
スタージ・ウェーバー症候群とは何ですか?
スタージ・ウェーバー症候群 (SWS) は、額、頭皮、または目の周囲に現れる独特のポートワインの染みが特徴の神経疾患です。
このシミは、皮膚の表面近くにある過剰な毛細血管によって引き起こされるあざです。脳の染みと同じ側の血管も影響を受ける可能性があります。
国立希少疾患機構によると、SWS の医学用語は脳三叉神経血管腫症です。
SWS は、推定 20,000 ~ 50,000 人の出生に 1 人の割合で発生します。約 1,000 人に 1 人の赤ちゃんがポートワイン染色を持って生まれます。しかし、SWS に関連する症状がある乳児はそのうち 6% のみです。

スタージ・ウェーバー症候群の症状は何ですか?
SWS の最も明らかな兆候は、顔の片側のポートワインの汚れ、または赤く変色した皮膚です。変色の原因は、顔の血管が拡張して皮膚が赤く見えることです。
ポートワイン染色がある人全員が SWS であるわけではありませんが、SWS を持つすべての子供がポートワイン染色を持っています。 SWS と診断されるには、小児にポートワイン染色があり、その染色と同じ側の脳に異常な血管がなければなりません。
一部の小児では、異常血管があっても症状を引き起こしません。他の場合では、次の症状を引き起こす可能性があります。
- 発達の遅れ
- 認知障害
- 発作
- 体の片側の衰弱
- 麻痺
緑内障
米国小児眼科斜視協会によると、SWS の子供の推定 50% が乳児期または小児期後期に緑内障を発症します。
緑内障は、眼圧の上昇によって引き起こされることが多い目の病気です。これにより、視力障害、光過敏症、目の痛みが引き起こされる可能性があります。

スタージ・ウェーバー症候群の原因は何ですか?
SWS は出生時に存在しますが、遺伝性の疾患ではありません。代わりに、それは GNAQ 遺伝子のランダムな突然変異の結果です。
SWS に関連する血管形成は、赤ちゃんが子宮にいるときに始まります。発育 6 週目頃には、赤ちゃんの頭となる領域の周囲に神経のネットワークが発達します。
通常、このネットワークは開発の 9 週間目に消滅します。しかし、SWS の赤ちゃんでは、この神経ネットワークは消えません。これにより、脳に流れる酸素と血液の量が減少し、脳組織の発達に影響を与える可能性があります。

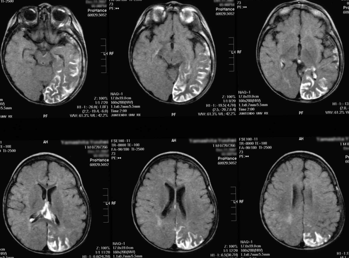
スタージ・ウェーバー症候群はどのように診断されますか?
医師は多くの場合、存在する症状に基づいて SWS を診断できます。 SWS の赤ちゃんは、必ずしも特徴的なポートワイン染色を持って生まれるとは限りません。しかし、多くの場合、生後間もなくあざが発症します。
お子様の医師がSWSの可能性を疑う場合、CTやMRIスキャンなどの画像検査を指示します。これらの検査では脳の詳細な画像が得られるため、医師は脳損傷の兆候を見つけることができます。
また、緑内障やその他の目の異常の有無を確認するために目の検査も行います。

スタージ・ウェーバー症候群はどのように治療されますか?
SWS の治療法は、子供が経験している症状によって異なります。それは次のもので構成されます:
- 発作活動を軽減する抗けいれん薬
- 眼圧を下げることができる点眼薬
- 緑内障の症状を軽減できる手術
- 弱い筋肉を強化できる理学療法
- 発達に遅れがある子どもたちの発達を可能な限り助けることができる教育療法
お子様がポートワインのシミを軽減したい場合は、レーザー治療を使用することもできます。ただし、これらの治療法では母斑を完全に除去できるわけではないことに注意することが重要です。

スタージ・ウェーバー症候群はどのような合併症を引き起こす可能性がありますか?
ジョンズ・ホプキンス医学によれば、SWS の子供の 80% も発作を起こします。
さらに、それらの小児のうち 25 パーセントは発作を完全にコントロールでき、50 パーセントは部分発作をコントロールでき、25 パーセントは薬によって発作をコントロールできません。
SWS の子供のほとんどは、ポートワイン染色と脳の片側のみに影響を与える脳の異常を持っています。ただし、一部の小児では脳の両側が影響を受ける場合があります。
これらの子供たちは、発達の遅れや認知障害を経験する可能性が高くなります。

スタージ・ウェーバー症候群の人はどうなるでしょうか?
SWS はさまざまな形で子供たちに影響を与える可能性があります。一部の子供たちは、発作障害や重度の発達遅延を経験することがあります。目立ったポートワインの染み以外には何の症状もない子供もいます。
症状に基づいたお子様の具体的な見通しについて詳しく知るために医師に相談してください。
参考文献
- http://rarediseases.org/rare-diseases/sturge-weber-syndrome/
- https://www.hopkinsmedicine.org/health/conditions-and-diseases/epilepsy/epilepsy-syndromes-in-children
スタージ・ウェーバー症候群・関連動画
免責事項: 健康百科事典ブログは、すべての情報が事実に基づき、包括的で最新のものであるよう努めています。しかし、この記事は、資格を持つ医療専門家の知識や専門性の代替として使用されるべきではありません。薬を服用する前には、必ず医師または他の医療専門家に相談してください。ここに記載されている情報は変更される可能性があり、すべての可能な用途、指示、注意事項、警告、薬物相互作用、アレルギー反応、副作用を網羅することを意図しているわけではありません。特定の薬物または薬物の組み合わせに関する警告や情報が記載されていない場合でも、その薬物や組み合わせがすべての患者やすべての用途において安全、有効、適切であることを意味するものではありません。
