指の骨が外れたり曲がったりしている場合は、指が脱臼している可能性があります。この状態は通常痛みを伴うため、医師の診察が必要です。自分で元に戻そうとすると、さらなる怪我を引き起こす可能性があります。
どの指にも 3 つの関節があります。親指には2つの関節があります。これらの関節により、指を曲げたり伸ばしたりすることができます。スポーツ外傷や転倒などにより、いずれかの 2 つの骨が関節の位置から外れる場合、指が脱臼します。
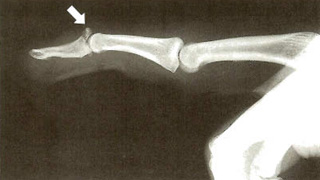
指が脱臼すると、骨が結合しなくなり、関節との位置がずれます。脱臼を経験する最も一般的な関節は、近位指節間 (PIP) 関節です。ここは指の真ん中の関節です。

症状
次の場合は指が脱臼している可能性があります。
- 指の関節が曲がっている、または変形しているように見える
- 指の骨が片側に突き出ているなど、ずれているように見える
- 関節の周りに腫れやあざがある
- 関節の周りに痛みがあります
- あなたは指を動かすことができません

原因
指の脱臼の多くはスポーツ傷害、特にサッカー、バスケットボール、バレーボールなどのボールを使うスポーツによって引き起こされます。転倒や事故も主な原因です。
スポーツ外傷
ナショナル・フットボール・リーグ(NFL)選手の上肢損傷を調べたある研究で、研究者らは次のことを発見した。
秋
転倒時に手を出したときに指の脱臼が起こることもあります。転倒の衝撃により、指が通常の可動域を超えて関節から外れる可能性があります。
事故
ドアを指で閉めるなど、指に強い衝撃を与えると、骨が関節から分離する可能性があります。
遺伝学
生まれつき靭帯が弱い人もいます。靱帯は、関節で骨を接続し、構造的なサポートを提供する組織です。

医療上の緊急事態ですか?
指の脱臼が疑われる場合は、医師の診察を受ける必要があります。指を脱臼すると、指が捻挫したり骨折したりすることもあります。捻挫や骨折は脱臼と似た症状を示すため、助けを求めずにどの怪我なのかを判断するのは難しい場合があります。
治療を遅らせたり、自分で指を診断して治療しようとすると、長期的な可動性の喪失や関節の硬直につながる可能性があります。

診断
医師が指を見て症状について話し、脱臼の疑いがある場合でも、骨折や骨折を除外するために X 線検査が必要になる場合があります。

処理
脱臼の直後に、自分で指を関節に戻さないようにしてください。次のような基礎構造に損傷を与える可能性があり、場合によっては永久に損傷する可能性があります。
- 血管
- 腱
- 神経
- 靭帯
代わりに、負傷した指を冷やして動かさないようにしてください。氷を冷やすには、氷をタオルで包むか、保冷剤を使用します。氷を直接肌に当てないでください。
手術が必要な場合に備えて、何も飲んだり食べたりしないでください。
すぐに医師の診察を受ける必要があります。訓練を受けた医療専門家ができることは次のとおりです。
削減
整復とは、骨を適切な位置に再配置することを意味する医学用語です。
手術中の痛みを和らげるために局所麻酔薬が投与される場合があります。医師は、関節内にまだ異物が食い込んでいる場合は、骨を押して骨を外し、指を外側に引いて骨を元の位置に戻します。
添え木
骨の位置が戻ったら、医師は骨を安定させるために副子を付けます。添え木は指が動くのを防ぎ、指を再び負傷する可能性を防ぎます。怪我の重症度に応じて、数日から数週間、副子を所定の位置に維持する必要がある場合があります。
バディテープ
副木に加えて、または場合によっては副木の代わりに、医師は医療用テープを使用して、負傷した指をその隣の負傷していない指に縛り付けることがあります。この方法により、脱臼した指のサポートがさらに強化され、関節の硬直や動きの喪失を防ぐために早期に動作できる可能性があります。
手術
場合によっては、骨の位置を再調整し、骨折や靭帯断裂を修復するために手術が必要になる場合があります。手術は通常、整復によって関節を安定化できない場合、または複雑な骨折や骨折がある場合にのみ使用されます。

回復
副子を外せるほど指が回復したら、理学療法または作業療法が処方される場合があります。訓練を受けた理学療法士がエクササイズを指導します。理学療法士は、関節の硬直を軽減し、可動性を高めるために温熱療法やマッサージ療法を提供することもあります。
通常、怪我後数週間以内にスポーツを含む通常の活動に戻ることができます。ただし、指が完全に治るまでに最大6か月かかる場合があります。場合によっては、特に脱臼に重大な骨折が伴う場合や、治療が迅速に行われない場合には、痛みやこわばりが長く続くか、永続的に続くことがあります。

見通し
ほとんどの人は指の脱臼から回復しますが、永久的な影響はありません。ただし、将来的に指が再び脱臼する可能性が高くなる可能性があるため、予防を行うことが重要です。
- スポーツをするときは常に適切なスポーツ用具を着用し、可能であれば指に副木を付けて別の怪我から保護してください。
- 動きやすさを促進するために、医師または理学療法士から指示された手のエクササイズを実行してください。
- 不安定に感じる場合は歩かないようにし、転倒の危険を減らすために床からつまずく危険なものを取り除いてください。
指の脱臼が疑われる場合は、すぐに医師の治療を受ける必要があることを覚えておいてください。
参考文献
- https://www.ncbi.nlm.nih.gov/pmc/articles/PMC5344849/
- http://www.aafp.org/afp/2012/0415/p805.html
- http://www.aafp.org/afp/2009/0101/p23.html
指の脱臼の特定と治療・関連動画
免責事項: 健康百科事典ブログは、すべての情報が事実に基づき、包括的で最新のものであるよう努めています。しかし、この記事は、資格を持つ医療専門家の知識や専門性の代替として使用されるべきではありません。薬を服用する前には、必ず医師または他の医療専門家に相談してください。ここに記載されている情報は変更される可能性があり、すべての可能な用途、指示、注意事項、警告、薬物相互作用、アレルギー反応、副作用を網羅することを意図しているわけではありません。特定の薬物または薬物の組み合わせに関する警告や情報が記載されていない場合でも、その薬物や組み合わせがすべての患者やすべての用途において安全、有効、適切であることを意味するものではありません。
