エナメル形成術とは何ですか?

Written by

in

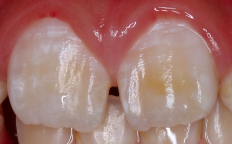
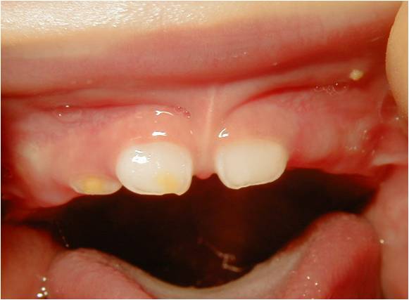
エナメル形成術は、歯のエナメル質を少量除去して、歯の大きさ、形、長さ、または表面を変える審美歯科処置です。

エナメル形成術は次のようにも知られています。

  • 歯形成術
  • 歯の輪郭修正
  • 歯の再形成
  • 抜歯
  • 歯を削る

この処置は通常、欠けた歯を修復したり、歯をより均一な長さにするなど、審美的な理由から前歯に行われます。

エナメル形成術はどのように行われるのですか?

エナメル形成術はどのように行われるのですか?

歯科医は、バリ、ドリル、サンディングディスクなどの器具を使用してエナメル質を除去し、歯の形を整え、望ましい外観に整えます。歯が希望の外観に形づくられたら、歯科医はそれを磨きます。

痛いですか?

エナメル質には神経がないので痛みはありません。

どのくらいかかりますか?

手術にかかる時間は、何本の歯を形成する必要があるかによって異なります。通常、所要時間は 30 分もかかりません。

回復時間はどれくらいですか?

回復時間はありません。手順は簡単、迅速、そして痛みはありません。

これはどれくらいの頻度で行う必要がありますか?

エナメル質は元に戻らないので、施術は1回だけで済みます。結果は永続的です。

エナメル形成術は保険適用されますか?

エナメル形成術は保険適用されますか?

エナメル形成術は主に美容処置であるため、保険プランではカバーされない場合があります。ただし、補償内容については保険会社に確認する必要があります。

エナメル形成術の副作用にはどのようなものがありますか?

エナメル形成術の副作用にはどのようなものがありますか?

処置前に歯科医と話し合った歯の長さ、大きさ、形、表面の変化以外の副作用は期待できません。美容上の変化に伴い、噛み合わせもわずかに変化する可能性があります。

エナメル形成術では、歯を覆って虫歯から守る硬い表面領域であるエナメル質が歯から失われます。エナメル質には生きた細胞が含まれていないため、自己修復できず、再び成長することはありません。

歯の形を変えるための他のオプションは何ですか?

歯の形を変えるための他のオプションは何ですか?

エナメル形成術の他に、歯の形や大きさを変える方法には次のようなものがあります。

  • 接着: 形を整えて磨くことができる歯の色のプラスチックの塗布
  • クラウン:歯を覆う磁器、セラミック、または樹脂のカバー

多くの場合、エナメル形成術は、ボンディングやベニアなどの他の処置と組み合わせて使用​​されます。ベニアは、歯の前面を覆う、歯と同じ色の薄い殻です。

中括弧を付けている場合はどうなりますか?

中括弧を付けている場合はどうなりますか?

矯正装置を使用している場合は、歯科矯正医に相談してください。ブレースを外した後に歯を水平にするためのエナメル形成術は、矯正治療の一部とみなされることがよくあります。通常は追加料金なしで提供されます。

なぜエナメル形成術が必要なのでしょうか?

なぜエナメル形成術が必要なのでしょうか?

笑顔の見た目を改善するためにエナメル形成術を使用する人もいます。これにより、自信も高まる可能性があります。

米国矯正歯科協会の 2013 年の調査では、調査対象となった成人の 75% が、歯列矯正後の笑顔によって個人的および仕事上の人間関係が改善されたと感じていることが示されています。

さらに、92% が自信がついたため、他の人にも同じ治療を勧めたいと回答しました。

取り除く

取り除く

エナメル形成術は、歯のサイズ、形、長さ、または表面を微調整できる迅速な歯科処置です。これにより、欠けた歯や不均一な長さの歯などの審美的な問題を解決できます。笑顔の見た目を改善するためにこの手順を使用する人もいます。

参考文献

  1. /健康/歯と口腔の健康/歯の結合
  2. https://res.cloudinary.com/dorhu9mrb/image/upload/q_57/v1454081658/AAO_Press_Release_Increase_in_Adult_Patients_1-28-16.pdf

エナメル形成術とは何ですか?・関連動画

免責事項: 健康百科事典ブログは、すべての情報が事実に基づき、包括的で最新のものであるよう努めています。しかし、この記事は、資格を持つ医療専門家の知識や専門性の代替として使用されるべきではありません。薬を服用する前には、必ず医師または他の医療専門家に相談してください。ここに記載されている情報は変更される可能性があり、すべての可能な用途、指示、注意事項、警告、薬物相互作用、アレルギー反応、副作用を網羅することを意図しているわけではありません。特定の薬物または薬物の組み合わせに関する警告や情報が記載されていない場合でも、その薬物や組み合わせがすべての患者やすべての用途において安全、有効、適切であることを意味するものではありません。