副腎腫瘍の診断にCTスキャンはどのように使用されますか?

Written by

in

CT スキャンは、副腎腫瘍を検出するための第一選択の画像技術です。詳細かつ正確な画像を提供します。

画像検査の使用により、副腎腫瘤がより頻繁に検出されるようになり、多くの場合、他の健康状態の定期検査中に検出されます。

癌性副腎腫瘍と非癌性副腎腫瘍を区別することは治療と予後にとって非常に重要であり、CT スキャンはこのプロセスの重要な部分を占めます。

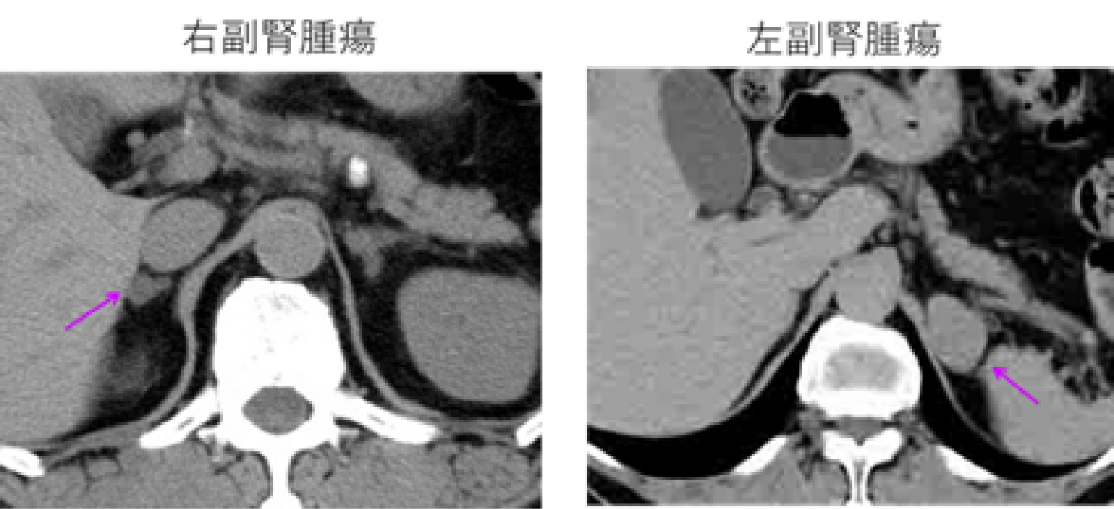
副腎腫瘍はCTではどのように見えますか?

副腎腫瘍はCTではどのように見えますか?

CT スキャンでは、良性の副腎腫瘍または腺腫は、通常、脂肪含有量が高いため、周囲の組織から目立つ、はっきりとした円形または楕円形の病変として現れます。

副腎癌腫としても知られる癌性副腎腫瘍は、大きく不規則な形の塊として現れることがあります。通常、組織の組成が異なるため、密度が不均一で、視認性の低い領域と高い領域があります。

ただし、すべての癌性腫瘍がこのように見えるわけではなく、特定の腫瘍の種類やその他の要因によって外観が異なる場合があります。

癌性腫瘍では、CT スキャン中に血流の増加や造影剤の取り込みの亢進が見られる場合もあります。これは、進行性の腫瘍であることを示唆しています。

副腎腫瘍の CT スキャンではどのような情報が得られますか?

副腎腫瘍の CT スキャンではどのような情報が得られますか?

副腎腫瘍の CT スキャンでは、そのサイズ、形状、位置に関する重要な情報が得られます。また、良性腫瘍 (非癌性) と悪性腫瘍 (癌性) を区別するのにも役立ちます。

良性腫瘍は輪郭がはっきりしていて周囲の組織から目立つように見えますが、悪性腫瘍は不規則な境界や浸潤や転移(体の他の部分へのがんの広がり)の兆候を示すことがあります。

別の健康上の問題のために画像検査を行っているときに副腎腫瘤が発見されることは非常に一般的です。実際、偶発的な副腎腫瘤は成人の約 3 ~ 7% に発生しており、そのほとんどは良性で機能不全ではありません。つまり、過剰なホルモンが生成されません。

 CTスキャンで副腎がんを検出できますか?

CTスキャンで副腎がんを検出できますか?

CT スキャンは、ほとんどの副腎がんの検出に効果的です。ただし、一部の悪性腫瘍も良性腫瘍と同様の特徴を示す場合があるため、CT 画像のみに基づいて副腎腫瘍の良性と悪性を区別することは困難な場合があります。

副腎腫瘤の良性と悪性を正確に区別するには、通常、臨床所見および検査所見とともに、さらなる評価およびMRIまたはPET スキャンなどの追加の画像検査が必要です。

場合によっては、確定診断を得るために生検や細針吸引が必要になる場合もあります。

最終的には、CT 所見の解釈は経験豊富な放射線科医と、内分泌専門医、腫瘍専門医、外科医が関与する学際的なアプローチによって行われます。

 CT は副腎腫瘍を検出するのに最適な画像処理ですか?

CT は副腎腫瘍を検出するのに最適な画像処理ですか?

CT スキャンは一般的に使用されており、副腎腫瘍を検出して特徴付けるための第一選択の画像技術と考えられています。鮮明で詳細な画像と迅速な結果が得られるため、放射線科医は腫瘍のサイズ、形状、位置を視覚化できます。

ただし、非造影 CT スキャン、つまり染料や造影剤を使用せずに行われた CT スキャンでは、必ずしも明確な診断が得られるとは限りません。それは副腎腺腫の一部が原因です ( 15~30% )脂肪含有量が少ないため、悪性腫瘍との区別が困難になります。

このような場合、MRI はより高いコントラスト分解能を提供し、化学組成に基づいて特定の組織タイプを区別できるため、第 2 レベルの技術としても使用できます。

超音波は嚢胞性腫瘤と充実性腫瘤を区別するのに役立ちますが、CT や MRI と比較すると、小さな腫瘍の検出と特徴付けの精度が限られています。超音波は、乳児の副腎腫瘍を検出するのに役立つツールです。

副腎腫瘍を診断するプロセスは何ですか?

副腎腫瘍を診断するプロセスは何ですか?

副腎腫瘍の診断プロセスには、通常、臨床評価、画像検査、および場合によってはホルモンレベルの評価の組み合わせが含まれます。

副腎腫瘍の診断に必要な手順の概要は次のとおりです。

  • 臨床評価:診断は、医療専門家による徹底的な病歴と身体検査から始まります。
  • CT スキャン: CT スキャンは、副腎腫瘍を評価するための主要な画像診断手段です。
  • MRI スキャン:より詳細な情報が必要な場合、MRI は第 2 レベルの技術として使用される場合があります。
  • 核医学技術:場合によっては、特にホルモン活性が疑われる場合、機能している副腎病変を評価するために核医学技術が使用されることがあります。
  • PET スキャン: PET スキャンは、機能不全ではない副腎腫瘤の評価に役立ち、悪性病変を正確に特徴付けることができます。
  • ホルモンレベルの評価:副腎で生成されるホルモンレベルを測定するために血液検査が行われる場合があります。コルチゾールやアルドステロンなどの特定のホルモンのレベルの上昇は、機能性副腎腫瘍を示している可能性があります。
  • 生検:場合によっては、画像結果が決定的でない場合、または潜在的な悪性腫瘍を示している場合、医療専門家が生検を実施することがあります。副腎腫瘍から小さな組織サンプルを採取し、顕微鏡でさらに検査してその性質を判断します。
  • 専門家との相談:所見に応じて、患者はさらなる評価と治療計画のために内分泌専門医または腫瘍専門医に紹介される場合があります。
取り除く

取り除く

CT スキャンは、副腎腫瘍を検出するための信頼できるツールです。これらは、高い空間分解能、迅速な回答、および腫瘍のサイズ、位置、特性に関する重要な情報を提供する機能を提供します。

副腎腫瘍について懸念がある場合、またはさらなる評価が必要な場合は、医療専門家にご相談ください。 CT スキャンによる副腎腫瘍の早期発見と正確な評価は、より良い転帰と生活の質の向上につながります。

参考文献

  1. https://www.medicalnewstoday.com/articles/248735
  2. https://www.ncbi.nlm.nih.gov/pmc/articles/PMC6349247/
  3. https://www.jacr.org/article/S1546-1440(17)30551-3/fulltext

副腎腫瘍の診断にCTスキャンはどのように使用されますか?・関連動画

免責事項: 健康百科事典ブログは、すべての情報が事実に基づき、包括的で最新のものであるよう努めています。しかし、この記事は、資格を持つ医療専門家の知識や専門性の代替として使用されるべきではありません。薬を服用する前には、必ず医師または他の医療専門家に相談してください。ここに記載されている情報は変更される可能性があり、すべての可能な用途、指示、注意事項、警告、薬物相互作用、アレルギー反応、副作用を網羅することを意図しているわけではありません。特定の薬物または薬物の組み合わせに関する警告や情報が記載されていない場合でも、その薬物や組み合わせがすべての患者やすべての用途において安全、有効、適切であることを意味するものではありません。