概要
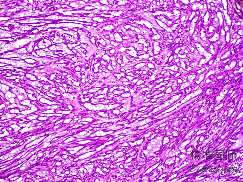
管状癌は乳癌の一種です。これは浸潤性乳管癌 (IDC) のサブタイプです。 IDC は、乳房の乳管内で発生し、その後他の組織に拡大するがんです。管状癌は、腫瘍が顕微鏡で見える管状の構造で構成されていることからその名前が付けられています。腫瘍の大きさは通常 1 cm 以下で、通常はゆっくりと成長します。
管状癌は乳癌の一般的な形態ではありません。それらは乳房のすべての IDC の約 1 ~ 5 パーセントを占めます。管状癌は男性ではまれです。女性の診断時の平均年齢は約50歳です。

生存率と再発
管状癌の生存率は 10 年時点で約 97% です。生存率は、管状癌単独の場合、他のサブタイプと混合した場合よりも優れています。
ある研究では再発率が6.9パーセントであることが示されています。ただし、特に他の乳房では、異なるタイプの IDC が再発する可能性があります。これらの再発率はまだ研究中です。

症状
管状がんは通常、定期的なマンモグラフィーによって発見されるため、症状がない場合もあります。腫瘍は小さい傾向があるため、乳房検査では腫瘍を触ることができない場合があります。
しこりを触ったとしても小さくて硬い感じがします。しかし、マンモグラフィーで見ると、管状癌の縁は棘状または不均一になります。
原因
尿細管癌の危険因子には次のようなものがあります。
- 遺伝と家族歴
- 30歳未満で別の種類のがんを治療するために顔または胸部に放射線を照射する
- 太りすぎである
- 30歳を超えて正期妊娠または出産をしていないこと
- 授乳していない
- ホルモン補充療法
- アルコール摂取量
- 運動不足
- 不健康な食生活
- 食品または環境中の化学物質

治療の選択肢
管状癌にはいくつかの可能な治療選択肢があります。医師は、管状癌の詳細を判断するためにさまざまな診断検査を行った後、最適な選択肢について話し合うことができます。あなたと医師が検討できる治療選択肢は次のとおりです。
- 手術。これは通常、管状癌の最初の治療法です。
- 肺がん切除術。この手術では、腫瘍を含む乳房の一部と周囲の組織のみを切除します。
- 乳房切除術。この手術では乳房全体が切除されますが、リンパ節は切除されません(管状がんがリンパ節に転移することはほとんどありません)。
- リンパ節切除。リンパ節の検査が行われます。がんが転移している場合は、乳房切除術の際にリンパ節も切除されます。
- 化学療法。この治療法では、抗がん剤を経口または静脈から投与します。化学療法は、体の他の領域に移動したがん細胞を殺します。管状がんの場合は通常は転移しないため、通常は必要ありません。
- 放射線治療。この治療法は、手術後に残る可能性のあるがん細胞を標的とする高エネルギー光線を使用します。
- ホルモン療法。この治療では、エストロゲンの量をブロックまたは減らす薬を使用します。診断検査で腫瘍がエストロゲンおよびプロゲステロン受容体陰性であることが判明した場合、ホルモン療法は効果がありません。
- 生物学的療法または標的療法。この治療法では、がん細胞内のプロセス(またはタンパク質)を標的にして妨害することにより、がんの増殖と広がりを阻止する薬剤を使用します。
尿細管癌の予後は非常に良好であるため、通常、手術後の追加治療はわずかしか必要ありません。ただし、これは腫瘍の特性によって異なります。

どのように診断されるのでしょうか?
管状癌の症状が現れることはまれであるため、年に一度のマンモグラフィー検査中に初めて検出されます。発見されると、医師は診断を確定するために追加の検査を指示します。これらの追加検査により、尿細管がんに関する詳しい情報が得られ、医師が適切な治療法を決定するのに役立ちます。追加の診断テストには次のものが含まれる場合があります。
- 乳房の超音波検査
- 乳房のMRI
- 身体検査
- 腫瘍の生検
管状がんは他の種類の乳がんと非常によく似ているため、医師はこれらの検査を複数要求する可能性があります。生検は、医師が腫瘍の内部を観察して診断を確認するための最良の方法です。あなたの尿細管癌が「純粋」であるか、それとも別のサブタイプの癌と混合しているかを判断するために、複数の検査が必要になる場合もあります。これらすべての情報は、医師があなたにとって最適な治療計画を決定するために必要です。
尿細管がんの診断には多くの技術が必要なので、この診断を受けた場合は、ためらわずに追加の検査やセカンドオピニオンを求めてください。

見通し
現在では女性が定期的にマンモグラフィーを受けているため、管状癌は早期に診断されることが多くなっています。このため、マンモグラフィーを年に一度受けることが重要です。尿細管癌は早期に診断されるほど、予後は良好になります。浸潤性乳がんではありますが、他の乳がんよりも侵襲性が低く、治療によく反応し、乳房組織を超えて広がることがない傾向があります。他の種類の乳がんと混合していない「純粋な」管状がんの場合、治療後の見通しは特に良好です。
参考文献
- https://radiopaedia.org/articles/tubular-carcinoma-of-the-breast
- http://ascopubs.org/doi/full/10.1200/jco.2009.23.5051
管状癌・関連動画
免責事項: 健康百科事典ブログは、すべての情報が事実に基づき、包括的で最新のものであるよう努めています。しかし、この記事は、資格を持つ医療専門家の知識や専門性の代替として使用されるべきではありません。薬を服用する前には、必ず医師または他の医療専門家に相談してください。ここに記載されている情報は変更される可能性があり、すべての可能な用途、指示、注意事項、警告、薬物相互作用、アレルギー反応、副作用を網羅することを意図しているわけではありません。特定の薬物または薬物の組み合わせに関する警告や情報が記載されていない場合でも、その薬物や組み合わせがすべての患者やすべての用途において安全、有効、適切であることを意味するものではありません。
