発症し、成人初期または 60 歳以降に最も一般的に発生します。NFK はまた、この病気は他の人種よりも白人に多く見られると報告しています。

グッドパスチャー症候群はどのように診断されますか?
医師はグッドパスチャー症候群を診断するためにいくつかの検査を使用する場合があります。まずは身体検査から始まり、高血圧、出血、心音や肺の音の異常がないかどうかを検査します。これには腹部検査も含まれます。医師はあなたの家族や病歴も調べます。この状態が原因で、心雑音、肺音の異常、肝臓肥大が生じることは珍しいことではありません。
他の検査は、病気に罹患しているかどうかを判断するのに役立ちます。血液検査では、病気の存在を示す抗体(脅威として認識されたものと戦うために免疫系によって生成されるタンパク質)の存在が示される場合があります。腎機能の異常を示すこともあります。
尿中の血液とタンパク質の存在は、尿検査によって検出できます。これらの症状は腎臓の問題を示している可能性もあります。
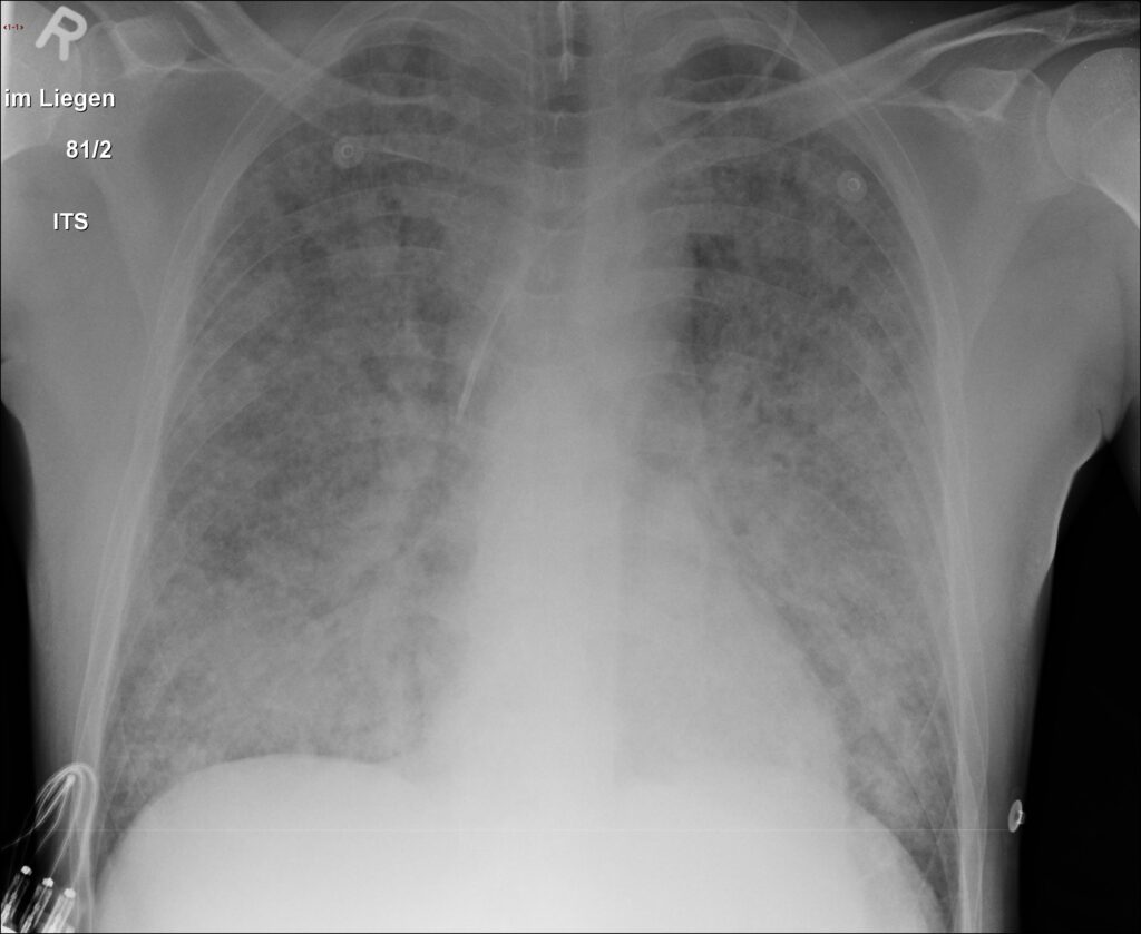
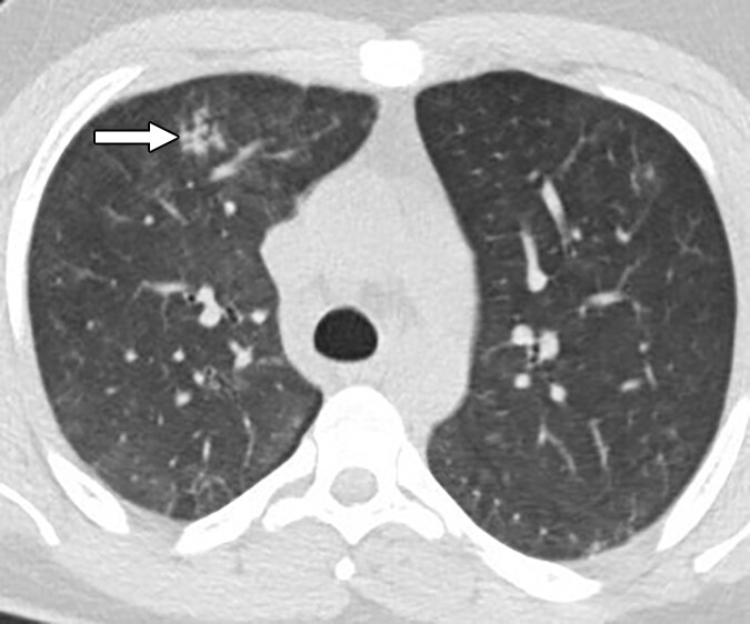
胸部 X 線または CT スキャンでは、肺の損傷や肺の出血を示す兆候が見られる場合があります。
腎生検により、グッドパスチャー症候群の存在を示す変化が明らかになる場合があります。この検査では、超音波をガイドとして使用して腎臓から組織サンプルが採取され、検査のために検査室に送られます。検査技師は、医師の診断に役立てるため、抗体やその他の異常細胞の存在を探します。

グッドパスチャー症候群はどのように治療されますか?
診断されたら、合併症のリスクを減らすためにできるだけ早く治療する必要があります。グッドパスチャー症候群は生命を脅かす病気です。入院が必要となり、多くの場合、集中治療室(ICU)での治療が含まれます。
治療には、免疫システムを低下させる薬が含まれます。これらには、次の 1 つ以上が含まれる場合があります。
- 免疫抑制剤や細胞傷害性薬剤は、免疫系が肺や腎臓に損傷を与える抗体を生成するのを防ぎます (一例はシクロホスファミド)。
- プレドニン(Rayos) などのコルチコステロイドは、炎症を軽減し、免疫システムを抑制します。
血液中の有害な抗体をろ過するために、血漿交換と呼ばれる治療が必要になる場合があります。この手順では、血液が採取され、液体部分 (血漿) が除去されて元に戻ります。濾過された血液は体内に戻されます。
その他の治療法は、年齢、全体的な健康状態、病気の重症度によって異なります。医師は、体液の蓄積と高血圧を制御するために追加の薬を処方する場合があります。薬に加えて、塩分摂取量を減らすなどの食生活の変更も、むくみや血圧のコントロールに役立ちます。

長期的な見通しは何ですか?
肺と腎臓の機能が維持できるほど、より良い結果が得られます。今後の見通しは特に腎臓の状態に左右されるようです。腎臓への損傷は多くの場合永続的であり、腎臓が機能し始めた場合には、腎臓移植または透析(血液から老廃物や毒素をろ過するのに役立つ特殊な機械を使用するプロセス)が必要になる場合があります。
病気を克服し、長期的な見通しを立てるためには、早期の診断と治療が非常に重要です。 NKF によると、この症候群は数週間から 2 年間続く可能性があります。適切な治療を行えば、5年生存率は80パーセントです。
グッドパスチャー症候群の患者のうち、透析を必要とする長期的な腎臓障害に苦しむ人は 30 パーセント未満です。
喫煙している場合は禁煙し、受動喫煙を避けることも、長期的な見通しを改善するための重要なステップです。
参考文献
- https://www.ncbi.nlm.nih.gov/pubmed/24456936?dopt=要約
- https://www.kidney.org/atoz/content/goodpasture
- https://rarediseases.info.nih.gov/diseases/2551/goodpasture-syndrome
グッドパスチャー症候群・関連動画
免責事項: 健康百科事典ブログは、すべての情報が事実に基づき、包括的で最新のものであるよう努めています。しかし、この記事は、資格を持つ医療専門家の知識や専門性の代替として使用されるべきではありません。薬を服用する前には、必ず医師または他の医療専門家に相談してください。ここに記載されている情報は変更される可能性があり、すべての可能な用途、指示、注意事項、警告、薬物相互作用、アレルギー反応、副作用を網羅することを意図しているわけではありません。特定の薬物または薬物の組み合わせに関する警告や情報が記載されていない場合でも、その薬物や組み合わせがすべての患者やすべての用途において安全、有効、適切であることを意味するものではありません。
