CT スキャンでは、一連の X 線を使用して体内を観察します。これは腎臓結石を診断するためのゴールドスタンダードとみなされていますが、この手順にはいくつかのリスクがないわけではありません。
コンピューター断層撮影(CT)スキャンは、
腎臓結石の診断に CT スキャンがどのように使用されるかについて詳しく知りたい場合は、読み続けてください。

腎臓結石のCTスキャンについて知っておくべきこと
腎臓結石は、腎臓に発生する硬いミネラルの沈着物です。腎臓から膀胱に尿を運ぶ細い管である尿管が詰まると、激しい痛みを引き起こすことがあります。国立腎臓財団によると、約 10 人に 1 人が人生のある時点で腎臓結石を患うと推定されています。
多くの場合、医師は症状や病歴に基づいて腎臓結石を診断できます。 CT スキャン(CAT スキャンとも呼ばれます) は、一連の X 線を使用して体内の画像を作成します。 CT スキャンでは、従来の X 線よりも詳細な画像が得られます。
場合によっては、CT スキャンが造影剤を使用して実行されることがあります。造影剤は口から摂取するか、静脈 (IV) ラインを通じて静脈内に投与します。医療従事者が臓器をより明確に見るのに役立ちます。通常、腎臓結石の診断には、造影剤を使用しない CT スキャンが実行されます。
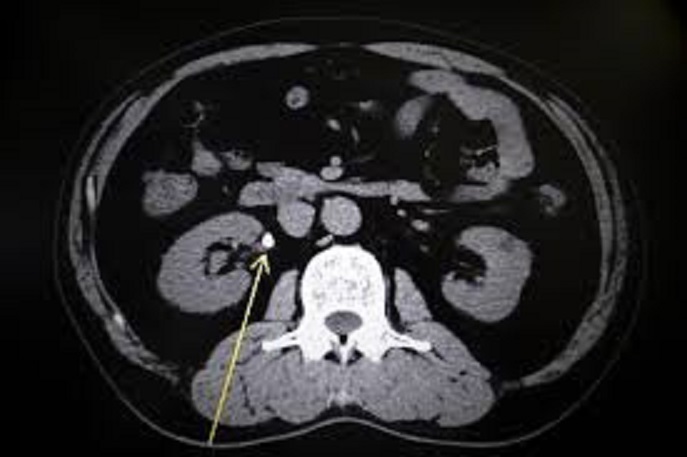
各スキャンは、腎臓の上部から膀胱の底部までの領域をカバーできます。これらのスキャンにより、医師は結石の大きさを確認したり、腎臓から膀胱につながる尿管の異常を特定したりすることもできます。
CTスキャンにはいくつかの機能があります
治療後に CT スキャンを行うと、次のような効果が得られます。
- すべての石が通過したことを確認します
- 尿路の狭窄や炎症を除外する
- 起こり得る合併症を検出する

腎臓結石を診断するための CT スキャンはどの程度正確ですか?
CT スキャンは腎臓結石を非常に正確に特定できます。
2018年の研究レビューで、研究者らは次のことを発見しました。
- 低線量 CT スキャンでは、90% ~ 98% の確率で腎臓結石が正確に特定されました。
- 低線量CTスキャンでは、88%から100%の確率で腎臓結石が存在しないことが正確に確認されました。
- 超低線量 CT スキャンでは、72% ~ 99% の確率で腎臓結石を正確に特定しました。
- 超低線量CTスキャンにより、86%から100%の確率で腎臓結石が存在しないことが正確に確認されました。

リスクは何ですか?
一般に 1 回の CT スキャンは、合併症のリスクが低い非常に安全な手順です。人によっては、造影剤に対してアレルギー反応を起こす場合があります。
最大のリスクは、CT スキャンによって身体が放射線にさらされることであり、CT スキャンを繰り返すとがんのリスクが高まる可能性があります。 2020年に
低線量 CT スキャンでは、身体が受ける放射線量が少なくなり、将来のがんのリスクが軽減される可能性があります。
2020年のレビューで、研究者らは質の高い研究の中で、低線量放射線CTスキャンはがんリスクを増加させないという証拠を発見した。

CTスキャン中に予想されること
腎臓結石の症状が出て救急外来を受診した場合、医師は痛みを和らげるための薬を処方してくれる場合があります。また、吐き気や嘔吐などの関連症状を抑える薬が投与される場合もあります。
CT スキャンの前に、CT スキャンを実行する放射線技師である医療専門家がいくつかの質問をすることがあります。また、手順に含まれる内容についても説明する場合があります。これはおそらく次のようなものです。
- スキャナーに入る前に、病院用のガウンに着替え、金属製の物体を取り除きます。
- 特別なトンネル状のスキャナーに滑り込むテーブルに横たわります。
- スキャナーには、通過するときに腹部の周りを回転するリングが含まれています。スキャナーの電源がオンになると、「ヒュー」という音が聞こえます。
- 放射線技師は別室から CT スキャナーを操作します。インターホンを通じて彼らと通信できるようになります。処置中は、じっと横たわっている必要があります。息を止めていただく場合があります。
- 放射線技師が再び部屋に入り、スキャナーから出るのを手伝ってくれます。
スキャンには通常 10 ~ 20 分かかります。造影剤を使用している場合は、15 ~ 30 分間待つ必要がある場合があります。

腎臓結石を診断する他の画像検査は何ですか?
CT スキャンと超音波は、腎臓結石の診断に使用される 2 つの主なタイプの画像検査です。 CT スキャンは一般に精度が高くなりますが、身体が放射線にさらされることになります。
以下に比較します。
| 画像処理の種類 | 正しい診断を受けた腎結石患者の割合 | 腎臓結石がなく正しい診断を受けた人の割合 | 放射線量(ミリシーベルト) |
|---|---|---|---|
| CTスキャン | 95% | 98% | 10.0 |
| 低線量CTスキャン | 95% | 97% | ~3.0 |
| 超音波 | 84% | 53% | なし |
| 腎臓、尿管、膀胱の単純フィルム X 線撮影 (X 線) | 57% | 76% | 0.7 |
| MRI | 82% | 98% | なし |

結論
CT スキャンは、腎臓結石を正確に診断するための代表的な画像検査です。通常は安全ですが、通常、他の種類の画像技術よりも多くの放射線に身体がさらされます。
低放射線 CT スキャンは、従来の CT スキャンよりも身体が受ける放射線量が少なくなります。研究によると、低放射線CTスキャンは腎臓結石の診断において依然として非常に正確であることが示唆されています。
参考文献
- https://www.kidney.org/atoz/content/kidneystones#how-common-are-kidney-stones
- https://www.nhs.uk/conditions/ct-scan/
- https://www.ncbi.nlm.nih.gov/pmc/articles/PMC4495492/
- https://www.nhs.uk/conditions/kidney-stones/diagnosis/
- https://www.mountsinai.org/care/radiology/visit/faqs
- https://www.ncbi.nlm.nih.gov/pmc/articles/PMC5443345/
- https://www.karger.com/Article/Fulltext/488062
- https://www.ncbi.nlm.nih.gov/pmc/articles/PMC7050152/
- https://www.cambridge.org/core/journals/prehospital-and-disaster-medicine/article/risk-of-cancer-from-ct-scans-and-other-sources-of-lowdose-radiation-a-方法論的品質の批判的評価/23464B0D825CD456741B77476F9997F7
- https://www.ncbi.nlm.nih.gov/pmc/articles/PMC5851105/
CTスキャンは腎臓結石を正確に診断できますか?・関連動画
免責事項: 健康百科事典ブログは、すべての情報が事実に基づき、包括的で最新のものであるよう努めています。しかし、この記事は、資格を持つ医療専門家の知識や専門性の代替として使用されるべきではありません。薬を服用する前には、必ず医師または他の医療専門家に相談してください。ここに記載されている情報は変更される可能性があり、すべての可能な用途、指示、注意事項、警告、薬物相互作用、アレルギー反応、副作用を網羅することを意図しているわけではありません。特定の薬物または薬物の組み合わせに関する警告や情報が記載されていない場合でも、その薬物や組み合わせがすべての患者やすべての用途において安全、有効、適切であることを意味するものではありません。
