変形性膝関節症でも運動することは可能であり、痛みを軽減することができます。ただし、衝撃を抑えて、痛み、腫れ、その他の症状の悪化がある場合は中止するのが最善です。
変形性膝関節症がある場合は、運動をライフスタイルの一部として含めるべきです。重要なのは、正しいエクササイズとその正しい方法を知ることです。
一般に、膝に痛みがある成人にとって、長時間の運動は安全です。
さらに、適切な運動を正しく行えば、関節炎の痛みを軽減することもできます。これにより、通常の身体活動を実行する能力が向上します。
膝の痛みを軽減するための運動は直観に反するように思えるかもしれませんが、 その仕組みを理解することは役に立ちます。
運動により次のことが改善されます。
- ホルモンバランス
- 血糖値を下げる
- 関節軟骨耐性を改善します
- 筋肉を強化する
運動をすると筋力も向上します。筋肉が強くなると、体重をより効率的に運ぶことができ、関節にかかる負担が軽減されます。
ただし、「間違った」運動を行ったり、不適切なフォームを使用したりすると、痛みが増したり、関節に炎症を引き起こしたりする可能性があります。
「痛みは正常ではありません」と理学療法士であり、老年医学の認定専門医でもあるアリス・ベル氏は警告する。
とはいえ、新たに運動プログラムを始めると、関節痛とは異なる「筋肉痛」が起こる場合があるので注意が必要です。
運動後 24 ~ 48 時間は筋肉痛を経験するのが普通なので、この時点で休息を取る必要があります。
賢い運動ルーチンは簡単に習得でき、広範なガイドラインが役に立ちます。
ただし、運動習慣を始める最も安全で効果的な方法は、理学療法士などの資格のある専門家にプロセスを指導してもらうことです。専門家があなたのフォームを分析し、提案を行います。

スクワットの練習方法
スクワットは脚と股関節の強度を高め、関節をより安定させるのに役立ちます。時間が経つにつれて、可動範囲が広がります。
膝関節の不快感を最小限に抑えて練習できる限り、スクワットを運動習慣に組み込んでも問題ありません。
関節炎のある人は、壁に向かってしゃがむと、膝に不必要または不正確な圧力がかかるリスクを軽減できるため、壁スクワットが最も効果的であると考えられます。
基本的なスクワットを行うには:
- 壁に背を向けて立ちます。足は肩幅に開き、かかとは壁から約18インチ離してください。
- 膝をつま先の前に出さず、かかとと一直線になるように保ちます。
- 座ったり「しゃがんだり」するときに息を吸い、吐きます。お尻は膝の高さよりも低くなってはなりません。
- 腹筋を引き締めて、背中が壁にぴったりと押し付けられるようにしてください。
- 足の指の付け根ではなく、かかとを押し上げて、立ち上がるときに息を吸います。
「膝を母指球の上ではなく、足首の上に置くようにしてください」とベル氏は注意します。
「いずれかの時点で、典型的な膝の痛みを超える激しい痛みを経験し始めた場合は、その日の練習を中止する必要があります。
「次の練習で必ずこの動きをもう一度試してください。筋力が増強されると、痛みの閾値が上昇することがわかります。」

ディープランジングの練習方法
変形性膝関節症の人にとって、 ランジは深くしゃがむのと同じ利点とリスクをもたらします。
ランジは脚と股関節全体の筋力を向上させるのに最適な方法ですが、間違って練習すると不必要な痛みを引き起こす可能性があります。
コツは、膝が足首を超えないようにすることだとベル氏は言います。
サポートを強化するために、椅子やテーブルの背もたれにつかまりながらランジを練習するのも効果的です。
基本的なランジを行うには:
- 必要に応じてサポートを受けてください。
- 片足で前に進みます。前膝が足首より上に来るようにしてください。膝が足首を超えて伸びないようにしてください。
- 姿勢が安定したら、後ろのかかとを床からゆっくりと持ち上げます。
- 後ろの膝から腰まで一直線になるまで持ち上げ続けます。
- 腹部の筋肉に力を入れる、または締めます。これは、突進姿勢に移行するときに背中をまっすぐに保つのに役立ちます。前かがみになったり、前かがみになったりすると、前膝に不必要な負担がかかります。
練習中は、痛みや不快感の変化に注意することが重要です。通常よりも痛みが強くなった場合は、その日は肺呼吸を中止し、別の種類の運動に移行する必要があります。

走り方
ランニングは全体的な健康状態を高め、体重のコントロールに役立ちます。これにより、膝にかかるストレスが軽減され、変形性関節症の全体的な影響が軽減されます。
ただし、いくつかの注意事項が適用されます。
- 丈夫でサポート力のある靴を選びましょう。 「関節を保護するという点では、靴は過小評価されています」とベル氏は言います。
- 可能であれば、土、草、砂利、またはアスファルトの上を走ります。コンクリートよりも柔らかいです。
- 痛みに注意してください。いつもより痛みが強くなった場合は、1 ~ 2 日休んでください。痛みが続く場合は医師の診察を受けてください。異常な痛みは、関節炎以外の原因である可能性があります。
変形性膝関節症の人でも安全にランニングできますが、ベル氏は、このスポーツはしばらくランニングをしている人に任せるようアドバイスしています。
彼女は、長年のランナーは適切なランニングフォームを身につけており、関節周囲の筋肉サポートを発達させていると評価しています。
「関節炎のある人はランニングを始めるべきではありません」と彼女はきっぱりと言います。
ランニングが運動習慣の一部になっていないが、ランニングを始めたいと思ったら、医師に相談してください。彼らはあなたの個人的な利点とリスクについて話し合い、次のステップに関するガイダンスを提供します。

衝撃の大きいスポーツや反復跳躍の練習方法
あるようです
ただし、負荷の高いトレーニングをやめる必要があるという意味ではありません。重要なのは、思慮深く適度に練習することです。
症状を最小限に抑えるには:
- 衝撃の大きいスポーツや、毎日繰り返しジャンプするようなアクティビティには参加しないでください。一般的な経験則では、衝撃の大きいスポーツの合間には 2 日または 3 日の休憩を取ることです。練習は 1 時間以内にとどめてください。
- 練習中は膝サポーターの着用を検討してください。これは、特に関節炎によってアライメントが損なわれている場合に、膝を適切な位置に保つのに役立ちます。
- 軽度の痛みや腫れがある場合は、医師の許可があれば、練習後にナプロキセン (Aleve) などの非ステロイド性抗炎症薬を服用してください。
これまでに衝撃の大きい活動に参加したことがない場合は、始める前に理学療法士に相談してください。これらの活動が患部の膝に与える潜在的な影響について説明します。
ベル氏は、関節炎を患っている顧客に対し、衝撃の大きい活動を完全に避けるようアドバイスする可能性がある。彼女は、飛び跳ねると関節に体重の約 7 ~ 10 倍の影響が生じると指摘しています。

階段を歩いたり走ったりする練習方法
階段の上り下りは痛みを伴うかもしれませんが、脚と腰の筋肉を強化する良い運動になります。
運動にはもう一つの利点があり、それは関節や関節軟骨の保護効果があります。これは変形性関節症の発症を遅らせるために非常に重要です。
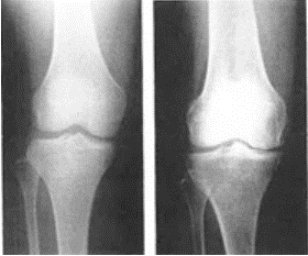
関節軟骨は関節を保護するカバーだと考えてください。
関節軟骨は衝撃吸収材として機能し、関節で接触する骨間の摩擦も軽減します。加齢に伴い、この軟骨がすり減り、関節の痛みや腫れ、変形性関節症が引き起こされることがあります。
研究によると、関節軟骨への負荷は軟骨の健康を維持し、負荷の回避、つまり運動は関節軟骨の萎縮または薄化を引き起こすことが示されています。
安全に段差を登るには:
- ゆっくりしてください。ゆっくりと着実にアプローチすることで、安定性を維持することができます。
- 手すりを支えとして使用してください。現在杖を使用している場合は、階段での最適な杖の使い方について理学療法士に相談してください。
衝撃の少ない代替手段として、ステッパー マシンを使用してみてください。ステッパーを使用するときは、次の点に注意してください。
- 短いトレーニングから始めて、時間の経過とともに継続時間を延ばしてください。あまりにも早くやりすぎると有害になる可能性があります。
- ニーズに合わせて立ち上がりの高さを調整します。ベル氏は、小さなことから始めて、徐々に高いステップにステップアップすることをアドバイスしています。
- 必要に応じて、手すりをサポートとして使用してください。レールに寄りかからないように注意してください。

特定のエクササイズは膝に負担をかけにくいですか?
関節痛から回復する際には、水中エアロビクスがよく勧められます。
水には膝を和らげ浮力を与える効果があるが、周囲の筋肉を強化するのに十分な抵抗を生み出す可能性は低いとベル氏は言う。
「変化をもたらすのに十分な抵抗力を本当に作りたいのであれば、最終的には陸上での演習が必要です」と彼女は言います。
彼女のお気に入りには、中強度または高強度のサイクリング、ピラティスのような強化エクササイズなどがあります。
加重ゴムバンドやフリーウェイトをルーチンに組み込むことで、衝撃の少ないトレーニングからさらに効果を得ることができる場合があります。
運動中に膝装具を着用することも有益であることがわかります。
まだ行っていない場合は、これがあなたにとって良い選択肢であるかどうかについて医師に相談してください。彼らは具体的な推奨事項を作成し、ベストプラクティスについてアドバイスします。

トレーニングを最大限に活用する方法
特にしばらく運動していなかった場合は、運動中に軽い痛みを感じることがあります。
ルーチンを計画するときは、強度のレベルを適切に保つようにしてください。
医師または理学療法士が、あなたのニーズに合った個別の推奨事項を提供できます。
運動の「量」は変化を生み出すのに十分である必要がありますが、怪我をしたり落胆したりするほどではありません。
その他のヒント
- 快適で適切なサポートを提供するスニーカーに投資してください。
- 運動する前には必ずウォーミングアップを行ってください。ストレッチをすると関節が開き、膝への衝撃レベルが軽減されます。
- 関節がすでに痛んでいる場合は、運動前に温めて潜在的な硬さを軽減してください。
- 10 分間のルーチンから始めて、時間の経過とともに継続時間を延ばしてください。
- 影響の大きい運動を、影響の少ない修正や代替案で分割します。
- 運動後はクールダウン。数分間かけて関節を伸ばしてください。冷湿布を適用することも、痛みや腫れを軽減するのに役立ちます。

変形性膝関節症がある場合、運動を完全に避けるべき場合
以下の症状が発生した場合は、医師の診察を受けるまで運動を中止してください。
- 腫れの増加
- 鋭い、刺すような、または持続的な痛み
- 足を引きずったり、歩き方を変えたりする痛み
- 関節を触ると熱く感じたり、赤くなったりする
- 運動後2時間以上続く痛み、または夜間に悪化する痛み
痛みが続く場合は、鎮痛剤で痛みを隠したいという誘惑に抵抗してください、とベル氏は言います。問題の根本的な原因を突き止めて修正したいと考えています。
彼女はまた、変形性膝関節症の人たちに、運動を完全にやめたいという衝動に抵抗するようアドバイスしています。医師に相談した後、自分に合った運動計画で再び運動する必要があります。

結論
変形性膝関節症でも運動ができるだけでなく、その状態に伴う痛みをチェックしたり、回復させたりすることも必要です。
ベル氏は、ほとんどの州では紹介がなくても理学療法士の診察を受けることができ、1、2回のセッションで目的や能力に合わせた運動処方が得られると指摘している。
「最悪のことは何もしないことです」とベル氏は言い、関節炎の痛みで動きが鈍くなる前にトレーニングを最適化するのが最善だと付け加えた。
練習中に予防策を講じることで、好みの運動習慣をより長く続けることができます。
参考文献
- https://www.ncbi.nlm.nih.gov/pmc/articles/PMC1724550/pdf/v036p00330.pdf
変形性膝関節症: これら 5 つのエクササイズには注意してください・関連動画
免責事項: 健康百科事典ブログは、すべての情報が事実に基づき、包括的で最新のものであるよう努めています。しかし、この記事は、資格を持つ医療専門家の知識や専門性の代替として使用されるべきではありません。薬を服用する前には、必ず医師または他の医療専門家に相談してください。ここに記載されている情報は変更される可能性があり、すべての可能な用途、指示、注意事項、警告、薬物相互作用、アレルギー反応、副作用を網羅することを意図しているわけではありません。特定の薬物または薬物の組み合わせに関する警告や情報が記載されていない場合でも、その薬物や組み合わせがすべての患者やすべての用途において安全、有効、適切であることを意味するものではありません。
