大腿骨の骨折

Written by

in

概要

大腿骨、つまり大腿の骨は、体の中で最大かつ最も強い骨です。大腿骨を骨折すると治るまでに長い時間がかかります。大腿骨は歩くために使用される主要な骨の 1 つであるため、骨折すると日常生活が非常に困難になります。

大腿骨骨折の症状は何ですか?

大腿骨骨折の症状は何ですか?

  • すぐに激しい痛みを感じます。
  • 負傷した足に体重をかけることができません。
  • 負傷した脚は負傷していない脚よりも短いように見えます。
  • 負傷した足は曲がっているようです。
大腿骨はどのように折れるのでしょうか?

大腿骨はどのように折れるのでしょうか?

大腿骨は非常に大きくて丈夫な骨で、折れにくいです。大腿骨の骨折は通常、重大な事故によって引き起こされます。自動車事故は主な原因の 1 つです。

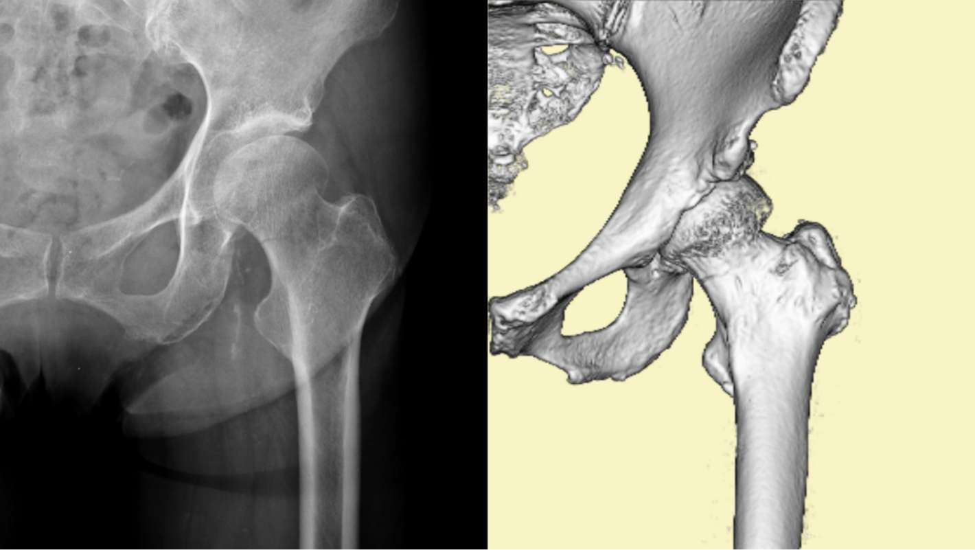
高齢者は骨が弱くなる傾向があるため、転倒によって大腿骨を骨折する可能性があります。骨折が股関節にどの程度近いかによっては、大腿骨骨折ではなく股関節骨折と呼ばれる場合があります。

大腿骨骨折の診断

大腿骨骨折の診断

ほとんどの場合、医師はまずX 線検査を行います。さらに詳しい情報が必要な場合は、 CT (コンピューター断層撮影) スキャンを注文することもあります。特定の治療法を推奨する前に、医師はどのような種類の休憩があるかを判断します。最も一般的なタイプは次のとおりです。

  • 横骨折。ブレイクはまっすぐな水平線です。
  • 斜骨折。切れ目は斜めの線になっています。
  • 螺旋骨折ブレークには、理髪店のポールやキャンディケインの縞模様のように、シャフトを囲む線があります。
  • 粉砕骨折。骨が3つ以上の部分に砕けています。
  • 複雑骨折。骨の破片が皮膚から突き出ています。
  • 開放骨折。傷は折れた骨にまで達しています。
大腿骨骨折はどのように治療されますか?

大腿骨骨折はどのように治療されますか?

大腿骨は非常に強い骨であるため、大腿骨の骨折(股関節骨折を除く)はまれです。治癒プロセスには通常、次の 4 つの段階を経て最大 6 か月かかります。

  1. 体は治癒プロセスを開始します。
  2. 体は炎症を起こします。
  3. 体は新しい骨の成長とともに再生します。
  4. 成熟した骨が新しく形成された骨に置き換わって体が再構築されます。

大腿骨骨折の大部分は手術と投薬が必要です。

手術

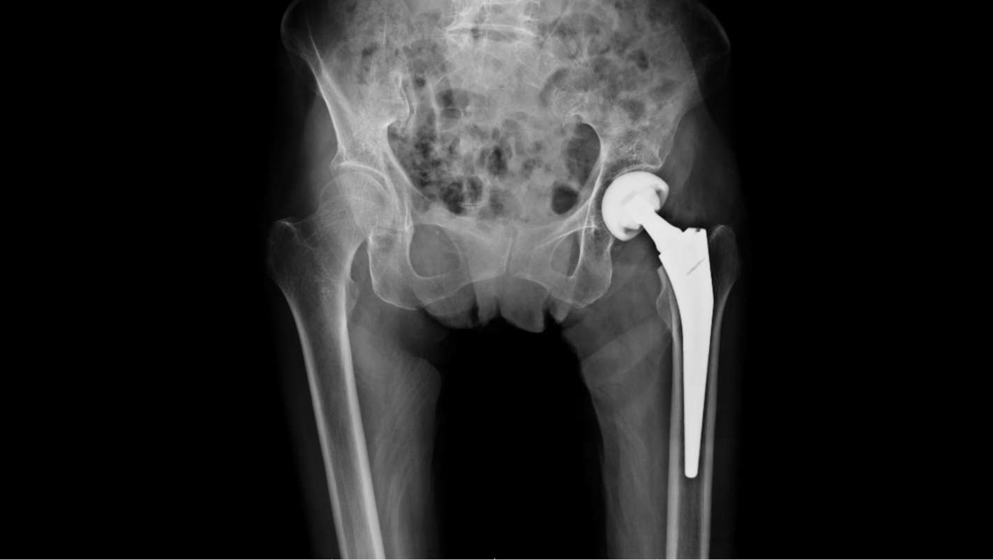
骨が治癒するまでの間、骨を所定の位置に保持するための、内部または外部のさまざまな手術があります。大腿骨骨折に対する最も一般的な手術は、髄内釘固定と呼ばれます。この手術では、上下のネジで骨の長さにロッドを挿入し、骨を所定の位置に保持します。

手術の前後に、医師は次のような市販薬や処方薬を使って痛みを管理できる場合があります。

  • アセトアミノフェン
  • 非ステロイド性抗炎症薬(NSAID)
  • ガバペンチノイド
  • 筋弛緩剤
  • オピオイド
  • 局所鎮痛剤
大腿骨骨折には合併症はありますか?

大腿骨骨折には合併症はありますか?

大腿骨骨折では合併症が発生する可能性があります。

  • 適切な設定。大腿骨が適切に固定されていない場合、脚が他の脚よりも短くなり、何年も後に股関節や膝の痛みを引き起こす可能性があります。大腿骨の位置が悪くなると痛みが生じる場合もあります。
  • 周辺部の損傷。骨折により、脚の筋肉、腱、靱帯、神経が損傷される可能性もあります。
  • 手術の合併症。手術に関連した合併症には、感染症や血栓などがあります。
手術後の骨折した大腿骨の管理

手術後の骨折した大腿骨の管理

大腿骨骨折後、骨が正しい位置に戻り安定したら、医師は骨の周囲の筋肉を強化する理学療法を勧める可能性が高くなります。大腿部を強化するエクササイズは、脚の柔軟性と正常な機能を取り戻すのにも役立ちます。

見通し

見通し

大腿骨の骨折は通常、生活に大きな影響を及ぼしますが、それは一時的なものです。手術は日常的に有効であり、通常は骨折した大腿骨を完全に治癒することができます。大腿骨骨折の大部分では、患者は通常のライフスタイルに戻ります。

大腿骨の骨折・関連動画

免責事項: 健康百科事典ブログは、すべての情報が事実に基づき、包括的で最新のものであるよう努めています。しかし、この記事は、資格を持つ医療専門家の知識や専門性の代替として使用されるべきではありません。薬を服用する前には、必ず医師または他の医療専門家に相談してください。ここに記載されている情報は変更される可能性があり、すべての可能な用途、指示、注意事項、警告、薬物相互作用、アレルギー反応、副作用を網羅することを意図しているわけではありません。特定の薬物または薬物の組み合わせに関する警告や情報が記載されていない場合でも、その薬物や組み合わせがすべての患者やすべての用途において安全、有効、適切であることを意味するものではありません。