一過性頻呼吸とは何ですか?
羊膜に含まれる羊水は、発育中の赤ちゃんにとって非常に重要です。この体液は子宮内で胎児を取り囲んでおり、赤ちゃんを怪我から守るクッションの役割を果たしています。
また、体温を安定に保ち、健康な骨や肺の発育にも必要です。子宮内では、赤ちゃんの肺は液体で満たされています。これは正常であり、健康的なことです。
分娩中、赤ちゃんの体は肺から液体を押し出すのを助けるために化学物質を放出します。赤ちゃんの胸にかかる産道の圧力によって、肺から液体も放出されます。出生後、赤ちゃんの咳と肺を満たす空気によって、残っている羊水が排出されるはずです。
ただし、場合によっては、液体が期待どおりに迅速かつ完全に肺から排出されないことがあります。肺内のこの過剰な液体により、赤ちゃんの肺が適切に機能することが困難になる可能性があります。この状態は、新生児の一過性頻呼吸 (TTN) として知られています。
この状態は通常、乳児の呼吸数が速くなる (多呼吸) ことを引き起こします。症状は苦痛かもしれませんが、通常は生命を脅かすものではありません。通常、生後1~3日以内に消失します。
一過性頻呼吸の別名は次のとおりです。
- 新生児の湿った肺
- 胎児肺液の貯留
- 長期にわたる移行

一過性多呼吸とはどのような症状ですか?
一過性頻呼吸の症状は新生児ごとに異なります。この状態の一般的な症状は次のとおりです。
- 呼吸が速い、つまり 1 分間に 60 回を超える呼吸
- うめき声やうめき声を含む苦しそうな呼吸
- 鼻孔の広がり
- 青みがかった肌(チアノーゼ)
- 呼吸するたびに胸が胸郭の下に沈む様子(収縮とも呼ばれます)

一過性の頻呼吸の原因は何ですか?
新生児の一過性頻呼吸の正確な原因は必ずしもわかっているわけではありません。この状態は、出産中および出産後に新生児の肺が羊水を排出または吸収できないことによって引き起こされる可能性があります。
帝王切開で生まれた赤ちゃんはこの症状を発症する可能性が高くなります。帝王切開では、経膣分娩の際に産道で液体が絞り出されるのが一般的ですが、赤ちゃんの肺から液体が絞り出されることはありません。
一過性頻呼吸の発症に寄与する可能性のあるその他の要因には次のものがあります。
- 糖尿病を患う母親から生まれる
- 急速経膣分娩
- コードクランプの遅延
男の赤ちゃんや、より大きな出生体重で生まれた赤ちゃんも、この症状を発症する可能性が高くなります。

一過性頻呼吸はどのように診断されますか?
一過性の多呼吸の症状は、新生児が罹患する可能性のある他の病状に関連している可能性があります。このため、医師がこの症状を診断することが困難になる場合があります。医師はあなたの妊娠、出産、合併症を調べて診断を下します。医師は赤ちゃんの検査も行います。
診断を確定するために検査が必要になる場合もあります。これらのテストには次のものが含まれる場合があります。
- 全血球計算(CBC)と血液培養により、赤ちゃんが肺炎などの感染症にかかっていないかどうかを確認します。
- 赤ちゃんの血中酸素濃度と二酸化炭素濃度をチェックする血液ガス検査
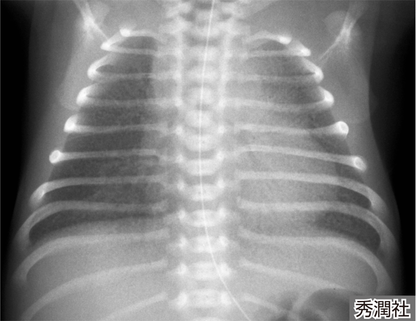
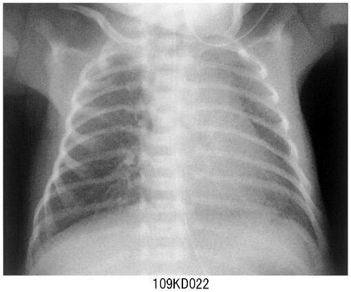
- 呼吸困難の原因について肺を研究するための胸部X線写真
- パルスオキシメトリーモニタリング。赤ちゃんの足に酸素センサーが取り付けられ、医師が赤ちゃんの酸素レベルを監視できるようになります。
赤ちゃんの症状に他に原因がない場合、医師は一過性多呼吸と診断することがあります。

一過性頻呼吸はどのように治療されますか?
赤ちゃんに一過性の多呼吸の症状がある場合は、血中酸素濃度を安定させるために(必要に応じて)酸素を補給します。この酸素は通常、赤ちゃんの頭の周りと鼻の中に配置されたチューブ(鼻カニューレ経由)を通じて供給されます。
ほとんどの赤ちゃんは 12 ~ 24 時間以内に治療に反応します。この期間中、赤ちゃんが必要とする酸素補給の量は減少するはずです。
呼吸困難のある新生児は適切に授乳できない可能性があります。このような場合、医師は赤ちゃんに液体と栄養素を静脈内投与するか、鼻から胃にチューブを介して投与します。
一過性の頻呼吸は感染症と区別するのが難しいため、医師が抗生物質を処方する場合もあります。検査結果が感染がないことを示した場合、これらの抗生物質の投与は中止されます。
まれに、通常、TTN 以外の他の症状が存在する場合、呼吸困難により人工呼吸器の使用が必要になる場合があります。人工呼吸器は、赤ちゃんが独立して呼吸できるようになるまで、赤ちゃんの呼吸を補助する機械です。

一過性頻呼吸のある新生児の今後の見通しはどうなりますか?
一過性多呼吸の症状は通常、出生後 1 ~ 3 日以内に解消します。場合によっては、症状が1週間ほど続くこともあります。症状が解消されれば、通常、新生児にさらなる健康上の問題が発生したり、特別なフォローアップケアを必要としたりすることはありません。

一過性の頻呼吸はどのようにして防ぐことができるのでしょうか?
一過性の頻呼吸を確実に防ぐ方法はありません。ただし、次のことを行うことで、健康な赤ちゃんを出産する可能性を高めることができます。
- 妊娠中は果物、野菜、全粒穀物を多く含む健康的な食事を摂る
- 出生前診断のために定期的に医師の診察を受ける
- 禁煙
- 医師が処方していないアルコールや薬を摂取しないこと
新生児の一過性頻呼吸・関連動画
免責事項: 健康百科事典ブログは、すべての情報が事実に基づき、包括的で最新のものであるよう努めています。しかし、この記事は、資格を持つ医療専門家の知識や専門性の代替として使用されるべきではありません。薬を服用する前には、必ず医師または他の医療専門家に相談してください。ここに記載されている情報は変更される可能性があり、すべての可能な用途、指示、注意事項、警告、薬物相互作用、アレルギー反応、副作用を網羅することを意図しているわけではありません。特定の薬物または薬物の組み合わせに関する警告や情報が記載されていない場合でも、その薬物や組み合わせがすべての患者やすべての用途において安全、有効、適切であることを意味するものではありません。
